Suppr超能文献

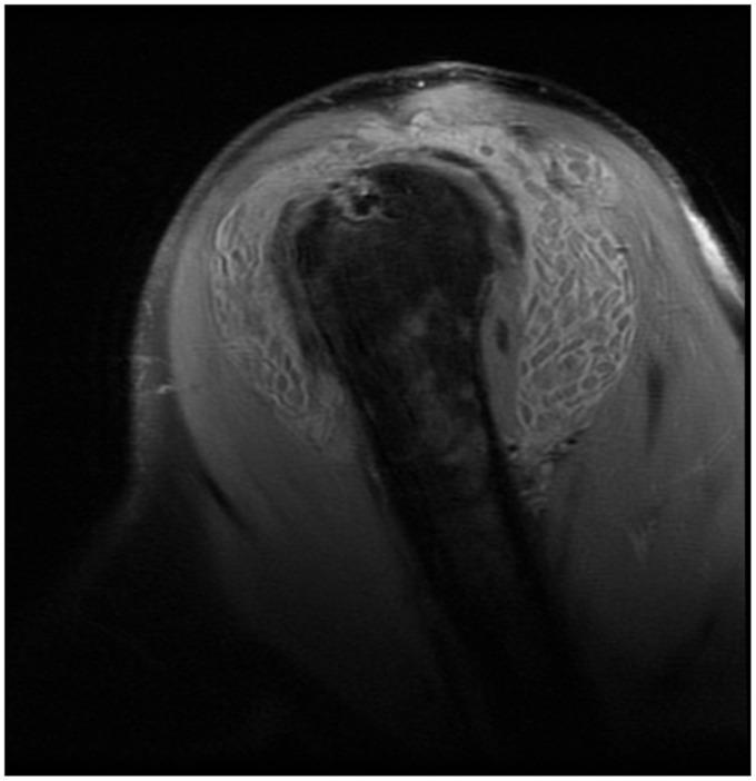
烩饭征——一种伴有米粒体形成的严重炎症性滑囊炎,是生物可吸收缝线锚钉修复肩袖的并发症。

The Risotto sign - a severe inflammatory bursitis with rice body formation, complicating a rotator cuff repair with a bioabsorbable suture anchor.

作者信息

Sivaloganathan Sivan, Amr Romel, Shrivastava Raj, Relwani Jaikumar

机构信息

Department of Orthopaedic Surgery, William Harvey Hospital, Ashford, Kent TN24 0LZ, UK.

Medway Hospital, Kent ME7 5NY, UK.

出版信息

JRSM Open. 2015 Jan 19;6(1):2054270414562986. doi: 10.1177/2054270414562986. eCollection 2015 Jan.

Abstract

There is an association between inflammatory bursitis with rice body formation and use of bioabsorbable suture anchors.

摘要

炎性滑囊炎伴米粒体形成与生物可吸收缝合锚钉的使用之间存在关联。

https://cdn.ncbi.nlm.nih.gov/pmc/blobs/80fb/4304892/ba68c47e60b5/10.1177_2054270414562986-fig1.jpg

文献AI研究员

20分钟写一篇综述,助力文献阅读效率提升50倍。

立即体验

用中文搜PubMed

大模型驱动的PubMed中文搜索引擎

马上搜索

文档翻译

学术文献翻译模型,支持多种主流文档格式。

立即体验