Suppr超能文献

中枢性尿崩症、中枢性甲状腺功能减退症、肾小管酸中毒与丹迪-沃克综合征:新的关联。

Central diabetes insipidus, central hypothyroidism, renal tubular acidosis and dandy-walker syndrome: new associations.

作者信息

Alafif M M, Aljaid S S, Al-Agha A E

机构信息

Department of Pediatrics, Faculty of Medicine, King Abdulaziz University, Jeddah, Saudi Arabia.

出版信息

Ann Med Health Sci Res. 2015 Mar-Apr;5(2):145-7. doi: 10.4103/2141-9248.153633.

Abstract

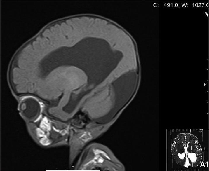
Dandy-Walker syndrome (DWS) is a rare brain malformation involving the cerebellum, and the fluid filled spaces around it, usually detected during the antenatal period or the early infancy. Clinically, it is characterized by mental retardation, developmental delay as well as cerebellar ataxia. It has been frequently associated with other conditions such as congenital heart diseases, primary hypothyroidism, and other disorders of the central nervous, gastrointestinal, genitourinary, and orthopedic systems. In this report, we describe a 3-month-old Saudi boy with the rare association of DWS with central diabetes insipidus, congenital central hypothyroidism, and type-2 renal tubular acidosis.

摘要

丹迪-沃克综合征(DWS)是一种罕见的涉及小脑及其周围充满液体空间的脑部畸形,通常在产前或婴儿早期被发现。临床上,其特征为智力迟钝、发育迟缓以及小脑共济失调。它常与其他病症相关,如先天性心脏病、原发性甲状腺功能减退以及中枢神经、胃肠、泌尿生殖和骨科系统的其他疾病。在本报告中,我们描述了一名3个月大的沙特男孩,其患有丹迪-沃克综合征并罕见地合并中枢性尿崩症、先天性中枢性甲状腺功能减退和2型肾小管酸中毒。

https://cdn.ncbi.nlm.nih.gov/pmc/blobs/0d05/4389333/acc7b3536b7b/AMHSR-5-145-g002.jpg

文献AI研究员

20分钟写一篇综述,助力文献阅读效率提升50倍。

立即体验

用中文搜PubMed

大模型驱动的PubMed中文搜索引擎

马上搜索

文档翻译

学术文献翻译模型,支持多种主流文档格式。

立即体验