Suppr超能文献

巨大腹膜后平滑肌肉瘤。多器官整块切除。

Giant retroperitoneal leiomyosarcoma. Multiorgan block removal.

作者信息

Mateo Vallejo F, Dominguez Reinado M R, Medina Achirica C, Diaz Oteros M, Esteban Ramos J L, Melero Brenes S

机构信息

Hospital of Jerez de la Frontera, N-IVa Road s/n, Jerez, Cadiz, Spain.

Hospital of Jerez de la Frontera, N-IVa Road s/n, Jerez, Cadiz, Spain.

出版信息

Int J Surg Case Rep. 2014;5(12):1050-3. doi: 10.1016/j.ijscr.2014.10.061. Epub 2014 Oct 31.

Abstract

INTRODUCTION

Retroperitoneal tumors are rare, mostly malignant. Locally aggressive, and more frequent in women in their 5th decade of life. Its symptoms are nonspecific, including abdominal pain and palpable mass. To diagnosis is helpful computed tomography and biopsy. It needs surgery for absolute healing.

PRESENTATION OF CASE

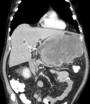
67 years old man was admitted with back pain and fever. Abdominal imaging tests showed a 15cm abdominal mass without clear organodependencia. Endoscopy with biopsies evidenced mesenchymal neoplasia of undetermined origin. In surgery we confirm its resecability and was necessary multiorgan resection. Pathologic diagnosis: well differentiated retroperitoneal leiomyosarcoma. Started adjuvant radiotherapy. In subsequent tests showed the presence of liver metastases.

DISCUSSION

Retroperitoneal tumors are developed from nerve, vascular, muscular, connective, supportive and fibroareolar tissue from this space. Its size does not modificate survival or resectability. We used TC and biopsy for its diagnose. Adjuvant therapy does not affect survival or quality of life, surgery remains the only curative option. Locoregional recurrence is the most influential figure in the prognosis. A large percentage of patients required a second surgery (between 45 and 82%).

CONCLUSION

The only curative option of retroperitoneal sarcomas is surgery, which usually requires multiple organ resection. Chemotherapy and radiotherapy are mostly a surgical supplement. Chemotherapy has not shown significant increase in survival.

摘要

引言

腹膜后肿瘤罕见,大多为恶性。具有局部侵袭性,在50多岁的女性中更为常见。其症状不具特异性,包括腹痛和可触及肿块。计算机断层扫描和活检有助于诊断。彻底治愈需要手术。

病例介绍

一名67岁男性因背痛和发热入院。腹部影像学检查显示一个15厘米的腹部肿块,与周围器官无明显关联。内镜检查及活检证实为起源不明的间叶性肿瘤。手术中我们确认其可切除性,且有必要进行多器官切除。病理诊断:高分化腹膜后平滑肌肉瘤。开始辅助放疗。后续检查显示存在肝转移。

讨论

腹膜后肿瘤由该区域的神经、血管、肌肉、结缔组织、支持组织和纤维蜂窝组织发展而来。其大小不影响生存率或可切除性。我们通过计算机断层扫描和活检进行诊断。辅助治疗不影响生存率或生活质量,手术仍然是唯一的治愈选择。局部区域复发是预后最具影响的因素。很大比例的患者需要二次手术(45%至82%)。

结论

腹膜后肉瘤唯一的治愈选择是手术,通常需要多器官切除。化疗和放疗大多是手术的补充。化疗未显示出生存率的显著提高。

https://cdn.ncbi.nlm.nih.gov/pmc/blobs/9ee7/4275809/409dbf2b728f/gr1.jpg

文献AI研究员

20分钟写一篇综述,助力文献阅读效率提升50倍。

立即体验

用中文搜PubMed

大模型驱动的PubMed中文搜索引擎

马上搜索

文档翻译

学术文献翻译模型,支持多种主流文档格式。

立即体验