Suppr超能文献

肛门瘘管的影像学:计算机断层成像 fistulography 和磁共振成像的比较。

Imaging of anal fistulas: comparison of computed tomographic fistulography and magnetic resonance imaging.

机构信息

Shandong Medical Imaging Research Institute, Shandong University, Jinan 250021, China.

Traditional Chinese Medicine Department, Provincial Hospital Affiliated to Shandong University, Jinan 250021, China.

出版信息

Korean J Radiol. 2014 Nov-Dec;15(6):712-23. doi: 10.3348/kjr.2014.15.6.712. Epub 2014 Nov 7.

Abstract

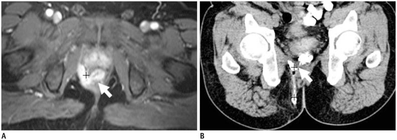
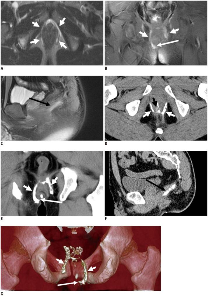
The primary importance of magnetic resonance (MR) imaging in evaluating anal fistulas lies in its ability to demonstrate hidden areas of sepsis and secondary extensions in patients with fistula in ano. MR imaging is relatively expensive, so there are many healthcare systems worldwide where access to MR imaging remains restricted. Until recently, computed tomography (CT) has played a limited role in imaging fistula in ano, largely owing to its poor resolution of soft tissue. In this article, the different imaging features of the CT and MRI are compared to demonstrate the relative accuracy of CT fistulography for the preoperative assessment of fistula in ano. CT fistulography and MR imaging have their own advantages for preoperative evaluation of perianal fistula, and can be applied to complement one another when necessary.

摘要

磁共振成像在评估肛门瘘中的主要重要性在于其能够显示隐匿性感染区域和肛门瘘患者的继发性扩展。磁共振成像相对昂贵,因此在世界上许多医疗保健系统中,磁共振成像的使用仍然受到限制。直到最近,计算机断层扫描(CT)在肛门瘘成像中的作用有限,主要是因为其软组织分辨率差。在本文中,比较了 CT 和 MRI 的不同成像特征,以证明 CT 肛瘘成像在肛门瘘术前评估中的相对准确性。CT 肛瘘成像和 MRI 对肛门周围瘘的术前评估各有优势,必要时可以相互补充。

https://cdn.ncbi.nlm.nih.gov/pmc/blobs/0e45/4248626/305a1e58078b/kjr-15-712-g001.jpg

文献检索

告别复杂PubMed语法,用中文像聊天一样搜索,搜遍4000万医学文献。AI智能推荐,让科研检索更轻松。

立即免费搜索

文件翻译

保留排版,准确专业,支持PDF/Word/PPT等文件格式,支持 12+语言互译。

免费翻译文档

深度研究

AI帮你快速写综述,25分钟生成高质量综述,智能提取关键信息,辅助科研写作。

立即免费体验