Abbasi Salma L, McNamara Kate, Absar Mohammed S, Darlington Alison, Clucas Francene, Titi Sami
Department of Pathology, The Royal Oldham Hospital, Oldham, UK.
Breast Unit, North Manchester General Hospital, Manchester, UK.
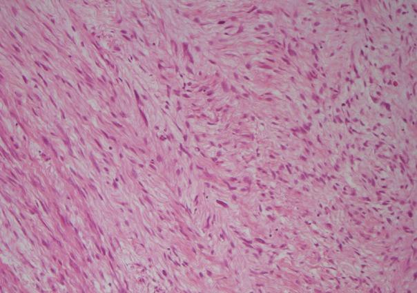
Korean J Pathol. 2014 Dec;48(6):442-4. doi: 10.4132/KoreanJPathol.2014.48.6.442. Epub 2014 Dec 31.