Suppr超能文献

转移性甲状腺髓样癌继发急性肝衰竭

Acute liver failure secondary to metastatic medullary thyroid cancer.

作者信息

Gorospe Emmanuel C, Badamas Jemilat

机构信息

Saint Marys Hospital, Mayo Clinic, 1216 Second Street SW, Rochester, MN 55902, USA.

出版信息

Case Reports Hepatol. 2011;2011:603757. doi: 10.1155/2011/603757. Epub 2012 Jan 15.

Abstract

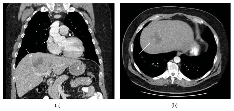
Acute liver failure (ALF) is a rare presentation of liver metastases. Although cases of ALF from metastatic disease have been reported, etiologies have been largely confined to lymphoma, metastatic breast, lung, and gastric cancers. ALF from medullary thyroid cancer (MTC) has never been reported. We present a 59-year-old male with newly diagnosed MTC, who was admitted with ALF. He presented with jaundice, hepatic encephalopathy, and synthetic dysfunction. His clinical course was marked by rapid decompensation within 6 days from initial presentation of jaundice to development of hepatic coma. Although liver metastases from medullary thyroid cancer have been reported, to our knowledge, this is the first described case of MTC resulting in acute liver failure.

摘要

急性肝衰竭(ALF)是肝转移瘤的一种罕见表现。虽然已有转移性疾病导致ALF的病例报道,但其病因主要局限于淋巴瘤、转移性乳腺癌、肺癌和胃癌。甲状腺髓样癌(MTC)导致的ALF从未有过报道。我们报告一例59岁新诊断为MTC的男性患者,因ALF入院。他表现为黄疸、肝性脑病和肝功能合成障碍。其临床病程特点是从最初出现黄疸到发展为肝昏迷在6天内迅速失代偿。虽然已有甲状腺髓样癌肝转移的报道,但据我们所知,这是首例描述的MTC导致急性肝衰竭的病例。

https://cdn.ncbi.nlm.nih.gov/pmc/blobs/44da/4412047/be1690f7214d/CRIHEP2011-603757.001.jpg

文献AI研究员

20分钟写一篇综述,助力文献阅读效率提升50倍。

立即体验

用中文搜PubMed

大模型驱动的PubMed中文搜索引擎

马上搜索

文档翻译

学术文献翻译模型,支持多种主流文档格式。

立即体验