Suppr超能文献

原发性肺淀粉样变性在双时相氟脱氧葡萄糖正电子发射断层扫描/计算机断层扫描上被误诊为恶性肿瘤:一例报告并文献复习

Primary pulmonary amyloidosis misdiagnosed as malignancy on dual-time-point fluoro-deoxyglucose positron emission tomography/computed tomography: A case report and review of the literature.

作者信息

Dong Meng-Jie, Zhao Kui, Liu Zhen-Feng, Wang Guo-Lin, Yang Jun

机构信息

Positron Emission Tomography Center, First Affiliated Hospital, College of Medicine, Zhejiang University, Hangzhou, Zhejiang 310003, P.R. China.

Department of Nuclear Medicine, First Affiliated Hospital, College of Medicine, Zhejiang University, Hangzhou, Zhejiang 310003, P.R. China.

出版信息

Oncol Lett. 2015 Feb;9(2):591-594. doi: 10.3892/ol.2014.2778. Epub 2014 Dec 8.

Abstract

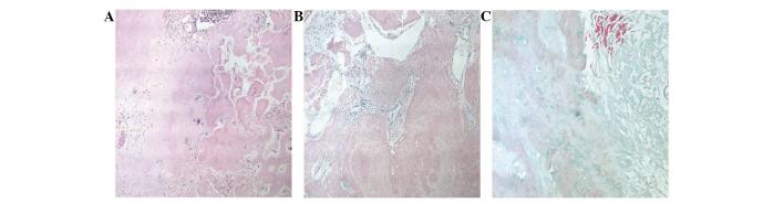
Primary pulmonary amyloidosis is an uncommon manifestation, characterized by amyloid deposition in the lungs and other associated tissue. The clinical presentation of amyloidosis is variable, with non-specific symptoms. The current study reports the case of a 59-year-old female presenting with primary pulmonary amyloidosis, indistinguishable from lung malignancy based on 18F-fluoro-deoxyglucose (18F-FDG) accumulation on dual-time-point (DTP) FDG-positron emission tomography/computed tomography (PET/CT) imaging and the similarities in morphological changes. A percutaneous CT-guided thoracoscopic biopsy was subsequently performed. Histological examination revealed that the specimens contained amorphous, homogeneous material with a number of polyclonal plasma cells, lymphocytes and giant cells. A diagnosis of primary nodular parenchymal pulmonary amyloidosis was determined, and the patient was discharged without chemotherapy. The patient remained in good clinical condition during follow-up. The present case indicated that localized nodular amyloidosis with increased FDG uptake on DTP FDG PET must be considered in the differential diagnosis of growing lung nodules, and that a histological examination must be conducted to distinguish this condition from malignancies of the lung.

摘要

原发性肺淀粉样变性是一种罕见的表现形式,其特征是淀粉样物质沉积于肺及其他相关组织。淀粉样变性的临床表现多样,症状不具特异性。本研究报告了一例59岁女性原发性肺淀粉样变性病例,基于双时相(DTP)18F-氟脱氧葡萄糖(18F-FDG)正电子发射断层扫描/计算机断层扫描(PET/CT)成像上的18F-FDG摄取以及形态学改变的相似性,该病例与肺恶性肿瘤难以区分。随后进行了经皮CT引导下胸腔镜活检。组织学检查显示,标本含有无定形、均匀的物质,伴有大量多克隆浆细胞、淋巴细胞和巨细胞。确诊为原发性结节性实质性肺淀粉样变性,患者未接受化疗即出院。随访期间患者临床状况良好。本病例表明,在鉴别生长性肺结节时,必须考虑DTP FDG PET上FDG摄取增加的局限性结节性淀粉样变性,并且必须进行组织学检查以将这种情况与肺恶性肿瘤区分开来。

https://cdn.ncbi.nlm.nih.gov/pmc/blobs/00e8/4301551/193965d57157/OL-09-02-0591-g00.jpg

文献AI研究员

20分钟写一篇综述,助力文献阅读效率提升50倍。

立即体验

用中文搜PubMed

大模型驱动的PubMed中文搜索引擎

马上搜索

文档翻译

学术文献翻译模型,支持多种主流文档格式。

立即体验