Suppr超能文献

使用血管闭塞线圈栓塞和纤维蛋白胶注射闭合胰十二指肠瘘:病例报告

Closure of pancreatoduodenal fistula using vascular occluding coil embolization and fibrin glue injection: a case study.

作者信息

Choi Kun-Moo, Kim Young-Don, Ahn Jae-Hong

机构信息

Department of Surgery, GangNeung Asan Hospital, University of Ulsan College of Medicine, Gangneung, Korea.

Department of Gastroenterology, GangNeung Asan Hospital, University of Ulsan College of Medicine, Gangneung, Korea.

出版信息

Korean J Hepatobiliary Pancreat Surg. 2013 May;17(2):75-8. doi: 10.14701/kjhbps.2013.17.2.75. Epub 2013 May 31.

Abstract

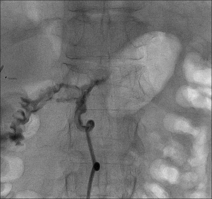
The conventional management of pancreatoenteric fistulas and pancreatic abscess with aggressive surgery or percutaneous drainage catheter placement are associated with increased surgery-related morbidity and mortality, and a longer hospitalization. We report here a case of successful closing pancreatoduodenal fistula, which remained open after the percutaneous catheter drainage of pancreatic abscess, by using vascular coil embolization and fibrin glue injection. This procedure is a less invasive, more effective and better tolerated strategy for the management of pancreatoenteric fistula in a selected group of high risk patients and needs further investigation.

摘要

胰肠瘘和胰腺脓肿的传统治疗方法是积极手术或放置经皮引流导管,这会增加手术相关的发病率和死亡率,并延长住院时间。我们在此报告一例成功闭合胰十二指肠瘘的病例,该瘘在胰腺脓肿经皮导管引流后仍未愈合,通过使用血管线圈栓塞和纤维蛋白胶注射得以闭合。对于特定的高危患者群体,该方法是一种侵入性较小、更有效且耐受性更好的胰肠瘘治疗策略,需要进一步研究。

https://cdn.ncbi.nlm.nih.gov/pmc/blobs/ef5f/4304493/f4173eff6ae2/kjhbps-17-75-g001.jpg

文献AI研究员

20分钟写一篇综述,助力文献阅读效率提升50倍。

立即体验

用中文搜PubMed

大模型驱动的PubMed中文搜索引擎

马上搜索

文档翻译

学术文献翻译模型,支持多种主流文档格式。

立即体验