Camargo Rocío, Izquier Adriana, Uzcanga Graciela L, Perrone Trina, Acosta-Serrano Alvaro, Carrasquel Liomary, Arias Laura P, Escalona José L, Cardozo Vanessa, Bubis José
Fundación Instituto de Estudios Avanzados IDEA, Caracas, Venezuela; Universidad Simón Bolívar, Departamento de Biología Celular, Caracas, Venezuela.
Universidad Simón Bolívar, Departamento de Biología Celular, Caracas, Venezuela; Universidad Central de Venezuela, Instituto de Ciencia y Tecnología de Alimentos, Caracas, Venezuela.
Vet Parasitol. 2015 Jan 15;207(1-2):17-33. doi: 10.1016/j.vetpar.2014.11.004. Epub 2014 Nov 13.
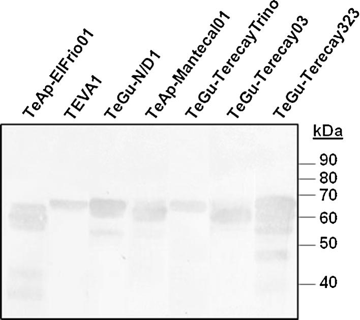
Salivarian trypanosomes sequentially express only one variant surface glycoprotein (VSG) on their cell surface from a large repertoire of VSG genes. Seven cryopreserved animal trypanosome isolates known as TeAp-ElFrio01, TEVA1 (or TeAp-N/D1), TeGu-N/D1, TeAp-Mantecal01, TeGu-TerecayTrino, TeGu-Terecay03 and TeGu-Terecay323, which had been isolated from different hosts identified in several geographical areas of Venezuela were expanded using adult albino rats. Soluble forms of predominant VSGs expressed during the early infection stages were purified and corresponded to concanavalin A-binding proteins with molecular masses of 48-67 kDa by sodium dodecyl sulfate-polyacrylamide gel electropohoresis, and pI values between 6.1 and 7.5. The biochemical characterization of all purified soluble VSGs revealed that they were dimers in their native form and represented different gene products. Sequencing of some of these proteins yielded peptides homologous to VSGs from Trypanosoma (Trypanozoon) brucei and Trypanosoma (Trypanozoon) evansi and established that they most likely are mosaics generated by homologous recombination. Western blot analysis showed that all purified VSGs were cross-reacting antigens that were recognized by sera from animals infected with either T. evansi or Trypanosoma (Dutonella) vivax. The VSG glycosyl-phosphatidylinositol cross-reacting determinant epitope was only partially responsible for the cross-reactivity of the purified proteins, and antibodies appeared to recognize cross-reacting conformational epitopes from the various soluble VSGs. ELISA experiments were performed using infected bovine sera collected from cattle in a Venezuelan trypanosome-endemic area. In particular, soluble VSGs from two trypanosome isolates, TeGu-N/D1 and TeGu-TeracayTrino, were recognized by 93.38% and 73.55% of naturally T. vivax-infected bovine sera, respectively. However, approximately 70% of the sera samples did not recognize all seven purified proteins. Hence, the use of a combination of various VSGs for the diagnosis of animal trypanosomosis is recommended.
唾液型锥虫在其细胞表面仅从大量的变异表面糖蛋白(VSG)基因库中依次表达一种VSG。从委内瑞拉几个地理区域鉴定出的不同宿主中分离出的7种冷冻保存的动物锥虫分离株,即TeAp-ElFrio01、TEVA1(或TeAp-N/D1)、TeGu-N/D1、TeAp-Mantecal01、TeGu-TerecayTrino、TeGu-Terecay03和TeGu-Terecay323,使用成年白化大鼠进行扩增。在感染早期表达的主要VSG的可溶性形式通过十二烷基硫酸钠-聚丙烯酰胺凝胶电泳进行纯化,其对应于分子量为48 - 67 kDa、pI值在6.1至7.5之间的伴刀豆球蛋白A结合蛋白。所有纯化的可溶性VSG的生化特性表明,它们在天然形式下是二聚体,代表不同的基因产物。对其中一些蛋白质进行测序,得到了与布氏锥虫(锥虫亚属)和伊氏锥虫(锥虫亚属)的VSG同源的肽段,并确定它们很可能是由同源重组产生的嵌合体。蛋白质印迹分析表明,所有纯化的VSG都是交叉反应抗原,可被感染伊氏锥虫或活泼锥虫(杜氏锥虫亚属)的动物血清识别。VSG糖基磷脂酰肌醇交叉反应决定簇表位仅部分负责纯化蛋白的交叉反应性,并且抗体似乎识别来自各种可溶性VSG的交叉反应构象表位。使用从委内瑞拉锥虫流行地区的牛采集的感染牛血清进行酶联免疫吸附测定实验。特别是,来自两种锥虫分离株TeGu-N/D1和TeGu-TeracayTrino的可溶性VSG分别被93.38%和73.55%的自然感染活泼锥虫的牛血清识别。然而,大约70%的血清样本不能识别所有七种纯化蛋白。因此,建议使用多种VSG组合来诊断动物锥虫病。