Makris Marinos C, Moris Demetrios, Yettimis Evripides, Varsamidakis Nikolaos
1st Surgical Department of General Hospital of Athens "G. Gennimatas", Athens, Greece; Alpha Institute of Biomedical Sciences (AIBS), Marousi, Athens, Greece; Department of Surgery and Cancer - St Mary's Hospital, Imperial College of London, London, United Kingdom.
1st Surgical Department, "Laiko" General Hospital of Athens, National and Kapodistrian University of Athens, Greece.
Int J Surg Case Rep. 2015;6C:43-5. doi: 10.1016/j.ijscr.2014.10.090. Epub 2014 Nov 21.
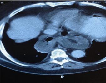
Type IV paraesophageal hernias (PEHs) have been rarely reported in the literature. Transverse colon is the most common viscus to herniate in this category.
Herein we present a case with an emergent admission of a 66 year old man with type IV PEH with small intestine into the hernia sac.
The diagnosis of PEHs can be challenging due to their extremely low incidence and the non-specific symptoms and can be easily missed from the initial differential diagnosis.
In this case, the hernia was diagnosed early and managed successfully with an immediate laparotomy.