20分钟写一篇综述,助力文献阅读效率提升50倍。
大模型驱动的PubMed中文搜索引擎
学术文献翻译模型,支持多种主流文档格式。
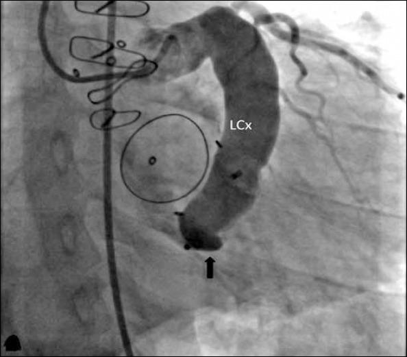
Göksülük Hüseyin, Alpman Ahmet, Atmaca Yusuf, Gerede Menekşe, Özcan Özgür Ulaş, Erol Çetin
Department of Cardiology, Faculty of Medicine, Ankara University; Ankara-Turkey.
Anatol J Cardiol. 2015 May 22;15(6):E17-8. doi: 10.5152/akd.2015.6318.