Suppr超能文献

使用噪声小波编码的多通道压缩感知磁共振成像

Multichannel compressive sensing MRI using noiselet encoding.

作者信息

Pawar Kamlesh, Egan Gary, Zhang Jingxin

机构信息

Department of Electrical and Computer System Engineering, Monash University, Melbourne, Australia; Indian Institute of Technology Bombay, Mumbai, India; IITB Monash Research Academy, Mumbai, India.

Monash Biomedical Imaging, Monash University, Melbourne, Australia.

出版信息

PLoS One. 2015 May 12;10(5):e0126386. doi: 10.1371/journal.pone.0126386. eCollection 2015.

Abstract

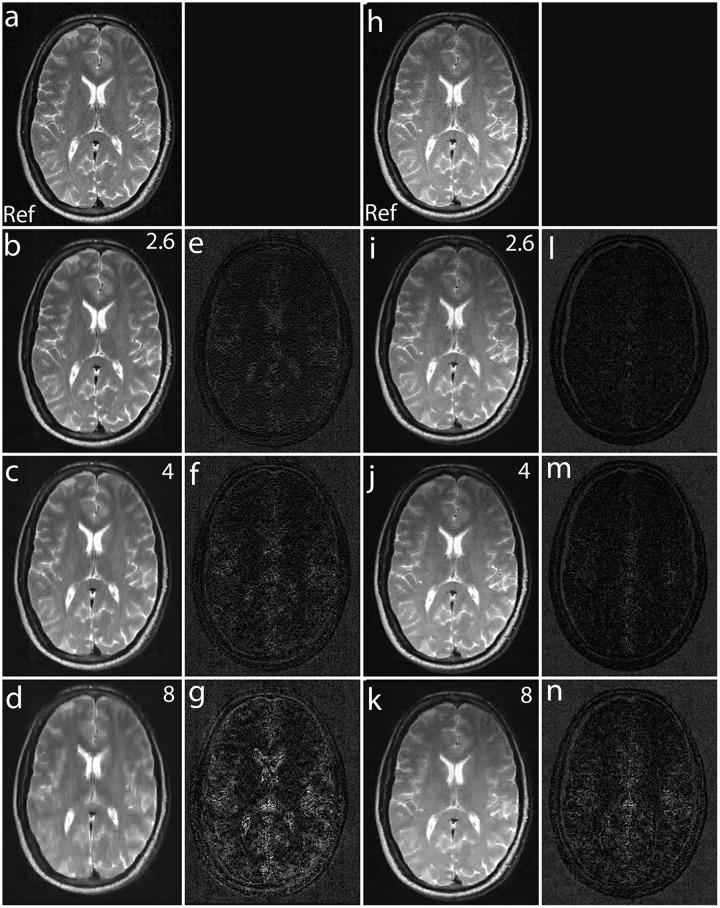
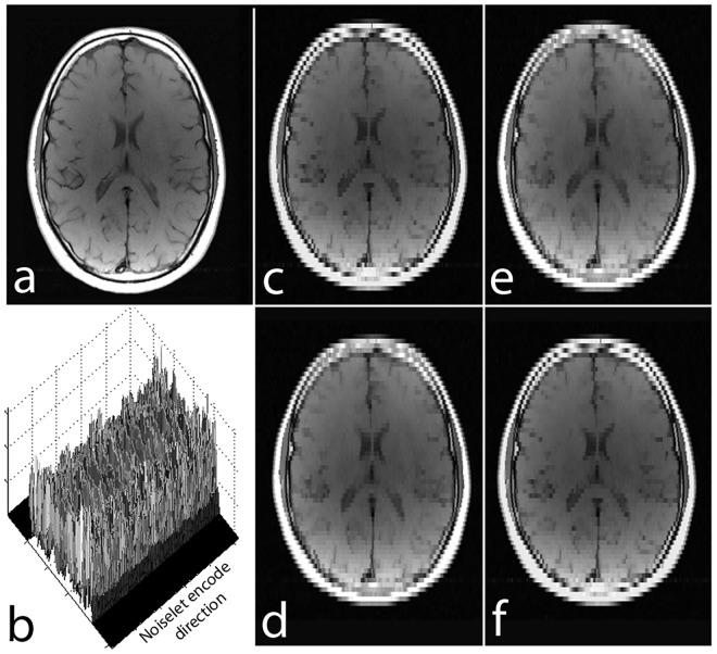
The incoherence between measurement and sparsifying transform matrices and the restricted isometry property (RIP) of measurement matrix are two of the key factors in determining the performance of compressive sensing (CS). In CS-MRI, the randomly under-sampled Fourier matrix is used as the measurement matrix and the wavelet transform is usually used as sparsifying transform matrix. However, the incoherence between the randomly under-sampled Fourier matrix and the wavelet matrix is not optimal, which can deteriorate the performance of CS-MRI. Using the mathematical result that noiselets are maximally incoherent with wavelets, this paper introduces the noiselet unitary bases as the measurement matrix to improve the incoherence and RIP in CS-MRI. Based on an empirical RIP analysis that compares the multichannel noiselet and multichannel Fourier measurement matrices in CS-MRI, we propose a multichannel compressive sensing (MCS) framework to take the advantage of multichannel data acquisition used in MRI scanners. Simulations are presented in the MCS framework to compare the performance of noiselet encoding reconstructions and Fourier encoding reconstructions at different acceleration factors. The comparisons indicate that multichannel noiselet measurement matrix has better RIP than that of its Fourier counterpart, and that noiselet encoded MCS-MRI outperforms Fourier encoded MCS-MRI in preserving image resolution and can achieve higher acceleration factors. To demonstrate the feasibility of the proposed noiselet encoding scheme, a pulse sequences with tailored spatially selective RF excitation pulses was designed and implemented on a 3T scanner to acquire the data in the noiselet domain from a phantom and a human brain. The results indicate that noislet encoding preserves image resolution better than Fouirer encoding.

