Suppr超能文献

孕期给予甲基苯丙胺对妊娠期间小鼠的影响。

Effect of prenatal methamphetamine administration during gestational days on mice.

作者信息

Khoradmehr Arezoo, Danafar Amirhossein, Halvaei Iman, Golzadeh Jalal, Hosseini Mahya, Mirjalili Tahereh, Anvari Morteza

机构信息

Research and Clinical Center for Infertility, Shahid Sadoughi University of Medical Sciences, Yazd, Iran.

Research and Clinical Center for Infertility, Shahid Sadoughi University of Medical Sciences, Yazd, Iran. ; Young Researchers Club, Islamic Azad University, Yazd, Iran.

出版信息

Iran J Reprod Med. 2015 Jan;13(1):41-8.

Abstract

BACKGROUND

Methamphetamine (MA) is one of most common illicit drugs which were reported that nearly half of MA consumers are women. MA can cross through placenta and affects pregnancy and fetus development.

OBJECTIVE

Our aim was to evaluate effects of injected MA on crown-rump length, head and placental circumference, body weight, histological changes and apoptosis in fetus.

MATERIALS AND METHODS

Twenty-four NMRI pregnant mice were randomly divided into five groups. First, second and third groups were injected intraperitoneally 10 mg/kg/day MA during gestational days (GD): GD1-7, GD8-14, and GD1-14, respectively. Forth group, as sham, was injected saline from GD1-14, and finally control which was received neither MA nor saline. On GD15 cervical dislocated pregnant mice, fetus and placenta were weighed and fetus crown-rump length was measured. Hematoxylin and Eosin staining and TUNEL assay were applied to assess histological changes and apoptosis respectively.

RESULTS

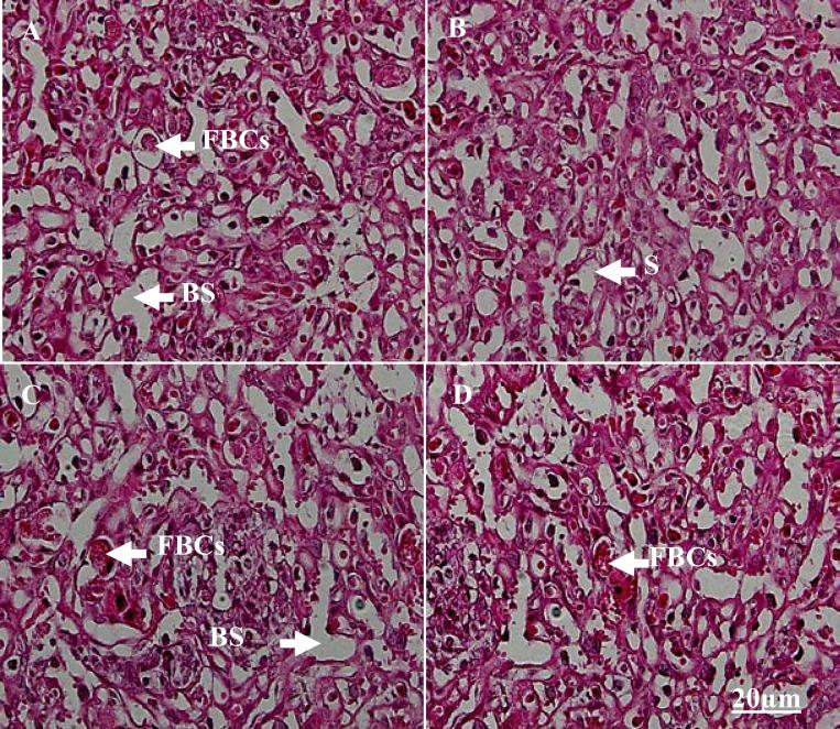
Fetus body weight and crown-rump length showed significant decrease in third compared to first and second groups (p≤0.001). There were significant differences in head circumference in control and sham compared to third group (0.5 (0.5-0.6), 0.6 (0.5-0.8), 0.4 (0.4-0.5) cm respectively, p≤0.001). Also fetus that treated with MA showed lower placenta circumference compared to control and sham groups. Histological changes such as exencephaly, hemorrhage and immature fetus were observed in second and third groups. Apoptotic cells in second and third groups were higher than controls, but differences were not significant.

CONCLUSION

It seems MA abuse during pregnancy can cause morphological and histological changes in mice fetus but the exact mechanism remains unclear.

摘要

背景

甲基苯丙胺(MA)是最常见的非法药物之一,据报道,近一半的MA使用者为女性。MA可穿过胎盘,影响妊娠和胎儿发育。

目的

我们的目的是评估注射MA对胎儿顶臀长度、头围和胎盘周长、体重、组织学变化及细胞凋亡的影响。

材料与方法

将24只NMRI怀孕小鼠随机分为五组。第一、第二和第三组分别在妊娠第1至7天、第8至14天和第1至14天腹腔注射10mg/kg/天的MA。第四组作为假手术组,在第1至14天注射生理盐水,最后一组为对照组,既不注射MA也不注射生理盐水。在妊娠第15天,通过颈椎脱臼处死怀孕小鼠,称量胎儿和胎盘的重量,并测量胎儿的顶臀长度。分别应用苏木精-伊红染色和TUNEL检测来评估组织学变化和细胞凋亡。

结果

与第一组和第二组相比,第三组胎儿体重和顶臀长度显著降低(p≤0.001)。与第三组相比,对照组和假手术组的头围存在显著差异(分别为0.5(0.5 - 0.6)、0.6(0.5 - 0.8)、0.4(0.4 - 0.5)cm,p≤0.001)。此外,与对照组和假手术组相比,接受MA处理的胎儿胎盘周长较低。在第二组和第三组中观察到诸如无脑儿、出血和未成熟胎儿等组织学变化。第二组和第三组的凋亡细胞高于对照组,但差异不显著。

结论

孕期滥用MA似乎可导致小鼠胎儿出现形态学和组织学变化,但确切机制尚不清楚。

https://cdn.ncbi.nlm.nih.gov/pmc/blobs/df9b/4306984/dd5e68f70f40/ijrm-13-041-g001.jpg

文献AI研究员

20分钟写一篇综述,助力文献阅读效率提升50倍。

立即体验

用中文搜PubMed

大模型驱动的PubMed中文搜索引擎

马上搜索

文档翻译

学术文献翻译模型,支持多种主流文档格式。

立即体验