Suppr超能文献

乳腺3T磁共振成像:立体定向真空辅助乳腺活检的指征

Breast 3 T-MR imaging: indication for stereotactic vacuum-assisted breast biopsy.

作者信息

Yamamoto Nobuko, Yoshizako Takeshi, Yoshikawa Kazuaki, Itakura Masayuki, Maruyama Riruke, Kitagaki Hajime

机构信息

Department of Radiology, Shimane University Faculty of Medicine, 89-1 Enya, Izumo, Shimane, 693-8501 Japan.

Department of Surgery, Shimane University Faculty of Medicine, 89-1 Enya, Izumo, Shimane, 693-8501 Japan.

出版信息

Springerplus. 2014 Aug 28;3:481. doi: 10.1186/2193-1801-3-481. eCollection 2014.

Abstract

PURPOSE

The purpose of this study was to assess indications for stereotactic vacuum-assisted breast biopsy (SVAB) evaluated by breast 3 T-magnetic resonance (3 T-MR) imaging in patients showing suspicious microcalcifications on mammography and negative ultrasound (US) findings.

METHODS AND MATERIALS

Fifty-five patients with 55 breast lesions showing suspicious microcalcifications on mammography and negative US findings underwent preoperative 3 T-MR examination including dynamic MR imaging. All patients underwent SVAB within 1 month of MR imaging. The pathological diagnosis of each breast lesion was made by examining tissues obtained by SVAB or radical/partial mastectomy. 3 T-MR imaging findings were evaluated by using the American College of Radiology Breast Imaging Reporting and Data System Atlas (BI-RADS-MRI) and then were correlated with the histopathological findings. When BI-RADS 4 and 5 MR imaging lesions were assumed to be malignant, the usefulness of 3 T-MR imaging was evaluated for diagnosis of impalpable breast lesions by SVAB among lesions with microcalcification detected by mammography and negative US findings.

RESULTS

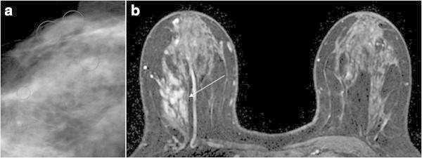
There were 21 malignant lesions, including 5 invasive ductal carcinomas, 16 lesions of ductal carcinoma in situ (DCIS). The sensitivity, specificity, positive predictive value, negative predictive value, and accuracy of 3 T-MR imaging for deciding the indications for SVAB was 90.5%, 97.1%, 95.0%, 94.3%, and 94.5%, respectively. The one-false negative case was a DCIS with small enhancing lesions (0.5 mm). The one false-positive case was ductal adenoma with a linear ductal pattern of enhancement.

CONCLUSIONS

3 T-MR imaging may be useful for deciding the indications for SVAB in patients who have breast lesions with microcalcification that are impalpable and are detected by mammography and negative US findings. However, our findings should be considered preliminary and further prospective investigation is required.

摘要

目的

本研究旨在评估乳腺3T磁共振成像(3T-MR)对乳腺钼靶检查显示可疑微钙化且超声(US)检查结果为阴性的患者进行立体定向真空辅助乳腺活检(SVAB)的适应证。

方法和材料

55例乳腺病变患者,乳腺钼靶检查显示可疑微钙化且超声检查结果为阴性,术前行3T-MR检查,包括动态磁共振成像。所有患者在磁共振成像后1个月内接受SVAB。通过检查SVAB或根治性/部分乳房切除术获取的组织对每个乳腺病变进行病理诊断。使用美国放射学会乳腺影像报告和数据系统图谱(BI-RADS-MRI)评估3T-MR成像结果,然后将其与组织病理学结果进行关联。当将BI-RADS 4和5级磁共振成像病变假定为恶性时,评估3T-MR成像在乳腺钼靶检查发现微钙化且超声检查结果为阴性的病变中对不可触及乳腺病变进行SVAB诊断的有效性。

结果

有21例恶性病变,包括5例浸润性导管癌、16例导管原位癌(DCIS)。3T-MR成像用于确定SVAB适应证的敏感性、特异性、阳性预测值、阴性预测值和准确性分别为90.5%、97.1%、95.0%、94.3%和94.5%。1例假阴性病例为具有小强化病变(0.5mm)的DCIS。1例假阳性病例为具有线性导管强化模式的导管腺瘤。

结论

3T-MR成像可能有助于确定乳腺钼靶检查发现不可触及的微钙化乳腺病变且超声检查结果为阴性的患者进行SVAB的适应证。然而,我们的研究结果应被视为初步结果,需要进一步的前瞻性研究。

https://cdn.ncbi.nlm.nih.gov/pmc/blobs/5709/4409605/90721b44b894/40064_2014_1528_Fig1_HTML.jpg

文献AI研究员

20分钟写一篇综述,助力文献阅读效率提升50倍。

立即体验

用中文搜PubMed

大模型驱动的PubMed中文搜索引擎

马上搜索

文档翻译

学术文献翻译模型,支持多种主流文档格式。

立即体验