摘要

测量矩阵与稀疏变换矩阵之间的非相干性以及测量矩阵的受限等距特性(RIP)是决定压缩感知(CS)性能的两个关键因素。在CS-MRI中,随机欠采样的傅里叶矩阵被用作测量矩阵,小波变换通常被用作稀疏变换矩阵。然而,随机欠采样的傅里叶矩阵与小波矩阵之间的非相干性并非最优,这会降低CS-MRI的性能。利用噪声小波与小波具有最大非相干性这一数学结果,本文引入噪声小波酉基作为测量矩阵,以改善CS-MRI中的非相干性和RIP。基于一项经验性RIP分析,该分析比较了CS-MRI中的多通道噪声小波和多通道傅里叶测量矩阵,我们提出了一种多通道压缩感知(MCS)框架,以利用MRI扫描仪中使用的多通道数据采集的优势。在MCS框架中进行了模拟,以比较不同加速因子下噪声小波编码重建和傅里叶编码重建的性能。比较结果表明,多通道噪声小波测量矩阵的RIP比其傅里叶对应矩阵更好,并且噪声小波编码的MCS-MRI在保留图像分辨率方面优于傅里叶编码的MCS-MRI,并且可以实现更高的加速因子。为了证明所提出的噪声小波编码方案的可行性,设计并在3T扫描仪上实现了一种具有定制空间选择性射频激发脉冲的脉冲序列,以从体模和人脑获取噪声小波域中的数据。结果表明,噪声小波编码比傅里叶编码更好地保留了图像分辨率。

https://cdn.ncbi.nlm.nih.gov/pmc/blobs/3d27/4429034/050b2e0dcfa8/pone.0126386.g001.jpg

文献AI研究员

20分钟写一篇综述,助力文献阅读效率提升50倍。

立即体验

用中文搜PubMed

大模型驱动的PubMed中文搜索引擎

马上搜索

文档翻译

学术文献翻译模型,支持多种主流文档格式。

立即体验