Hui M, Uppin M S, Saradhi M Vijaya, Sahu B P, Purohit A K, Sundaram C
Department of Pathology, Nizam's Institute of Medical Sciences, Hyderabad, Andhra Pradesh, India.
J Postgrad Med. 2015 Jan-Mar;61(1):32-5. doi: 10.4103/0022-3859.147035.
Meningiomas are uncommon neoplasms in the pediatric age group and differ in various aspects from their adult counterparts. They account for 0.4-4.6% of all primary brain tumors.
To retrospectively analyze the clinicopathological and immunohistochemical features of pediatric meningiomas.
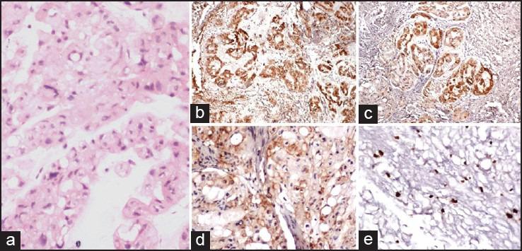
Meningiomas in patients under 18 years of age diagnosed between January 2001 to December 2011 were analyzed retrospectively. The hematoxylin and eosin stained sections and Ki 67 labelling index (LI) were reviewed for all the cases Results: The pediatric meningiomas accounted for 1.52% of total meningiomas (15/983). The mean age at presentation was 12 years with male to female ratio of 1.5:1. The presenting symptoms were headache, seizures, and motor deficits. The histology included 9 cases (60%) of atypical meningioma (WHO grade II) followed by 4 cases (26.67%) of WHO grade-I and 2 cases (13.33%) of anaplastic meningioma (WHO grade III). Five cases had a recurrence. Ki67 LI ranged from 0.5% to 1.5% in grade I, 0.5% to 15% in grade II and 13% to 24% in grade III meningiomas.
Meningiomas are rare in children and show a male preponderance. There was a higher incidence of atypical and anaplastic meningiomas in pediatric population.
脑膜瘤在儿童年龄组中是罕见肿瘤,在各个方面与其成人对应物有所不同。它们占所有原发性脑肿瘤的0.4 - 4.6%。
回顾性分析儿童脑膜瘤的临床病理和免疫组化特征。
回顾性分析2001年1月至2011年12月期间诊断的18岁以下患者的脑膜瘤。对所有病例的苏木精和伊红染色切片以及Ki 67标记指数(LI)进行复查。结果:儿童脑膜瘤占脑膜瘤总数的1.52%(15/983)。就诊时的平均年龄为12岁,男女比例为1.5:1。主要症状为头痛、癫痫发作和运动功能障碍。组织学类型包括9例(60%)非典型脑膜瘤(WHO二级),其次是4例(26.67%)WHO一级脑膜瘤和2例(13.33%)间变性脑膜瘤(WHO三级)。5例复发。Ki67 LI在一级脑膜瘤中范围为0.5%至1.5%,二级为0.5%至15%,三级为13%至24%。
脑膜瘤在儿童中罕见,男性居多。儿童人群中非典型和间变性脑膜瘤的发病率较高。