De Coninck Vincent, Michielsen Dirk
Department of Urology, University Hospital (UZ), Laarbeeklaan 101, 1090, Brussels, Belgium.
J Med Case Rep. 2015 Mar 7;9:54. doi: 10.1186/s13256-015-0530-y.
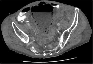
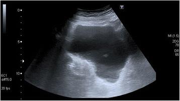
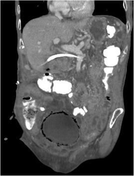
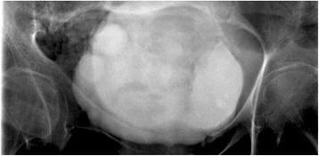
Emphysematous cystitis is a very rare complicated urinary tract infection characterized by air in the bladder wall.
We report two clinical cases of emphysematous cystitis of an 83-year-old Caucasian woman with diabetes mellitus and a 78-year-old Caucasian man with no past medical history. They presented with severe confusion and abdominal distension. Emphysematous cystitis was diagnosed in time with a thorough physical examination, urine analysis and computed tomography. The patients were successfully treated with antibiotic therapy and bladder drainage.
This rare disorder should be recognized in time and treated properly to guarantee survival.
气肿性膀胱炎是一种非常罕见的复杂性尿路感染,其特征为膀胱壁内出现气体。
我们报告两例气肿性膀胱炎的临床病例,一例是一名83岁患有糖尿病的白人女性,另一例是一名78岁无既往病史的白人男性。他们均表现为严重意识模糊和腹胀。通过全面的体格检查、尿液分析和计算机断层扫描及时诊断出气肿性膀胱炎。患者通过抗生素治疗和膀胱引流得到成功治疗。
应及时识别这种罕见疾病并进行恰当治疗以确保存活。