Suppr超能文献

Graft-Versus-Host Disease of the Upper Gastrointestinal Tract After an Autologous Stem Cell Transplant.

作者信息

Barbash Benjamin, Kramer Scott, Tzimas Demetrios, Saitta Patrick

机构信息

Department of Internal Medicine, New York University, New York, NY.

Department of Gastroenterology, New York University, New York, NY.

出版信息

ACG Case Rep J. 2014 Oct 10;2(1):55-7. doi: 10.14309/crj.2014.84. eCollection 2014 Oct.

Abstract

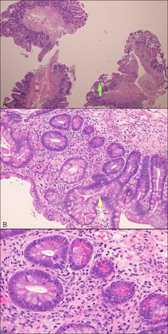
Graft-versus-host disease (GVHD) in recipients of autologous stem cell transplantation (SCT) is less common compared to recipients of allogeneic SCT, but its existence has been well documented. Similarly, the diarrheal component of the disease is highlighted when discussing its gastrointestinal (GI) manifestations, with less emphasis given to upper GI symptoms like nausea and vomiting. We present a case illustrating the upper GI tract signs and symptoms of GVHD after autologous SCT, and emphasize that prompt treatment can rapidly improve morbidity and prevent disease progression.

摘要
https://cdn.ncbi.nlm.nih.gov/pmc/blobs/463c/4435350/94186388f2f3/crj-02-055-g001.jpg

文献AI研究员

20分钟写一篇综述,助力文献阅读效率提升50倍。

立即体验

用中文搜PubMed

大模型驱动的PubMed中文搜索引擎

马上搜索

文档翻译

学术文献翻译模型,支持多种主流文档格式。

立即体验