• 文献检索
  • 文档翻译
  • 深度研究
  • 学术资讯
  • Suppr Zotero 插件Zotero 插件
  • 邀请有礼
  • 套餐&价格
  • 历史记录
应用&插件
Suppr Zotero 插件Zotero 插件浏览器插件Mac 客户端Windows 客户端微信小程序
定价
高级版会员购买积分包购买API积分包
服务
文献检索文档翻译深度研究API 文档MCP 服务
关于我们
关于 Suppr公司介绍联系我们用户协议隐私条款
关注我们

Suppr 超能文献

核心技术专利:CN118964589B侵权必究
粤ICP备2023148730 号-1Suppr @ 2026

文献检索

告别复杂PubMed语法,用中文像聊天一样搜索,搜遍4000万医学文献。AI智能推荐,让科研检索更轻松。

立即免费搜索

文件翻译

保留排版,准确专业,支持PDF/Word/PPT等文件格式,支持 12+语言互译。

免费翻译文档

深度研究

AI帮你快速写综述,25分钟生成高质量综述,智能提取关键信息,辅助科研写作。

立即免费体验

青少年棒球运动员有症状的持续性尺骨鹰嘴骨骺处的软骨退变

Cartilage degeneration at symptomatic persistent olecranon physis in adolescent baseball players.

作者信息

Enishi Tetsuya, Matsuura Tetsuya, Suzue Naoto, Takahashi Yoshinori, Sairyo Koichi

机构信息

Department of Orthopedics, Tokushima University Hospital, 2-50-1 Kuramoto, Tokushima 770-8503, Japan.

出版信息

Adv Orthop. 2014;2014:545438. doi: 10.1155/2014/545438. Epub 2014 Dec 18.

DOI:10.1155/2014/545438
PMID:25580304
原文链接:https://pmc.ncbi.nlm.nih.gov/articles/PMC4281472/
Abstract

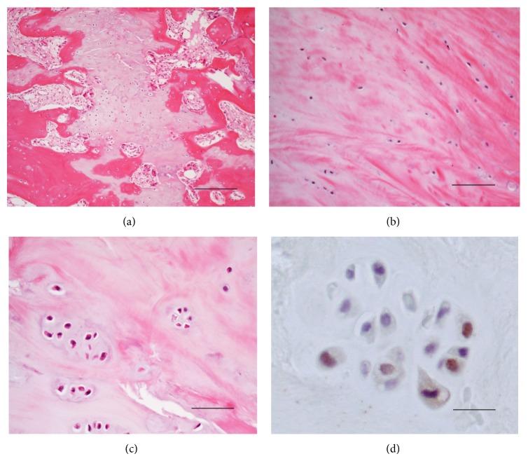
Background. Elbow overuse injuries are common in adolescent baseball players, but symptomatic persistent olecranon physis is rare, and its pathogenesis remains unclear. Purpose. To examine the histopathological and imaging findings of advanced persistent olecranon physis. Methods. The olecranon physes of 2 baseball pitchers, aged 14 and 15 years, were examined by preoperative magnetic resonance imaging (MRI), and surgical specimens were examined histologically. Results. T2-weighted MRI revealed alterations in the intrachondral signal intensity possibly related to collagen degeneration and increased free water content. Histological findings of specimens stained with hematoxylin-eosin showed complete disorganization of the cartilage structure, hypocellularity, chondrocyte cluster formation, and moderately reduced staining. All these findings are hallmarks of osteoarthritis and are suggestive of cartilage degeneration. Conclusion. Growth plate degeneration was evident in advanced cases of symptomatic persistent olecranon physis. These findings contribute to understanding the pathogenesis of this disease.

摘要

背景。肘部过度使用损伤在青少年棒球运动员中很常见,但有症状的持续性鹰嘴骨骺却很罕见,其发病机制仍不清楚。目的。研究晚期持续性鹰嘴骨骺的组织病理学和影像学表现。方法。对2名年龄分别为14岁和15岁的棒球投手的鹰嘴骨骺进行术前磁共振成像(MRI)检查,并对手术标本进行组织学检查。结果。T2加权MRI显示软骨内信号强度改变,可能与胶原退变和游离水含量增加有关。苏木精-伊红染色标本的组织学结果显示软骨结构完全紊乱、细胞减少、软骨细胞簇形成以及染色适度减弱。所有这些表现都是骨关节炎的特征,提示软骨退变。结论。在有症状的持续性鹰嘴骨骺晚期病例中,生长板退变明显。这些发现有助于理解该疾病的发病机制。

https://cdn.ncbi.nlm.nih.gov/pmc/blobs/8659/4281472/093134792a64/AORTH2014-545438.002.jpg
https://cdn.ncbi.nlm.nih.gov/pmc/blobs/8659/4281472/7e89678b7967/AORTH2014-545438.001.jpg
https://cdn.ncbi.nlm.nih.gov/pmc/blobs/8659/4281472/093134792a64/AORTH2014-545438.002.jpg
https://cdn.ncbi.nlm.nih.gov/pmc/blobs/8659/4281472/7e89678b7967/AORTH2014-545438.001.jpg
https://cdn.ncbi.nlm.nih.gov/pmc/blobs/8659/4281472/093134792a64/AORTH2014-545438.002.jpg

