Suppr超能文献

腹腔镜治疗自发性破裂肾(温德利希综合征)。

Laparoscopic treatment of a spontaneously ruptured kidney (wunderlich syndrome).

作者信息

Bretterbauer Katharina Maria, Markić Dean, Colleselli Daniela, Hruby Stephan, Magdy Ahmed, Janetschek Günter, Mitterberger Michael Josef

机构信息

Department of Urology, University Clinics Salzburg, 5020 Salzburg, Austria.

Department of Urology, University Hospital Rijeka, 51000 Rijeka, Croatia.

出版信息

Case Rep Urol. 2015;2015:701046. doi: 10.1155/2015/701046. Epub 2015 Feb 26.

Abstract

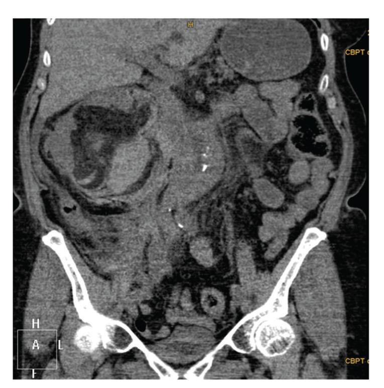
Spontaneous, nontraumatic retroperitoneal hemorrhage or Wunderlich syndrome (WS) is a rare but potential life-threatening condition. In most patients a bleeding renal neoplasm is the cause of the retroperitoneal hematoma. The management of this condition includes a conservative approach in the hemodynamically stable patients and active treatment in the unstable patients. Active treatment includes angioembolization or surgery. If angioembolization is not available open surgery is in most cases the preferred approach. We present a patient with a spontaneously ruptured kidney due to a central renal angiomyolipoma, which was treated by laparoscopic nephrectomy.

摘要

自发性、非创伤性腹膜后出血或温德利希综合征(WS)是一种罕见但可能危及生命的疾病。在大多数患者中,出血性肾肿瘤是腹膜后血肿的病因。这种疾病的治疗包括对血流动力学稳定的患者采取保守治疗方法,对不稳定的患者采取积极治疗。积极治疗包括血管栓塞或手术。如果无法进行血管栓塞,在大多数情况下开放手术是首选方法。我们报告一例因肾中心血管平滑肌脂肪瘤导致自发性肾破裂的患者,该患者接受了腹腔镜肾切除术。

https://cdn.ncbi.nlm.nih.gov/pmc/blobs/3fdf/4374331/add8d13469dc/CRIU2015-701046.001.jpg

文献AI研究员

20分钟写一篇综述,助力文献阅读效率提升50倍。

立即体验

用中文搜PubMed

大模型驱动的PubMed中文搜索引擎

马上搜索

文档翻译

学术文献翻译模型,支持多种主流文档格式。

立即体验