Suppr超能文献

一名成人患者出现脑室-腹腔分流管经阴道脱出。

Vaginal extrusion of a ventriculo-peritoneal shunt catheter in an adult.

作者信息

Bonfield Christopher M, Weiner Gregory M, Bradley Megan S, Engh Johnathan A

机构信息

Department of Neurological Surgery, University of Pittsburgh Medical Center, Pittsburgh, Pennsylvania, USA.

Department of Obstetrics and Gynecology, University of Pittsburgh Medical Center, Pittsburgh, Pennsylvania, USA.

出版信息

J Neurosci Rural Pract. 2015 Jan;6(1):97-9. doi: 10.4103/0976-3147.143212.

Abstract

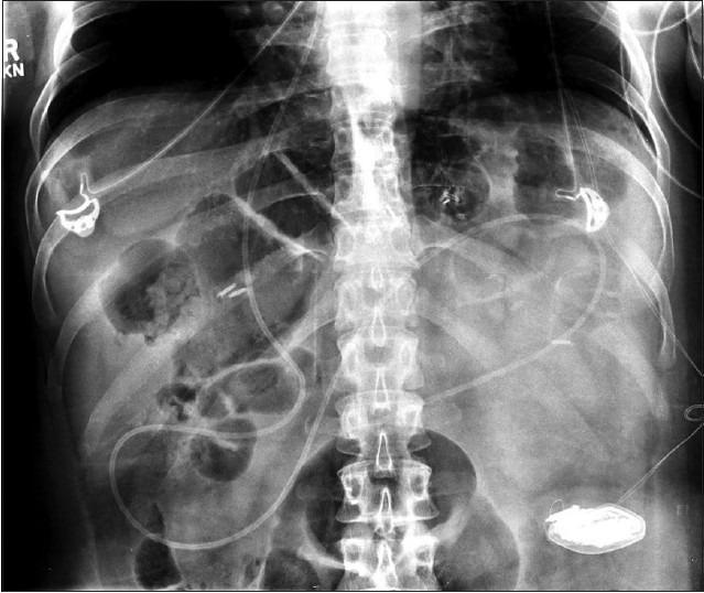
Ventriculo-peritoneal shunts (VPS) are commonly used in the treatment of various neurosurgical conditions, including hydrocephalus and pseudotumor cerebri. We report only the second case of vaginal extrusion of a VPS catheter in an adult, and the first case with a modern VPS silastic peritoneal catheter. A 45-year-old female with a history of VPS for pseudotumor cerebri, Behcet's syndrome, and hysterectomy presented to our institution with the chief complaint of tubing protruding from her vagina after urination. On gynecologic examination, the patient was found to have approximately 15 cm of VPS catheter protruding from her vaginal apex. A computed tomography scan of the abdomen and shunt X-ray series demonstrated no breaks in the tubing, but also confirmed the finding of the VPS catheter extruding through the vaginal cuff into the vagina. The patient had the VPS removed and an external ventricular drain was placed for temporary cerebrospinal fluid diversion. Ventricular catheter cultures were positive for diphtheroids. After an appropriate course of antibiotics, a contralateral ventriculo-pleural shunt was placed one week later. Although vary rare, vaginal extrusion can occur in adults, even with modern VPS catheters.

摘要

脑室-腹腔分流术(VPS)常用于治疗各种神经外科疾病,包括脑积水和假性脑瘤。我们报告的这例成人VPS导管经阴道脱出的病例为世界第二例,也是首例使用现代VPS硅橡胶腹腔导管的病例。一名45岁女性,有因假性脑瘤行VPS手术史、白塞病病史及子宫切除史,因排尿后有管道从阴道突出为主诉前来我院就诊。妇科检查发现,患者阴道顶端有大约15厘米长的VPS导管突出。腹部计算机断层扫描和分流X线系列检查显示管道无破损,但也证实了VPS导管经阴道断端突入阴道的情况。患者接受了VPS移除手术,并放置了外部脑室引流管进行临时脑脊液引流。脑室导管培养结果显示类白喉杆菌呈阳性。经过适当疗程的抗生素治疗后,一周后为患者进行了对侧脑室-胸膜分流术。尽管极为罕见,但即使使用现代VPS导管,成人也可能发生导管经阴道脱出的情况。

https://cdn.ncbi.nlm.nih.gov/pmc/blobs/0cdd/4244801/8eadae7f3eec/JNRP-6-97-g001.jpg

文献AI研究员

20分钟写一篇综述,助力文献阅读效率提升50倍。

立即体验

用中文搜PubMed

大模型驱动的PubMed中文搜索引擎

马上搜索

文档翻译

学术文献翻译模型,支持多种主流文档格式。

立即体验