Jacot Terry A, Nelson Ashley, Thurman Andrea, Kashuba Angela D M, Archer David F, Doncel Gustavo F
CONRAD, Department of Obstetrics and Gynecology, Eastern Virginia Medical School, Norfolk, Virginia, United States of America.
University of North Carolina Eshelman School of Pharmacy and University of North Carolina Center for AIDS Research, University of North Carolina, Chapel Hill, North Carolina, United States of America.
PLoS One. 2014 Dec 9;9(12):e114368. doi: 10.1371/journal.pone.0114368. eCollection 2014.
Poor and inconsistent use of study products has hindered clinical HIV prevention studies. It is important to be able to monitor product adherence and protocol compliance in order to determine microbicide efficacy and safety more accurately. Current methods for monitoring adherence are subjective, non-specific, or invasive. Herein, we present a composite, objective measure of product adherence and protocol compliance to assess vaginal insertion, semen exposure and drug expulsion utilizing DNA, protein, and drug isolated directly from returned, vaginally used gel applicators.
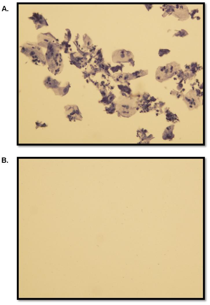
DNA, vaginal cells, and residual tenofovir were isolated from vaginally inserted applicators. Vaginal and semen biomarkers were amplified using a multiplex PCR to determine vaginal insertion. Vaginal cells were fixed followed by cytokeratin 4 immunocytochemistry to confirm DNA assessment of vaginal insertion. Tenofovir was extracted and quantitated through LC-MS/MS.
DNA isolated from vaginally inserted applicators were positive for vaginal bacteria DNA and the control eukaryotic gene, amelogenin, while manually handled, "sham", applicators were negative for both. Semen exposure was independently determined by simultaneous amplification of one or both Y-chromosomal genes, SRY and TSPY4. Vaginal insertion determination by DNA analysis was further confirmed by positive cytokeratin 4 (CK4) immunocytochemistry of vaginal cells remaining on the gel applicators. On the contrary, sham applicators provided very few cells when swabbed, and they were all negative for CK4. CK4 was not found in epidermal cells from the hand. Drug expulsion was detected through quantitation of residual gel present on the surface of returned applicators. Sham applicators had no detectable tenofovir.
Utilizing a composite, triple marker based panel of DNA, protein, and drug present on the surface of returned vaginal gel applicators, it is possible to determine, objectively and non-invasively, product adherence, protocol compliance, and semen exposure in microbicide trials.
研究产品使用不当且不一致阻碍了临床HIV预防研究。能够监测产品依从性和方案依从性对于更准确地确定杀微生物剂的疗效和安全性很重要。当前监测依从性的方法主观、非特异性或具有侵入性。在此,我们提出一种综合、客观的产品依从性和方案依从性测量方法,以利用直接从退回的阴道用凝胶涂抹器中分离的DNA、蛋白质和药物来评估阴道插入、精液暴露和药物排出情况。
从阴道插入的涂抹器中分离DNA、阴道细胞和残留的替诺福韦。使用多重PCR扩增阴道和精液生物标志物以确定阴道插入情况。固定阴道细胞,然后进行细胞角蛋白4免疫细胞化学以确认阴道插入的DNA评估。通过液相色谱-串联质谱法提取并定量替诺福韦。
从阴道插入的涂抹器中分离的DNA对阴道细菌DNA和对照真核基因牙釉蛋白呈阳性,而人工处理的“假”涂抹器两者均为阴性。通过同时扩增一个或两个Y染色体基因SRY和TSPY4独立确定精液暴露情况。凝胶涂抹器上残留的阴道细胞的细胞角蛋白4(CK4)免疫细胞化学阳性进一步证实了通过DNA分析确定的阴道插入情况。相反,擦拭假涂抹器时获得的细胞很少,且它们的CK4均为阴性。在手部表皮细胞中未发现CK4。通过对退回涂抹器表面残留凝胶的定量检测药物排出情况。假涂抹器未检测到替诺福韦。
利用基于退回的阴道凝胶涂抹器表面存在的DNA、蛋白质和药物的综合三重标记物组合,可以客观、非侵入性地确定杀微生物剂试验中的产品依从性、方案依从性和精液暴露情况。