Suppr超能文献

儿童颅颈交界区颈椎生长的量化

Quantification of pediatric cervical spine growth at the cranio-vertebral junction.

作者信息

Lee Ho Jin, Kim Jong Tae, Shin Myoung Hoon, Choi Doo Yong, Hong Jae Taek

机构信息

Department of Neurosurgery, Incheon St. Mary's Hospital, The Catholic University of Korea, Incheon, Korea.

Department of Neurosurgery, St. Vincent's Hospital, The Catholic University of Korea, Suwon, Korea.

出版信息

J Korean Neurosurg Soc. 2015 Apr;57(4):276-82. doi: 10.3340/jkns.2015.57.4.276. Epub 2015 Apr 24.

Abstract

OBJECTIVE

The purpose of this study was to investigate morphological change at the craniovertebral junction (CVJ) region using computed tomography.

METHODS

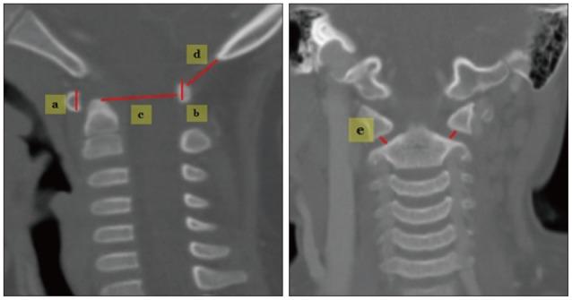
A total of 238 patients were included in this study, and mean age was 47.8±21.3 months. Spinal canal diameter, Power's ratio, McRae line, antero-posterior C1 ring height, atlantoaxial joint space, C2 growth, epidural space from the dens (M-PB-C2) and longitudinal distance (basion to C2 lower margin, B-C2) were measured. The mean value of each parameter was assessed for individual age groups. The cohorts were then divided into three larger age groups : infancy (I) (≤2 years), very early (VE) childhood (2-5 years) and early (E) childhood (5≥ years).

RESULTS

Spinal canal diameter increased with age; however, this value did not increase with statistical significance after VE age. A significant age-related difference was found for all C2 body and odontoid parameters (p<0.05). Mean McRae line was 8.5, 8, and 7.5 mm in the I, VE, and E groups, respectively. The M-PB-C2 line showed up-and-down dynamic change during early pediatric periods.

CONCLUSION

Expansion of the spinal canal was restricted to the very early childhood period (less than 5 years) in the CVJ region; however, the C2 body and odontoid process increased continuously with age. The above results induced a dynamic change in the M-PB-C2 line. Although C2 longitudinal growth continued with age, the McRae line showed relatively little change.

摘要

目的

本研究旨在利用计算机断层扫描研究颅颈交界区(CVJ)的形态变化。

方法

本研究共纳入238例患者,平均年龄为47.8±21.3个月。测量椎管直径、鲍尔氏比率、麦克雷线、C1环前后高度、寰枢关节间隙、C2生长情况、齿状突硬膜外间隙(M-PB-C2)和纵向距离(颅底至C2下缘,B-C2)。评估每个参数在各个年龄组的平均值。然后将队列分为三个更大的年龄组:婴儿期(I)(≤2岁)、极早期(VE)儿童期(2-5岁)和早期(E)儿童期(≥5岁)。

结果

椎管直径随年龄增加;然而,在VE年龄之后,该值的增加无统计学意义。所有C2椎体和齿状突参数均存在显著的年龄相关差异(p<0.05)。I组、VE组和E组的平均麦克雷线分别为8.5、8和7.5mm。M-PB-C2线在儿童早期呈现上下动态变化。

结论

CVJ区椎管扩张仅限于儿童极早期(小于5岁);然而,C2椎体和齿状突随年龄持续增加。上述结果导致M-PB-C2线出现动态变化。尽管C2纵向生长随年龄持续,但麦克雷线变化相对较小。

https://cdn.ncbi.nlm.nih.gov/pmc/blobs/dbea/4414772/0eec025b148f/jkns-57-276-g001.jpg

文献AI研究员

20分钟写一篇综述,助力文献阅读效率提升50倍。

立即体验

用中文搜PubMed

大模型驱动的PubMed中文搜索引擎

马上搜索

文档翻译

学术文献翻译模型,支持多种主流文档格式。

立即体验