• 文献检索
  • 文档翻译
  • 深度研究
  • 学术资讯
  • Suppr Zotero 插件Zotero 插件
  • 邀请有礼
  • 套餐&价格
  • 历史记录
应用&插件
Suppr Zotero 插件Zotero 插件浏览器插件Mac 客户端Windows 客户端微信小程序
定价
高级版会员购买积分包购买API积分包
服务
文献检索文档翻译深度研究API 文档MCP 服务
关于我们
关于 Suppr公司介绍联系我们用户协议隐私条款
关注我们

Suppr 超能文献

核心技术专利:CN118964589B侵权必究
粤ICP备2023148730 号-1Suppr @ 2026

文献检索

告别复杂PubMed语法,用中文像聊天一样搜索,搜遍4000万医学文献。AI智能推荐,让科研检索更轻松。

立即免费搜索

文件翻译

保留排版,准确专业,支持PDF/Word/PPT等文件格式,支持 12+语言互译。

免费翻译文档

深度研究

AI帮你快速写综述,25分钟生成高质量综述,智能提取关键信息,辅助科研写作。

立即免费体验

用于排便障碍综合征的磁共振排粪造影

MR defecography for obstructed defecation syndrome.

作者信息

Thapar Ravikumar B, Patankar Roysuneel V, Kamat Ritesh D, Thapar Radhika R, Chemburkar Vipul

机构信息

Department of Radiology, Joy Hospital, Mumbai, Maharashtra, India.

Department of Surgery, Joy Hospital, Mumbai, Maharashtra, India.

出版信息

Indian J Radiol Imaging. 2015 Jan-Mar;25(1):25-30. doi: 10.4103/0971-3026.150134.

DOI:10.4103/0971-3026.150134
PMID:25709162
原文链接:https://pmc.ncbi.nlm.nih.gov/articles/PMC4329684/
Abstract

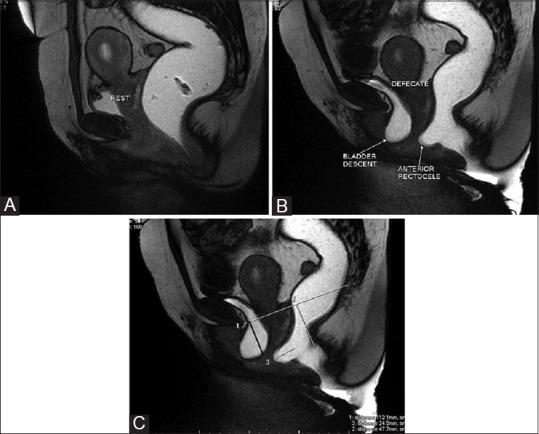
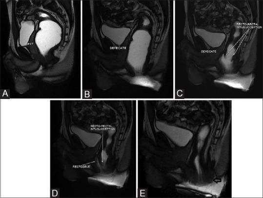
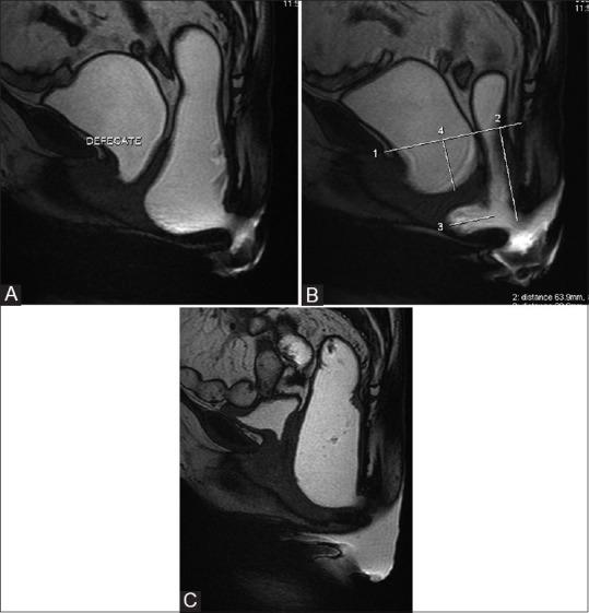
Patients with obstructed defecation syndrome (ODS) form an important subset of patients with chronic constipation. Evaluation and treatment of these patients has traditionally been difficult. Magnetic resonance defecography (MRD) is a very useful tool for the evaluation of these patients. We evaluated the scans and records of 192 consecutive patients who underwent MRD at our center between January 2011 and January 2012. Abnormal descent, rectoceles, rectorectal intussusceptions, enteroceles, and spastic perineum were observed in a large number of these patients, usually in various combinations. We discuss the technique, its advantages and limitations, and the normal findings and various pathologies.

