Suppr超能文献

肢端肥大症归因于大型侵袭性多激素垂体腺瘤和直肠类癌肿瘤。

Acromegaly due to a Macroinvasive Plurihormonal Pituitary Adenoma and a Rectal Carcinoid Tumor.

机构信息

Department of Endocrinology and Metabolism, Kyung Hee University School of Medicine, Seoul, Korea.

Institute of Pathology, Helmholtz Zentrum Munchen, Neuherberg, Germany.

出版信息

Endocrinol Metab (Seoul). 2015 Sep;30(3):389-94. doi: 10.3803/EnM.2015.30.3.389. Epub 2015 Jan 5.

Abstract

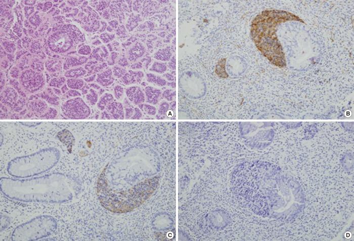
A macroinvasive pituitary adenoma with plurihormonality usually causes acromegaly and hyperprolactinemia, and also accompanies with neurologic symptoms such as visual disturbances. However, its concurrent presentation with a rectal carcinoid tumor is rarely observed. This study reports the history, biochemical, colonoscopic and immunohistochemical results of a 48-year-old female with acromegaly and hyperprolactinemia. Despite the large size and invasive nature of the pituitary adenoma to adjacent anatomical structures, she did not complain of any neurologic symptoms such as visual disturbance or headache. Immunohistochemical staining of the surgical specimen from the pituitary adenoma revealed that the tumor cells were positive for growth hormone (GH), prolactin (PRL), and thyroid stimulating hormone (TSH). Staining for pituitary-specific transcription factor-1 (Pit-1) was shown to be strongly positive, which could have been possibly contributing to the plurihormonality of this adenoma. Colonoscopy found a rectal polyp that was identified to be a carcinoid tumor using immunohistochemical staining. A macroinvasive pituitary adenoma with concomitant rectal carcinoid tumor was secreting GH, PRL, and TSH, which were believed to be in association with over-expression of Pit-1. This is the first case report of double primary tumors comprising a plurihormonal pituitary macroadenoma and rectal carcinoid tumor.

摘要

一例伴有多激素分泌的垂体大腺瘤通常会导致肢端肥大症和高泌乳素血症,并伴有视觉障碍等神经症状。然而,其同时伴有直肠类癌瘤的情况很少见。本研究报告了一例 48 岁女性肢端肥大症和高泌乳素血症的病史、生化、结肠镜和免疫组织化学结果。尽管垂体腺瘤对邻近解剖结构具有大体积和侵袭性,但她没有抱怨任何神经症状,如视觉障碍或头痛。垂体腺瘤的手术标本免疫组织化学染色显示肿瘤细胞对生长激素 (GH)、泌乳素 (PRL) 和促甲状腺激素 (TSH) 呈阳性。垂体特异性转录因子-1 (Pit-1) 的染色显示为强阳性,这可能是导致该腺瘤多激素分泌的原因。结肠镜检查发现直肠有一个息肉,通过免疫组织化学染色鉴定为类癌瘤。一例伴有直肠类癌瘤的侵袭性垂体大腺瘤分泌 GH、PRL 和 TSH,据信与 Pit-1 的过度表达有关。这是首例同时发生多激素分泌垂体大腺瘤和直肠类癌瘤的双原发肿瘤病例报告。

https://cdn.ncbi.nlm.nih.gov/pmc/blobs/0b07/4595365/5709d1cb9281/enm-30-389-g001.jpg

文献AI研究员

20分钟写一篇综述,助力文献阅读效率提升50倍。

立即体验

用中文搜PubMed

大模型驱动的PubMed中文搜索引擎

马上搜索

文档翻译

学术文献翻译模型,支持多种主流文档格式。

立即体验