• 文献检索
  • 文档翻译
  • 深度研究
  • 学术资讯
  • Suppr Zotero 插件Zotero 插件
  • 邀请有礼
  • 套餐&价格
  • 历史记录
应用&插件
Suppr Zotero 插件Zotero 插件浏览器插件Mac 客户端Windows 客户端微信小程序
定价
高级版会员购买积分包购买API积分包
服务
文献检索文档翻译深度研究API 文档MCP 服务
关于我们
关于 Suppr公司介绍联系我们用户协议隐私条款
关注我们

Suppr 超能文献

核心技术专利:CN118964589B侵权必究
粤ICP备2023148730 号-1Suppr @ 2026

文献检索

告别复杂PubMed语法,用中文像聊天一样搜索,搜遍4000万医学文献。AI智能推荐,让科研检索更轻松。

立即免费搜索

文件翻译

保留排版,准确专业,支持PDF/Word/PPT等文件格式,支持 12+语言互译。

免费翻译文档

深度研究

AI帮你快速写综述,25分钟生成高质量综述,智能提取关键信息,辅助科研写作。

立即免费体验

气道周围间质纤维化:病因、临床特征及预后

Airway-centered interstitial fibrosis: etiology, clinical findings and prognosis.

作者信息

Kuranishi Lilian Tiemi, Leslie Kevin O, Ferreira Rimarcs Gomes, Coletta Ester Aparecida Ney, Storrer Karin Mueller, Soares Maria Raquel, de Castro Pereira Carlos Alberto

机构信息

Pulmonary Department, Federal University of São Paulo, Sao Paulo, Brazil.

Pathology Department, Mayo Clinic, Scottsdale, USA.

出版信息

Respir Res. 2015 May 9;16(1):55. doi: 10.1186/s12931-015-0213-7.

DOI:10.1186/s12931-015-0213-7
PMID:25956471
原文链接:https://pmc.ncbi.nlm.nih.gov/articles/PMC4429710/
Abstract

BACKGROUND

Airway-centered Interstitial Fibrosis (ACIF) is a common pathologic pattern observed in our practice.

OBJECTIVES

The objectives of this study are to describe the causes associated with ACIF in a large sample of patients and its effect on survival.

METHODS

A retrospective study in three centers of interstitial lung disease in São Paulo, between January of 1995 and December of 2012. The surgical lung biopsy specimens were reviewed by three pathologists. The clinical, functional and tomographic findings were analyzed by a standardized protocol.

RESULTS

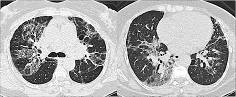
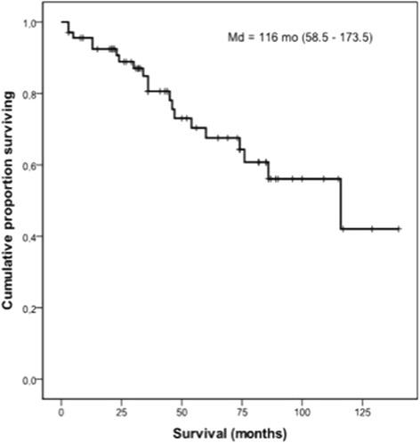
There were 68 cases of ACIF, most of them women. The mean age was 57 ± 12 yr. Dyspnea, cough, restrictive pattern at spirometry and oxygen desaturation at exercise were common. A reticular pattern with peribronchovascular infiltrates was found in 79% of the cases. The etiologies of ACIF were hypersensitivity pneumonitis in 29 (42.6%), gastroesophageal reflux disease in 17 (25.0%), collagen vascular disease in 4 (5.9%), a combination of them in 15 cases and idiopathic in 3 (4.4%). The median survival was 116 months (95% CI = 58.5 - 173.5). Lower values of oxygen saturation at rest, presence of cough and some histological findings--organizing tissue in the airways, fibroblastic foci and microscopic honeycombing--were predictors of worse survival.

CONCLUSIONS

ACIF is an interstitial lung disease with a better survival when compared with IPF. The main etiologies are HP and GERD. The oxygen saturation at rest, the presence of cough and some histological findings are predictors of survival.

