Colbert Paul L, Vermeer Daniel W, Wieking Bryant G, Lee John H, Vermeer Paola D
Cancer Biology Research Center, Sanford Research, Sioux Falls, South Dakota, USA.
Oncotarget. 2015 Jan 20;6(2):953-68. doi: 10.18632/oncotarget.2823.
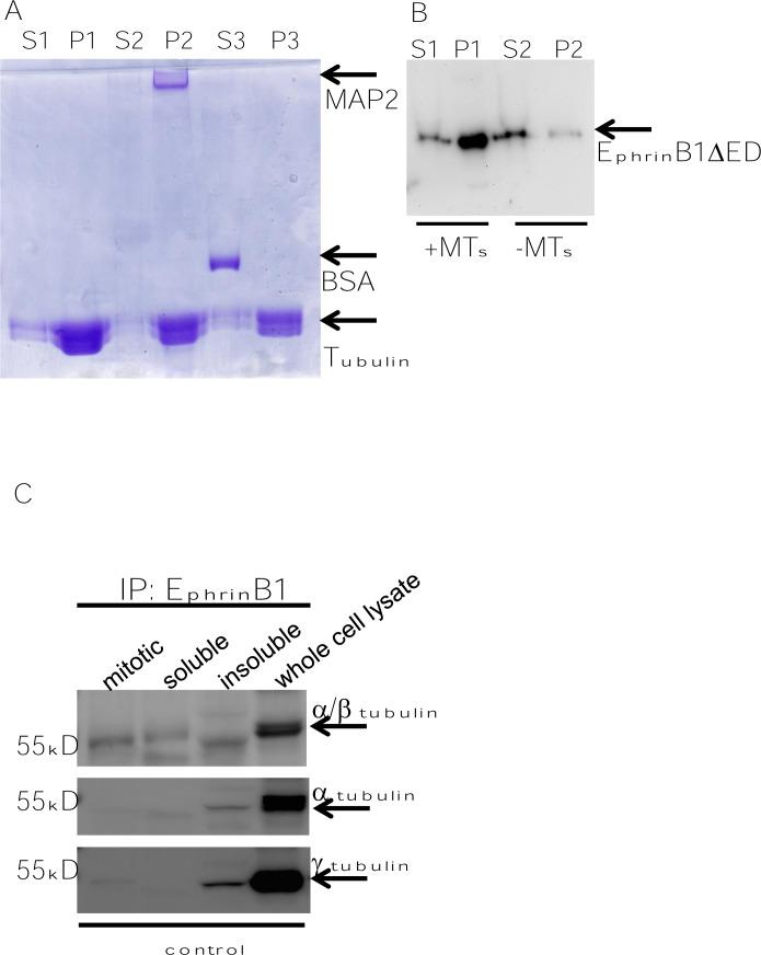
Microtubules (MTs) are components of the cytoskeleton made up of polymerized alpha and beta tubulin dimers. MT structure and function must be maintained throughout the cell cycle to ensure proper execution of mitosis and cellular homeostasis. The protein tyrosine phosphatase, PTPN13, localizes to distinct compartments during mitosis and cytokinesis. We have previously demonstrated that the HPV16 E6 oncoprotein binds PTPN13 and leads to its degradation. Thus, we speculated that HPV infection may affect cellular proliferation by altering the localization of a PTPN13 phosphatase substrate, EphrinB1, during mitosis. Here we report that EphrinB1 co-localizes with MTs during all phases of the cell cycle. Specifically, a cleaved, unphosphorylated EphrinB1 fragment directly binds tubulin, while its phosphorylated form lacks MT binding capacity. These findings suggest that EphrinB1 is a novel microtubule associated protein (MAP). Importantly, we show that in the context of HPV16 E6 expression, EphrinB1 affects taxane response in vitro. We speculate that this reflects PTPN13's modulation of EphrinB1 phosphorylation and suggest that EphrinB1 is an important contributor to taxane sensitivity/resistance phenotypes in epithelial cancers. Thus, HPV infection or functional mutations of PTPN13 in non-viral cancers may predict taxane sensitivity.
微管(MTs)是细胞骨架的组成部分,由聚合的α和β微管蛋白二聚体构成。在整个细胞周期中,MT的结构和功能必须得以维持,以确保有丝分裂的正常进行和细胞内稳态。蛋白酪氨酸磷酸酶PTPN13在有丝分裂和胞质分裂期间定位于不同的区室。我们先前已证明,人乳头瘤病毒16型(HPV16)E6癌蛋白与PTPN13结合并导致其降解。因此,我们推测HPV感染可能通过改变有丝分裂期间PTPN13磷酸酶底物EphrinB1的定位来影响细胞增殖。在此我们报告,EphrinB1在细胞周期的所有阶段均与微管共定位。具体而言,一个裂解的、未磷酸化的EphrinB1片段直接与微管蛋白结合,而其磷酸化形式则缺乏与微管的结合能力。这些发现表明EphrinB1是一种新型的微管相关蛋白(MAP)。重要的是,我们表明在HPV16 E6表达的情况下,EphrinB1在体外影响紫杉烷反应。我们推测这反映了PTPN13对EphrinB1磷酸化的调节,并表明EphrinB1是上皮癌中紫杉烷敏感性/耐药性表型的重要促成因素。因此,HPV感染或非病毒性癌症中PTPN13的功能突变可能预示紫杉烷敏感性。