摘要

排便梗阻综合征(ODS)患者是慢性便秘患者中的一个重要亚组。传统上,对这些患者的评估和治疗一直很困难。磁共振排粪造影(MRD)是评估这些患者的非常有用的工具。我们评估了2011年1月至2012年1月期间在我们中心接受MRD检查的192例连续患者的扫描结果和记录。在这些患者中,大量观察到异常下降、直肠膨出、直肠直肠套叠、肠膨出和会阴痉挛,通常是多种情况并存。我们讨论了该技术、其优点和局限性,以及正常表现和各种病变。

https://cdn.ncbi.nlm.nih.gov/pmc/blobs/111b/4329684/a154331e2a2b/IJRI-25-25-g012.jpg
https://cdn.ncbi.nlm.nih.gov/pmc/blobs/111b/4329684/0c6b282e318d/IJRI-25-25-g001.jpg
https://cdn.ncbi.nlm.nih.gov/pmc/blobs/111b/4329684/c7143a44e3a2/IJRI-25-25-g003.jpg
https://cdn.ncbi.nlm.nih.gov/pmc/blobs/111b/4329684/052d8ab611f4/IJRI-25-25-g004.jpg
https://cdn.ncbi.nlm.nih.gov/pmc/blobs/111b/4329684/530a740017a8/IJRI-25-25-g005.jpg
https://cdn.ncbi.nlm.nih.gov/pmc/blobs/111b/4329684/50d4620273dc/IJRI-25-25-g006.jpg
https://cdn.ncbi.nlm.nih.gov/pmc/blobs/111b/4329684/83624bc6c71b/IJRI-25-25-g007.jpg
https://cdn.ncbi.nlm.nih.gov/pmc/blobs/111b/4329684/08d985402d2c/IJRI-25-25-g008.jpg
https://cdn.ncbi.nlm.nih.gov/pmc/blobs/111b/4329684/74278456303b/IJRI-25-25-g009.jpg
https://cdn.ncbi.nlm.nih.gov/pmc/blobs/111b/4329684/f2b118b34007/IJRI-25-25-g010.jpg
https://cdn.ncbi.nlm.nih.gov/pmc/blobs/111b/4329684/a5f7867dc7da/IJRI-25-25-g011.jpg
https://cdn.ncbi.nlm.nih.gov/pmc/blobs/111b/4329684/a154331e2a2b/IJRI-25-25-g012.jpg
https://cdn.ncbi.nlm.nih.gov/pmc/blobs/111b/4329684/0c6b282e318d/IJRI-25-25-g001.jpg
https://cdn.ncbi.nlm.nih.gov/pmc/blobs/111b/4329684/c7143a44e3a2/IJRI-25-25-g003.jpg
https://cdn.ncbi.nlm.nih.gov/pmc/blobs/111b/4329684/052d8ab611f4/IJRI-25-25-g004.jpg
https://cdn.ncbi.nlm.nih.gov/pmc/blobs/111b/4329684/530a740017a8/IJRI-25-25-g005.jpg
https://cdn.ncbi.nlm.nih.gov/pmc/blobs/111b/4329684/50d4620273dc/IJRI-25-25-g006.jpg
https://cdn.ncbi.nlm.nih.gov/pmc/blobs/111b/4329684/83624bc6c71b/IJRI-25-25-g007.jpg
https://cdn.ncbi.nlm.nih.gov/pmc/blobs/111b/4329684/08d985402d2c/IJRI-25-25-g008.jpg
https://cdn.ncbi.nlm.nih.gov/pmc/blobs/111b/4329684/74278456303b/IJRI-25-25-g009.jpg
https://cdn.ncbi.nlm.nih.gov/pmc/blobs/111b/4329684/f2b118b34007/IJRI-25-25-g010.jpg
https://cdn.ncbi.nlm.nih.gov/pmc/blobs/111b/4329684/a5f7867dc7da/IJRI-25-25-g011.jpg
https://cdn.ncbi.nlm.nih.gov/pmc/blobs/111b/4329684/a154331e2a2b/IJRI-25-25-g012.jpg