摘要

背景

气道中心性间质纤维化(ACIF)是我们在临床实践中观察到的一种常见病理模式。

目的

本研究的目的是描述大量患者中与ACIF相关的病因及其对生存的影响。

方法

对圣保罗三个间质性肺病中心在1995年1月至2012年12月期间进行的一项回顾性研究。手术肺活检标本由三名病理学家进行复查。临床、功能和断层扫描结果通过标准化方案进行分析。

结果

共有68例ACIF患者,其中大多数为女性。平均年龄为57±12岁。呼吸困难、咳嗽、肺活量测定时的限制性模式和运动时的氧饱和度下降很常见。79%的病例发现有支气管血管周围浸润的网状模式。ACIF的病因包括29例(42.6%)过敏性肺炎、17例(25.0%)胃食管反流病、4例(5.9%)胶原血管病、15例为它们的组合以及3例(4.4%)特发性。中位生存期为116个月(95%CI = 58.5 - 173.5)。静息时较低的氧饱和度、咳嗽的存在以及一些组织学表现——气道内的机化组织、成纤维细胞灶和显微镜下的蜂窝状改变——是生存较差的预测因素。

结论

与特发性肺纤维化相比,ACIF是一种生存期较好的间质性肺病。主要病因是过敏性肺炎和胃食管反流病。静息时的氧饱和度、咳嗽的存在以及一些组织学表现是生存的预测因素。

https://cdn.ncbi.nlm.nih.gov/pmc/blobs/d6f6/4429710/3289430945db/12931_2015_213_Fig4_HTML.jpg
https://cdn.ncbi.nlm.nih.gov/pmc/blobs/d6f6/4429710/5f48e797d0d2/12931_2015_213_Fig1_HTML.jpg
https://cdn.ncbi.nlm.nih.gov/pmc/blobs/d6f6/4429710/f5e30f66ea8e/12931_2015_213_Fig2_HTML.jpg
https://cdn.ncbi.nlm.nih.gov/pmc/blobs/d6f6/4429710/7b523c927d3a/12931_2015_213_Fig3_HTML.jpg
https://cdn.ncbi.nlm.nih.gov/pmc/blobs/d6f6/4429710/3289430945db/12931_2015_213_Fig4_HTML.jpg
https://cdn.ncbi.nlm.nih.gov/pmc/blobs/d6f6/4429710/5f48e797d0d2/12931_2015_213_Fig1_HTML.jpg
https://cdn.ncbi.nlm.nih.gov/pmc/blobs/d6f6/4429710/f5e30f66ea8e/12931_2015_213_Fig2_HTML.jpg
https://cdn.ncbi.nlm.nih.gov/pmc/blobs/d6f6/4429710/7b523c927d3a/12931_2015_213_Fig3_HTML.jpg
https://cdn.ncbi.nlm.nih.gov/pmc/blobs/d6f6/4429710/3289430945db/12931_2015_213_Fig4_HTML.jpg

