Suppr超能文献

评估胱抑素C对HIV的活性。

Evaluation of cystatin C activities against HIV.

作者信息

Vernekar Vandana, Velhal Shilpa, Bandivdekar Atmaram

机构信息

Department of Biochemistry & Virology, National Institute for Research in Reproductive Health (ICMR), Mumbai, India.

出版信息

Indian J Med Res. 2015 Apr;141(4):423-30. doi: 10.4103/0971-5916.159282.

Abstract

BACKGROUND & OBJECTIVES: Several host defense proteins known to possess antimicrobial activities are present on mucosal surfaces and are consequently found in body fluids of vertebrates. Naturally occurring protease inhibitors like cystatins, especially cystatin C (cys C), are abundantly present in human seminal plasma. Although its antiviral activity against herpes simplex virus (HSV) has been demonstrated, the role of this protein against HIV is not well studied. Therefore, the aim of the present study was to evaluate the anti-HIV activities of cys C, which is present innately in the male reproductive tract.

METHODS

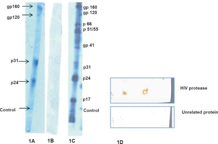
Protein-protein interaction of cys C with various HIV proteins was studied using a commercially available HIV blot and specific interaction with HIV protease was studied by dot-blot technique using commercially available cys C. To purify biologically active cys C from human seminal plasma to be used for subsequent experiments, gel-permeation chromatography followed by affinity chromatography was used. The HIV infectivity inhibition activity of the purified cystatin C was tested in TZM-bl cells. To study its activity on HIV protease, time-course enzyme kinetics studies were performed using spectrometric assay.

RESULTS

Cystatin C reacted with some HIV proteins including HIV protease. Biologically active cys C was purified using gel permeation chromatography followed by affinity chromatography. When tested in TZM-bl cells, purified cystatin C demonstrated HIV-infectivity inhibitory activity (IC 50: 0.28 μM). Enzyme kinetic studies demonstrated that it abrogated the action of HIV protease on its substrate.

INTERPRETATION & CONCLUSIONS: The present data demonstrate that cystatin C possesses anti-HIV activities. Molecular models need to be designed with this protein which would assist towards prevention/ therapeutics against HIV.

摘要

背景与目的

已知几种具有抗菌活性的宿主防御蛋白存在于黏膜表面,因此在脊椎动物的体液中也能找到。天然存在的蛋白酶抑制剂如半胱氨酸蛋白酶抑制剂,尤其是胱抑素C(cys C),大量存在于人类精浆中。虽然已经证明其对单纯疱疹病毒(HSV)具有抗病毒活性,但该蛋白对HIV的作用尚未得到充分研究。因此,本研究的目的是评估男性生殖道中天然存在的胱抑素C的抗HIV活性。

方法

使用市售的HIV印迹研究胱抑素C与各种HIV蛋白的蛋白质 - 蛋白质相互作用,并使用市售的胱抑素C通过斑点印迹技术研究其与HIV蛋白酶的特异性相互作用。为了从人类精浆中纯化用于后续实验的生物活性胱抑素C,采用凝胶渗透色谱法随后进行亲和色谱法。在TZM - bl细胞中测试纯化的胱抑素C的HIV感染抑制活性。为了研究其对HIV蛋白酶的活性,使用光谱测定法进行时间进程酶动力学研究。

结果

胱抑素C与包括HIV蛋白酶在内的一些HIV蛋白发生反应。通过凝胶渗透色谱法随后进行亲和色谱法纯化出生物活性胱抑素C。在TZM - bl细胞中进行测试时,纯化的胱抑素C表现出HIV感染抑制活性(IC50:0.28 μM)。酶动力学研究表明它消除了HIV蛋白酶对其底物的作用。

解读与结论

目前的数据表明胱抑素C具有抗HIV活性。需要用这种蛋白设计分子模型,这将有助于预防/治疗HIV。

https://cdn.ncbi.nlm.nih.gov/pmc/blobs/af59/4510722/778e0c28265d/IJMR-141-423-g001.jpg

文献检索

告别复杂PubMed语法,用中文像聊天一样搜索,搜遍4000万医学文献。AI智能推荐,让科研检索更轻松。

立即免费搜索

文件翻译

保留排版,准确专业,支持PDF/Word/PPT等文件格式,支持 12+语言互译。

免费翻译文档

深度研究

AI帮你快速写综述,25分钟生成高质量综述,智能提取关键信息,辅助科研写作。

立即免费体验