Suppr超能文献

先天性大叶性肺气肿:诊断与通气方面的挑战

Congenital lobar emphysema: Challenges in diagnosis and ventilation.

作者信息

Prabhu Manjunath, Joseph Tim Thomas

机构信息

Department of Anaesthesiology, Kasturba Medical College, Manipal, Karnataka, India.

出版信息

Anesth Essays Res. 2012 Jul-Dec;6(2):203-6. doi: 10.4103/0259-1162.108326.

Abstract

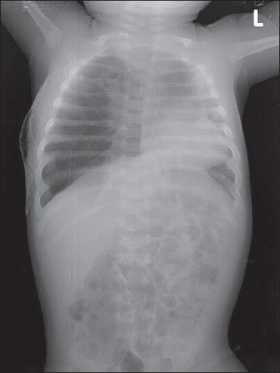
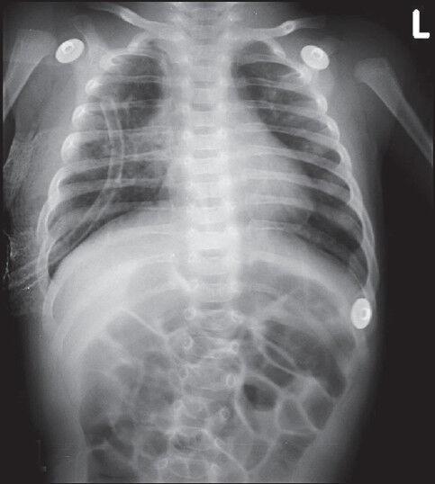
Congenital lobar emphysema (CLE) is a rare congenital anomaly of lung causing over aeration of one or more lobes of a histologically normal lung. It presents in infancy with respiratory distress due to compression atelectasis and often associated with mediastinal shift and hypotension. CLE poses a challenge in diagnosis and positive pressure ventilation due to air trapping. We report a case of 8-week-old infant with CLE posted for right lobectomy. Strategies to prevent misdiagnosis, over aeration and use of IPPV have been reviewed.

摘要

先天性肺叶气肿(CLE)是一种罕见的先天性肺部异常,可导致组织学正常的一个或多个肺叶过度充气。它在婴儿期因压迫性肺不张而出现呼吸窘迫,常伴有纵隔移位和低血压。由于气体潴留,CLE在诊断和正压通气方面构成挑战。我们报告一例8周大患有CLE的婴儿拟行右肺叶切除术。已对预防误诊、过度充气和使用间歇正压通气的策略进行了综述。

https://cdn.ncbi.nlm.nih.gov/pmc/blobs/adba/4173476/89b6da600ba4/AER-6-203-g001.jpg

文献AI研究员

20分钟写一篇综述,助力文献阅读效率提升50倍。

立即体验

用中文搜PubMed

大模型驱动的PubMed中文搜索引擎

马上搜索

文档翻译

学术文献翻译模型,支持多种主流文档格式。

立即体验