相似文献

1
Airway-centered interstitial fibrosis: etiology, clinical findings and prognosis.气道周围间质纤维化:病因、临床特征及预后
Respir Res. 2015 May 9;16(1):55. doi: 10.1186/s12931-015-0213-7.
2
Subacute and chronic hypersensitivity pneumonitis: histopathological patterns and survival.亚急性和慢性过敏性肺炎:组织病理学模式和生存。
Respir Med. 2009 Apr;103(4):508-15. doi: 10.1016/j.rmed.2008.12.016.
3
Acute exacerbation of interstitial pneumonia other than idiopathic pulmonary fibrosis.除特发性肺纤维化外的间质性肺炎急性加重
Chest. 2007 Jul;132(1):214-20. doi: 10.1378/chest.07-0323. Epub 2007 Mar 30.
4
[Diagnosis and differential diagnosis of airway-centered interstitial fibrosis].[以气道为中心的间质性肺纤维化的诊断与鉴别诊断]
Zhongguo Yi Xue Ke Xue Yuan Xue Bao. 2005 Feb;27(1):99-102.
5
Role of surgical lung biopsy in separating chronic hypersensitivity pneumonia from usual interstitial pneumonia/idiopathic pulmonary fibrosis: analysis of 31 biopsies from 15 patients.外科肺活检在鉴别慢性过敏性肺炎与普通型间质性肺炎/特发性肺纤维化中的作用:对15例患者的31份活检标本的分析
Chest. 2008 Jul;134(1):126-32. doi: 10.1378/chest.08-0033. Epub 2008 Mar 13.
6
Idiopathic pulmonary fibrosis: relationship between histopathologic features and mortality.特发性肺纤维化:组织病理学特征与死亡率之间的关系
Am J Respir Crit Care Med. 2001 Sep 15;164(6):1025-32. doi: 10.1164/ajrccm.164.6.2001056.
7
Prognostic significance of fibroblastic foci in usual interstitial pneumonia and non-specific interstitial pneumonia.纤维母细胞灶在普通型间质性肺炎和非特异性间质性肺炎中的预后意义。
Respirology. 2013 Feb;18(2):278-83. doi: 10.1111/j.1440-1843.2012.02272.x.
8
[Idiopathic pulmonary fibrosis; description of a Dutch cohort].[特发性肺纤维化;荷兰一个队列的描述]
Ned Tijdschr Geneeskd. 2009;153:B425.
9
A cohort study of Danish patients with interstitial lung diseases: burden, severity, treatment and survival.一项针对丹麦间质性肺疾病患者的队列研究:负担、严重程度、治疗与生存情况。
Dan Med J. 2015 Apr;62(4):B5069.
10
Prognosis of fibrotic interstitial pneumonia: idiopathic versus collagen vascular disease-related subtypes.纤维化间质性肺炎的预后:特发性与胶原血管病相关亚型
Am J Respir Crit Care Med. 2007 Apr 1;175(7):705-11. doi: 10.1164/rccm.200607-912OC. Epub 2007 Jan 11.

引用本文的文献

1
Evaluating lung cancer risk factors in adults with interstitial lung disease.评估间质性肺疾病成人患者的肺癌危险因素。
Lung Cancer. 2025 Mar;201:108416. doi: 10.1016/j.lungcan.2025.108416. Epub 2025 Jan 31.
2
Prevalence of Gastroesophageal Reflux in Interstitial Lung Diseases Clinic.间质性肺病门诊中胃食管反流的患病率
Cureus. 2024 Dec 27;16(12):e76454. doi: 10.7759/cureus.76454. eCollection 2024 Dec.
3
Rare interstitial lung diseases: a narrative review.罕见间质性肺疾病:一篇叙述性综述。