相似文献

1
MR defecography for obstructed defecation syndrome.用于排便障碍综合征的磁共振排粪造影
Indian J Radiol Imaging. 2015 Jan-Mar;25(1):25-30. doi: 10.4103/0971-3026.150134.
2
The clinical value of magnetic resonance defecography in males with obstructed defecation syndrome.磁共振排粪造影在男性出口梗阻型便秘综合征中的临床价值。
Tech Coloproctol. 2018 Mar;22(3):179-190. doi: 10.1007/s10151-018-1759-4. Epub 2018 Mar 6.
3
Dynamic transperineal ultrasound in the workup of men with obstructed defecation: a pilot study.动态经会阴超声在男性排便障碍中的应用:一项初步研究。
Dis Colon Rectum. 2012 Sep;55(9):976-82. doi: 10.1097/DCR.0b013e31825ef8ec.
4
Magnetic resonance defecography versus videodefecography in the study of obstructed defecation syndrome: Is videodefecography still the test of choice after 50 years?磁共振排粪造影与排粪造影在出口梗阻型便秘综合征中的研究:50 年后排粪造影仍是首选检查吗?
Tech Coloproctol. 2017 Oct;21(10):795-802. doi: 10.1007/s10151-017-1666-0. Epub 2017 Jul 28.
5
Role of dynamic magnetic resonance imaging in management of obstructed defecation case series.动态磁共振成像在梗阻性排便障碍病例系列中的作用。
Int J Surg. 2010;8(4):274-82. doi: 10.1016/j.ijsu.2010.02.008. Epub 2010 Feb 26.
6
Comparative study of magnetic resonance defaecography and evacuation proctography in the evaluation of obstructed defaecation.磁共振排粪造影与排粪造影在评估排便障碍中的对比研究。
Colorectal Dis. 2017 Jun;19(6):O204-O209. doi: 10.1111/codi.13657.
7
MR defecography: depiction of anorectal anatomy and pathology.磁共振排粪造影:肛管直肠解剖结构与病理表现
J Comput Assist Tomogr. 1998 Sep-Oct;22(5):749-55. doi: 10.1097/00004728-199809000-00016.
8
How to define pathologic pelvic floor descent in MR defecography during defecation?在排粪造影磁共振检查中,如何定义排粪期病理性盆底下降?
Abdom Radiol (NY). 2018 Dec;43(12):3233-3240. doi: 10.1007/s00261-018-1652-7.
9
Experience of 4 years with open MR defecography: pictorial review of anorectal anatomy and disease.开放式磁共振排粪造影4年经验:肛肠解剖与疾病的影像回顾
Radiographics. 2002 Jul-Aug;22(4):817-32. doi: 10.1148/radiographics.22.4.g02jl02817.
10
MR Defecography in Assessing Functional Defecation Disorder: Diagnostic Value of the Defecation Phase in Detection of Dyssynergic Defecation and Pelvic Floor Prolapse in Females.磁共振排粪造影在评估功能性排粪障碍中的作用:排粪期对女性协同性排粪障碍和盆底脱垂的诊断价值。
Digestion. 2019;100(2):109-116. doi: 10.1159/000494249. Epub 2019 Jan 29.

引用本文的文献

1
Role of magnetic resonance defecography in the assessment of obstructed defecation syndrome.磁共振排粪造影在排便梗阻综合征评估中的作用。
World J Radiol. 2025 Jun 28;17(6):107205. doi: 10.4329/wjr.v17.i6.107205.
2
Magnetic resonance defecography assessment of obstructed defecation syndrome in patients with chronic constipation in a tertiary care hospital.三级医院慢性便秘患者排便梗阻综合征的磁共振排粪造影评估
World J Radiol. 2025 May 28;17(5):106102. doi: 10.4329/wjr.v17.i5.106102.
3
Imaging of pelvic floor disorders involving the posterior compartment on dynamic MR defaecography.