相似文献

1
Cartilage degeneration at symptomatic persistent olecranon physis in adolescent baseball players.青少年棒球运动员有症状的持续性尺骨鹰嘴骨骺处的软骨退变
Adv Orthop. 2014;2014:545438. doi: 10.1155/2014/545438. Epub 2014 Dec 18.
2
Fracture of a persistent olecranon physis in an adult.成人持续性鹰嘴骨骺骨折。
Trauma Case Rep. 2015 Jun 16;1(1-2):9-12. doi: 10.1016/j.tcr.2015.03.001. eCollection 2015 Feb.
3
Persistence of the olecranon physis in baseball players: Results following operative management.棒球运动员尺骨鹰嘴骨骺的持续存在:手术治疗后的结果
J Shoulder Elbow Surg. 2003 Jan-Feb;12(1):59-62. doi: 10.1067/mse.2003.12.
4
The value of using radiographic criteria for the treatment of persistent symptomatic olecranon physis in adolescent throwing athletes.使用影像学标准治疗青少年投掷运动员持续性症状性尺骨鹰嘴骨骺的价值。
Am J Sports Med. 2010 Jan;38(1):141-5. doi: 10.1177/0363546509342677. Epub 2009 Sep 2.
5
Low-Intensity Pulsed Ultrasound Therapy for a Symptomatic Persistent Olecranon Physis in an Adolescent Baseball Pitcher.低强度脉冲超声治疗青少年棒球投手有症状的持续性鹰嘴骨骺
Clin J Sport Med. 2018 Jul;28(4):e82-e84. doi: 10.1097/JSM.0000000000000449.
6
Persistence of the olecranon physis: a cause of "little league elbow".尺骨鹰嘴骨骺持续存在:“青少年棒球肘”的一个病因。
J Shoulder Elbow Surg. 1995 Mar-Apr;4(2):143-7. doi: 10.1016/s1058-2746(05)80070-9.
7
Olecranon physeal nonunion in the adolescent athlete: identification of two patterns.青少年运动员尺骨鹰嘴骨骺不愈合:两种类型的识别。
J Shoulder Elbow Surg. 2017 Jun;26(6):1044-1051. doi: 10.1016/j.jse.2016.11.036. Epub 2017 Jan 27.
8
Performance and Return to Sport After Open Reduction and Internal Fixation of the Olecranon in Professional Baseball Players.专业棒球运动员尺骨鹰嘴切开复位内固定术后的功能和重返运动情况。
Am J Sports Med. 2019 Jul;47(8):1915-1920. doi: 10.1177/0363546519844479. Epub 2019 May 20.
9
Site and Severity of the Increased Humeral Retroversion in Symptomatic Baseball Players: A 3-dimensional Computed Tomographic Analysis.有症状的棒球运动员肱骨后倾增加的部位和严重程度:三维计算机断层扫描分析
Am J Sports Med. 2016 Jul;44(7):1825-31. doi: 10.1177/0363546516638331. Epub 2016 Apr 6.
10
Preseason Assessment of Radiographic Abnormalities in Elbows of Little League Baseball Players.小联盟棒球运动员肘部影像学异常的季前评估。
J Bone Joint Surg Am. 2016 May 4;98(9):761-7. doi: 10.2106/JBJS.15.01017.

引用本文的文献

1
Surgical Treatment of Displaced Olecranon Fracture Through a Persistent Physis: Case Report and Review of the Literature.经持续生长板治疗移位尺骨鹰嘴骨折:病例报告及文献综述
Orthop J Sports Med. 2019 Nov 5;7(11):2325967119881647. doi: 10.1177/2325967119881647. eCollection 2019 Nov.
2
Fracture of a persistent olecranon physis in an adult.成人持续性鹰嘴骨骺骨折。
Trauma Case Rep. 2015 Jun 16;1(1-2):9-12. doi: 10.1016/j.tcr.2015.03.001. eCollection 2015 Feb.

本文引用的文献

1
Quantitative parametric MRI of articular cartilage: a review of progress and open challenges.关节软骨的定量参数 MRI:进展与开放性挑战综述。
Br J Radiol. 2013 Mar;86(1023):20120163. doi: 10.1259/bjr.20120163.
2
Recurrence of an olecranon stress fracture in an elite pitcher after percutaneous internal fixation: a case report.一名精英投手经皮内固定术后尺骨鹰嘴应力性骨折复发:一例报告
Am J Sports Med. 2012 Jan;40(1):218-21. doi: 10.1177/0363546511422796. Epub 2011 Sep 21.
3
The value of using radiographic criteria for the treatment of persistent symptomatic olecranon physis in adolescent throwing athletes.
使用影像学标准治疗青少年投掷运动员持续性症状性尺骨鹰嘴骨骺的价值。
Am J Sports Med. 2010 Jan;38(1):141-5. doi: 10.1177/0363546509342677. Epub 2009 Sep 2.
4
Persistence of the olecranon physis in baseball players: Results following operative management.棒球运动员尺骨鹰嘴骨骺的持续存在:手术治疗后的结果
J Shoulder Elbow Surg. 2003 Jan-Feb;12(1):59-62. doi: 10.1067/mse.2003.12.
5
Oblique stress fracture of the olecranon in baseball pitchers.棒球投手尺骨鹰嘴斜形应力性骨折。
J Shoulder Elbow Surg. 1997 Sep-Oct;6(5):491-4. doi: 10.1016/s1058-2746(97)80004-3.
6
Nonunion of olecranon epiphysis: two cases in adolescent baseball pitchers.尺骨鹰嘴骨骺不愈合:青少年棒球投手的两例病例
AJR Am J Roentgenol. 1981 Apr;136(4):819-20. doi: 10.2214/ajr.136.4.819.
7
Olecranon stress fractures in throwers. A report of two cases and a review of the literature.投掷运动员的鹰嘴应力性骨折。两例报告及文献综述。
Clin Orthop Relat Res. 1992 May(278):58-61.
8
Non-union of a stress fracture through the olecranon epiphyseal plate observed in an adolescent baseball pitcher. A case report.一名青少年棒球投手尺骨鹰嘴骨骺板应力性骨折不愈合病例报告。
J Bone Joint Surg Am. 1977 Mar;59(2):264-5.