本文引用的文献

1
An official American Thoracic Society/European Respiratory Society statement: Update of the international multidisciplinary classification of the idiopathic interstitial pneumonias.美国胸科学会/欧洲呼吸学会官方声明:特发性间质性肺炎的国际多学科分类的更新。
Am J Respir Crit Care Med. 2013 Sep 15;188(6):733-48. doi: 10.1164/rccm.201308-1483ST.
2
Respiratory bronchiolitis with fibrosis. High-resolution computed tomography findings and correlation with pathology.呼吸性细支气管炎伴间质性肺病。高分辨率 CT 表现与病理对照。
Ann Am Thorac Soc. 2013 Dec;10(6):590-601. doi: 10.1513/AnnalsATS.201304-088OC.
3
Nationwide epidemiological survey of chronic hypersensitivity pneumonitis in Japan.
J Thorac Dis. 2024 Sep 30;16(9):6320-6338. doi: 10.21037/jtd-24-450. Epub 2024 Sep 26.
4
Airway injury induces alveolar epithelial and mesenchymal responses mediated by macrophages.气道损伤会引发由巨噬细胞介导的肺泡上皮和间充质反应。
bioRxiv. 2024 May 2:2024.04.02.587596. doi: 10.1101/2024.04.02.587596.
5
Multidisciplinary Approach to the Diagnosis of Idiopathic Interstitial Pneumonias: Focus on the Pathologist's Key Role.多学科方法诊断特发性间质性肺炎:关注病理学家的关键作用。
Int J Mol Sci. 2024 Mar 23;25(7):3618. doi: 10.3390/ijms25073618.
6
A roadmap for developing and engineering pulmonary fibrosis models.肺纤维化模型开发与构建路线图。
Biophys Rev (Melville). 2023 Apr 28;4(2):021302. doi: 10.1063/5.0134177. eCollection 2023 Jun.
7
Peribronchiolar Metaplasia: A Marker of Cigarette Smoke-Induced Small Airway Injury in a Rural Cohort.细支气管周围化生:农村队列中香烟烟雾诱导的小气道损伤的标志物
Clin Pathol. 2023 Nov 9;16:2632010X231209878. doi: 10.1177/2632010X231209878. eCollection 2023 Jan-Dec.
8
Impact of concomitant gastroesophageal reflux disease symptomology on prognosis and pulmonary function of chronic hypersensitivity pneumonitis.伴发胃食管反流病症状对慢性过敏性肺炎预后及肺功能的影响。
Lung India. 2023 Sep-Oct;40(5):406-411. doi: 10.4103/lungindia.lungindia_107_23.
9
The prognostic value of gastroesophageal reflux disorder in interstitial lung disease related hospitalizations.胃食管反流病在间质性肺疾病相关住院患者中的预后价值。
Respir Res. 2023 Mar 30;24(1):97. doi: 10.1186/s12931-023-02407-4.
10
Carbohydrate antigen 15-3 as a marker of disease severity in patients with chronic hypersensitivity pneumonitis.碳水化合物抗原 15-3 作为慢性变应性肺炎患者疾病严重程度的标志物。
J Bras Pneumol. 2021 Mar 8;47(1):e20200589. doi: 10.36416/1806-3756/e20200589. eCollection 2021.
日本全国慢性过敏性肺炎流行病学调查。
Respir Investig. 2013 Sep;51(3):191-9. doi: 10.1016/j.resinv.2013.03.004. Epub 2013 Jun 6.
4
Smoking-related interstitial fibrosis (SRIF): pathologic findings and distinction from other chronic fibrosing lung diseases.与吸烟相关的间质纤维化(SRIF):病理发现与其他慢性纤维性肺病的区别。
J Clin Pathol. 2013 Oct;66(10):882-7. doi: 10.1136/jclinpath-2012-201338. Epub 2013 Apr 27.
5
Pathological differentiation of chronic hypersensitivity pneumonitis from idiopathic pulmonary fibrosis/usual interstitial pneumonia.慢性超敏性肺炎与特发性肺纤维化/普通间质性肺炎的病理学鉴别。
Histopathology. 2012 Dec;61(6):1026-35. doi: 10.1111/j.1365-2559.2012.04322.x. Epub 2012 Aug 8.
6
Chronic hypersensitivity pneumonitis: high resolution computed tomography patterns and pulmonary function indices as prognostic determinants.慢性过敏性肺炎:高分辨率计算机断层扫描模式和肺功能指标作为预后决定因素。
Eur Radiol. 2012 Aug;22(8):1672-9. doi: 10.1007/s00330-012-2427-0. Epub 2012 Apr 1.
7
[Interstitial lung disease due to domestic moulds].[家庭霉菌所致间质性肺疾病]
Rev Mal Respir. 2011 Sep;28(7):913-8. doi: 10.1016/j.rmr.2011.01.013. Epub 2011 Jun 23.
8
An official ATS/ERS/JRS/ALAT statement: idiopathic pulmonary fibrosis: evidence-based guidelines for diagnosis and management.特发性肺纤维化:诊断和管理的循证指南(美国胸科学会/欧洲呼吸学会/日本呼吸学会/拉丁美洲胸科学会联合发布)
Am J Respir Crit Care Med. 2011 Mar 15;183(6):788-824. doi: 10.1164/rccm.2009-040GL.
9
Review series: Aspects of interstitial lung disease: connective tissue disease-associated interstitial lung disease: how does it differ from IPF? How should the clinical approach differ?综述系列:间质性肺病的各个方面:结缔组织病相关间质性肺病:它与特发性肺纤维化有何不同?临床方法应如何有所不同?
Chron Respir Dis. 2011;8(1):53-82. doi: 10.1177/1479972310393758.
10
Histopathology of aspiration pneumonia not associated with food or other particulate matter: a clinicopathologic study of 10 cases diagnosed on biopsy.无食物或其他颗粒物质吸入性肺炎的组织病理学:10 例经活检诊断病例的临床病理研究。
Am J Surg Pathol. 2011 Mar;35(3):426-31. doi: 10.1097/PAS.0b013e3182092bb1.