本文引用的文献

1
Obstructed defecation syndrome: diagnosis and therapeutic options, with special focus on the STARR procedure.排便障碍综合征:诊断与治疗选择,特别关注经肛门吻合器直肠切除术(STARR手术)
Isr Med Assoc J. 2010 Feb;12(2):104-6.
2
Stapled transanal rectal resection for obstructed defecation syndrome associated with rectocele and rectal intussusception.经肛吻合直肠切除术治疗伴有直肠前突和直肠套叠的出口梗阻型便秘。
World J Gastroenterol. 2010 May 28;16(20):2542-8. doi: 10.3748/wjg.v16.i20.2542.
3
MR imaging of the pelvic floor.盆底的磁共振成像。
动态磁共振排粪造影对涉及后盆腔的盆底功能障碍的成像
SA J Radiol. 2024 Oct 11;28(1):2935. doi: 10.4102/sajr.v28i1.2935. eCollection 2024.
4
Literature review of the outcome of and methods used to improve transperineal repair of rectocele.直肠膨出经会阴修补术的疗效及改进方法的文献综述
World J Gastrointest Surg. 2021 Sep 27;13(9):1063-1078. doi: 10.4240/wjgs.v13.i9.1063.
5
Diagnostic approach to faecal incontinence: What test and when to perform?大便失禁的诊断方法:进行何种检查及何时进行?
World J Gastroenterol. 2021 Apr 21;27(15):1553-1562. doi: 10.3748/wjg.v27.i15.1553.
6
Chronic constipation: A review of literature.慢性便秘:文献综述
Medicine (Baltimore). 2018 May;97(20):e10631. doi: 10.1097/MD.0000000000010631.
7
Chronic constipation in Rome IV era: The Indian perspective.罗马IV时代的慢性便秘:印度视角
Indian J Gastroenterol. 2017 May;36(3):163-173. doi: 10.1007/s12664-017-0757-1. Epub 2017 Jun 23.
8
Evaluation, Diagnosis, and Medical Management of Rectal Prolapse.直肠脱垂的评估、诊断及医学处理
Clin Colon Rectal Surg. 2017 Feb;30(1):16-21. doi: 10.1055/s-0036-1593431.
9
Functional Disorders: Rectoanal Intussusception.功能性疾病:直肠套叠
Clin Colon Rectal Surg. 2017 Feb;30(1):5-11. doi: 10.1055/s-0036-1593433.
JBR-BTR. 2006 Jul-Aug;89(4):182-9.
4
Treatment strategies in obstructed defecation and fecal incontinence.排便梗阻和大便失禁的治疗策略。
World J Gastroenterol. 2006 May 28;12(20):3168-73. doi: 10.3748/wjg.v12.i20.3168.
5
Functional bowel disorders.功能性肠病
Gastroenterology. 2006 Apr;130(5):1480-91. doi: 10.1053/j.gastro.2005.11.061.
6
Chronic constipation.慢性便秘
N Engl J Med. 2003 Oct 2;349(14):1360-8. doi: 10.1056/NEJMra020995.
7
Experience of 4 years with open MR defecography: pictorial review of anorectal anatomy and disease.开放式磁共振排粪造影4年经验:肛肠解剖与疾病的影像回顾
Radiographics. 2002 Jul-Aug;22(4):817-32. doi: 10.1148/radiographics.22.4.g02jl02817.
8
Dynamic MR imaging of the pelvic floor performed with patient sitting in an open-magnet unit versus with patient supine in a closed-magnet unit.分别在开放磁体设备中让患者坐位以及在封闭磁体设备中让患者仰卧位时进行盆底的动态磁共振成像。
Radiology. 2002 May;223(2):501-8. doi: 10.1148/radiol.2232010665.
9
Female pelvic organ prolapse: a comparison of triphasic dynamic MR imaging and triphasic fluoroscopic cystocolpoproctography.女性盆腔器官脱垂:三相动态磁共振成像与三相荧光透视膀胱阴道直肠造影术的比较
AJR Am J Roentgenol. 2000 Jan;174(1):81-8. doi: 10.2214/ajr.174.1.1740081.
10
Are interpretations of video defecographies reliable and reproducible?排粪造影的解读是否可靠且可重复?
Int J Colorectal Dis. 1997;12(2):67-72. doi: 10.1007/s003840050083.