Suppr超能文献

基质金属蛋白酶9的选择性变构抑制在溃疡性结肠炎和结直肠癌的临床前模型中有效。

Selective Allosteric Inhibition of MMP9 Is Efficacious in Preclinical Models of Ulcerative Colitis and Colorectal Cancer.

作者信息

Marshall Derek C, Lyman Susan K, McCauley Scott, Kovalenko Maria, Spangler Rhyannon, Liu Chian, Lee Michael, O'Sullivan Christopher, Barry-Hamilton Vivian, Ghermazien Haben, Mikels-Vigdal Amanda, Garcia Carlos A, Jorgensen Brett, Velayo Arleene C, Wang Ruth, Adamkewicz Joanne I, Smith Victoria

机构信息

Department of Biology, Gilead Sciences, Inc., Foster City, California, United States of America.

Department of Process Development, Gilead Sciences, Inc., Oceanside, California, United States of America.

出版信息

PLoS One. 2015 May 11;10(5):e0127063. doi: 10.1371/journal.pone.0127063. eCollection 2015.

Abstract

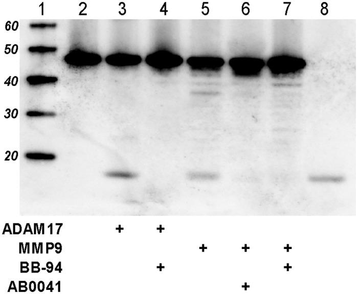
Expression of matrix metalloproteinase 9 (MMP9) is elevated in a variety of inflammatory and oncology indications, including ulcerative colitis and colorectal cancer. MMP9 is a downstream effector and an upstream mediator of pathways involved in growth and inflammation, and has long been viewed as a promising therapeutic target. However, previous efforts to target matrix metalloproteinases (MMPs), including MMP9, have utilized broad-spectrum or semi-selective inhibitors. While some of these drugs showed signs of efficacy in patients, all MMP-targeted inhibitors have been hampered by dose-limiting toxicity or insufficient clinical benefit, likely due to their lack of specificity. Here, we show that selective inhibition of MMP9 did not induce musculoskeletal syndrome (a characteristic toxicity of pan-MMP inhibitors) in a rat model, but did reduce disease severity in a dextran sodium sulfate-induced mouse model of ulcerative colitis. We also found that MMP9 inhibition decreased tumor growth and metastases incidence in a surgical orthotopic xenograft model of colorectal carcinoma, and that inhibition of either tumor- or stroma-derived MMP9 was sufficient to reduce primary tumor growth. Collectively, these data suggest that selective MMP9 inhibition is a promising therapeutic strategy for treatment of inflammatory and oncology indications in which MMP9 is upregulated and is associated with disease pathology, such as ulcerative colitis and colorectal cancer. In addition, we report the development of a potent and highly selective allosteric MMP9 inhibitor, the humanized monoclonal antibody GS-5745, which can be used to evaluate the therapeutic potential of MMP9 inhibition in patients.

摘要

基质金属蛋白酶9(MMP9)在多种炎症和肿瘤适应症中表达升高,包括溃疡性结肠炎和结直肠癌。MMP9是参与生长和炎症的信号通路的下游效应物和上游介质,长期以来一直被视为一个有前景的治疗靶点。然而,以往针对包括MMP9在内的基质金属蛋白酶(MMPs)的研究,使用的是广谱或半选择性抑制剂。虽然其中一些药物在患者中显示出疗效迹象,但所有针对MMP的抑制剂都受到剂量限制性毒性或临床益处不足的阻碍,这可能是由于它们缺乏特异性。在这里,我们表明,在大鼠模型中,选择性抑制MMP9不会诱发肌肉骨骼综合征(泛MMP抑制剂的一种特征性毒性),但在葡聚糖硫酸钠诱导的溃疡性结肠炎小鼠模型中确实降低了疾病严重程度。我们还发现,在结直肠癌手术原位异种移植模型中,抑制MMP9可降低肿瘤生长和转移发生率,并且抑制肿瘤或基质来源的MMP9足以减少原发性肿瘤生长。总体而言,这些数据表明,选择性抑制MMP9是一种有前景的治疗策略,可用于治疗MMP9上调且与疾病病理相关的炎症和肿瘤适应症,如溃疡性结肠炎和结直肠癌。此外,我们报告了一种强效且高度选择性的变构MMP9抑制剂——人源化单克隆抗体GS-5745的研发情况,该抗体可用于评估抑制MMP9在患者中的治疗潜力。

https://cdn.ncbi.nlm.nih.gov/pmc/blobs/a1d1/4427291/5b72be3324f4/pone.0127063.g001.jpg

文献AI研究员

20分钟写一篇综述,助力文献阅读效率提升50倍。

立即体验

用中文搜PubMed

大模型驱动的PubMed中文搜索引擎

马上搜索

文档翻译

学术文献翻译模型,支持多种主流文档格式。

立即体验