Suppr超能文献

肾皮质坏死:间日疟的一种罕见并发症。

Renal cortical necrosis: A rare complication of Plasmodium vivax malaria.

作者信息

Kumar R, Bansal N, Jhorawat R, Kimmatkar P D, Malhotra V

机构信息

Senior Residents, Department of Nephrology, SMS Medical College, Jaipur, Rajasthan, India.

Professor and Head, Department of Nephrology, SMS Medical College, Jaipur, Rajasthan, India.

出版信息

Indian J Nephrol. 2014 Nov;24(6):390-3. doi: 10.4103/0971-4065.133789.

Abstract

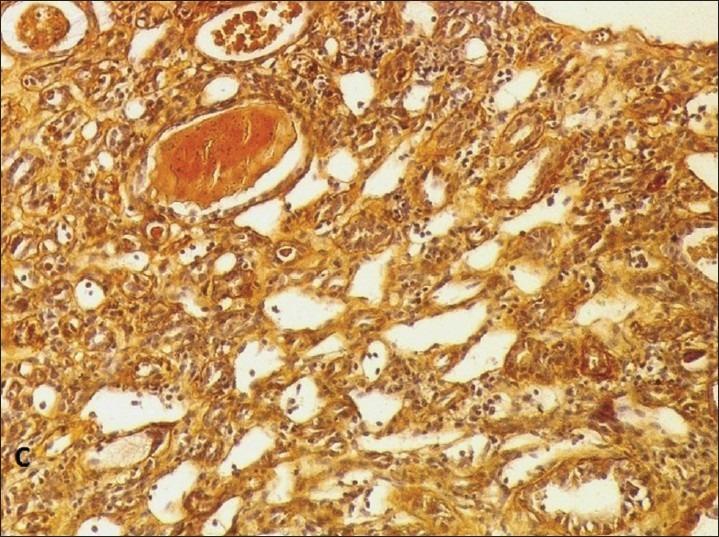
A young female with Plasmodium vivax malaria presented with anemia, hyperbilirubinemia, thrombocytopenia, and advanced renal failure. She remained anuric for more than 3 weeks. Kidney biopsy confirmed the diagnosis of acute cortical necrosis. During follow-up, she became dialysis independent, but remained in stage 4 chronic kidney disease (CKD) at 3 month. P. vivax is supposed to be benign in nature, but can lead to rare and severe complication like renal cortical necrosis and progress to CKD.

摘要

一名患有间日疟原虫疟疾的年轻女性出现贫血、高胆红素血症、血小板减少和晚期肾衰竭。她无尿超过3周。肾活检确诊为急性皮质坏死。在随访期间,她不再需要透析,但在3个月时仍处于慢性肾脏病4期。间日疟原虫通常被认为性质良性,但可导致如肾皮质坏死等罕见且严重的并发症,并进展为慢性肾脏病。

https://cdn.ncbi.nlm.nih.gov/pmc/blobs/b49a/4244722/023251a6d5aa/IJN-24-390-g002.jpg

文献AI研究员

20分钟写一篇综述,助力文献阅读效率提升50倍。

立即体验

用中文搜PubMed

大模型驱动的PubMed中文搜索引擎

马上搜索

文档翻译

学术文献翻译模型,支持多种主流文档格式。

立即体验