Suppr超能文献

比较腹部超声、内镜超声和磁共振成像在检测包裹性胰腺坏死中坏死碎片的应用。

Comparison of abdominal ultrasound, endoscopic ultrasound and magnetic resonance imaging in detection of necrotic debris in walled-off pancreatic necrosis.

机构信息

Department of Gastroenterology, Post Graduate Institute of Medical Education and Research (PGIMER), Chandigarh, India

Department of Gastroenterology, Post Graduate Institute of Medical Education and Research (PGIMER), Chandigarh, India.

出版信息

Gastroenterol Rep (Oxf). 2016 Feb;4(1):50-3. doi: 10.1093/gastro/gou088. Epub 2015 Jan 7.

Abstract

BACKGROUND

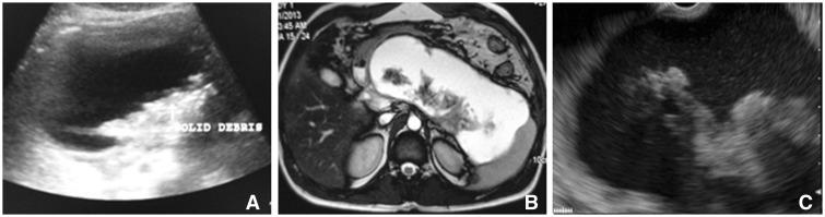
Walled-off pancreatic necrosis (WOPN) is an important complication of acute pancreatitis that is diagnosed by imaging modalities such as endoscopic ultrasound (EUS) or magnetic resonance imaging (MRI), which can clearly visualize necrotic debris. The effectiveness of abdominal ultrasound (USG) in detecting solid debris in WOPN is not clear.

METHODS

A total of 52 patients (37 males, mean age 38.9 ± 12.6 years) with symptomatic WOPN were prospectively studied using EUS, MRI and USG. These investigations were done at a mean of 11.7 ± 5.5 weeks of onset of acute pancreatitis and within two days.

RESULTS

WOPN was detected by EUS & MRI in all patients, whereas USG could not detect it in 4 (7.6%) patients (3 had predominantly solid WOPN, whereas one had air foci in WOPN). USG, MRI and EUS could detect solid debris in all patients with detectable WOPN. EUS and USG detected <10% debris in 10 (20%) patients, whereas MRI detected <10% debris in 14 (27%) patients. EUS and USG detected 10-40% debris in 33 patients whereas MRI detected 10-40% debris in 30 (58%) patients. More than 40% debris was better characterized on EUS and MRI with both detecting >40% debris in 8 patients (15%) compared to 5 (11%) patients having >40% debris on USG. EUS detected collaterals around WOPN that were not detected on USG or MRI.

CONCLUSION

USG can characterize the majority of WOPN, with accuracy comparable to that of EUS/MRI. However its limitations are the inability to detect collaterals around WOPN and characterize collections with high solid content or air.

摘要

背景

壁性胰腺坏死(WOPN)是急性胰腺炎的一种重要并发症,通过内镜超声(EUS)或磁共振成像(MRI)等影像学方式进行诊断,这些方式可以清楚地显示坏死的碎屑。腹部超声(USG)在检测 WOPN 中的固体碎屑方面的有效性尚不清楚。

方法

共前瞻性研究了 52 例(37 名男性,平均年龄 38.9±12.6 岁)有症状性 WOPN 的患者,这些患者分别接受了 EUS、MRI 和 USG 检查。这些检查在急性胰腺炎发病后的平均 11.7±5.5 周内进行,且均在两天内进行。

结果

所有患者均通过 EUS 和 MRI 检测到了 WOPN,而 USG 无法在 4 例(7.6%)患者中检测到(3 例患者主要为固体性 WOPN,1 例患者 WOPN 中存在气灶)。在所有可检测到 WOPN 的患者中,USG、MRI 和 EUS 均可检测到固体碎屑。EUS 和 USG 在 10 例(20%)患者中检测到<10%的碎屑,而 MRI 在 14 例(27%)患者中检测到<10%的碎屑。EUS 和 USG 在 33 例患者中检测到 10-40%的碎屑,而 MRI 在 30 例(58%)患者中检测到 10-40%的碎屑。在 EUS 和 MRI 上,>40%的碎屑特征更好,与 USG 上 5 例(11%)患者相比,EUS 和 MRI 上分别有 8 例(15%)患者的>40%的碎屑特征更好。EUS 检测到了 WOPN 周围的侧支循环,而 USG 和 MRI 并未检测到这些侧支循环。

结论

USG 可以对大多数 WOPN 进行特征描述,其准确性与 EUS/MRI 相当。但是,它的局限性在于无法检测 WOPN 周围的侧支循环,以及无法对高固体含量或含气的积液进行特征描述。

https://cdn.ncbi.nlm.nih.gov/pmc/blobs/fe15/4760061/ba07e2b58242/gou088f1p.jpg

文献AI研究员

20分钟写一篇综述,助力文献阅读效率提升50倍。

立即体验

用中文搜PubMed

大模型驱动的PubMed中文搜索引擎

马上搜索

文档翻译

学术文献翻译模型,支持多种主流文档格式。

立即体验