Suppr超能文献

酒精性昏迷中的大疱性病变、汗腺坏死和横纹肌溶解症。

Bullous lesions, sweat gland necrosis and rhabdomyolysis in alcoholic coma.

作者信息

Asokan Neelakandhan, Binesh Vayappurath Gangadharan, Andrews Andrews Mekkattukunnel, Jayalakshmi Pattomthadathil Sankaran

机构信息

Department of Dermatology and Venereology, Government Medical College, Thrissur, Kerala, India.

Department of Medicine, Government Medical College, Thrissur, Kerala, India.

出版信息

Indian J Dermatol. 2014 Nov;59(6):632. doi: 10.4103/0019-5154.143576.

Abstract

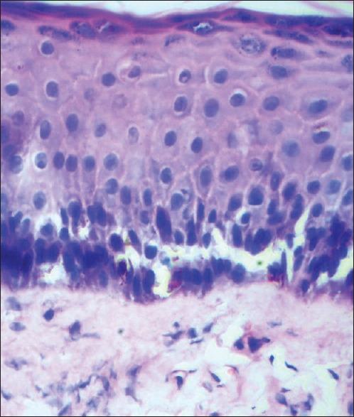
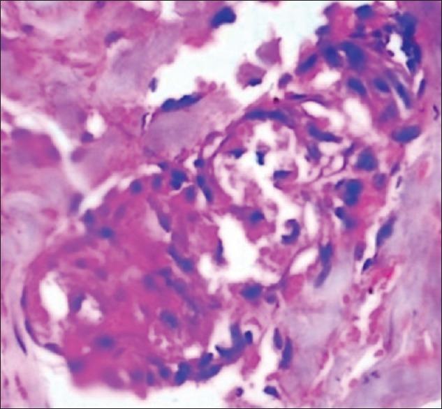
A 42-year-old male developed hemorrhagic bullae and erosions while in alcohol induced coma. The lesions were limited to areas of the body in prolonged contact with the ground in the comatose state. He developed rhabdomyolysis, progressing to acute renal failure (ARF). Histopathological examination of the skin showed spongiosis, intraepidermal vesicles, and necrosis of eccrine sweat glands with denudation of secretory epithelial lining cells. With supportive treatment and hemodialysis, the patient recovered in 3 weeks time. This is the first reported case of bullous lesions and sweat gland necrosis occurring in alcohol-induced coma complicated by rhabdomyolysis and ARF.

摘要

一名42岁男性在酒精性昏迷期间出现出血性大疱和糜烂。病变局限于昏迷状态下身体与地面长时间接触的部位。他发生了横纹肌溶解症,并进展为急性肾衰竭(ARF)。皮肤组织病理学检查显示有海绵形成、表皮内水疱以及小汗腺坏死,分泌上皮衬里细胞剥脱。经过支持治疗和血液透析,患者在3周后康复。这是首例报道的酒精性昏迷合并横纹肌溶解症和急性肾衰竭时出现大疱性病变及汗腺坏死的病例。

https://cdn.ncbi.nlm.nih.gov/pmc/blobs/ff29/4248528/b16e9c833816/IJD-59-632c-g001.jpg

文献AI研究员

20分钟写一篇综述,助力文献阅读效率提升50倍。

立即体验

用中文搜PubMed

大模型驱动的PubMed中文搜索引擎

马上搜索

文档翻译

学术文献翻译模型,支持多种主流文档格式。

立即体验