Suppr超能文献

A diagnostic dilemma: acute abdomen presenting as segmental arterial mediolysis masked by a ruptured hepatocellular carcinoma.

作者信息

Liao Chen-Yi, Kuo Wu-Hsien, Huang En-Hua, Hsieh An-Tie, Le Ching-Chang, Tsai Chi-Chang, Hsueh Chao-Wen

机构信息

Department of Medicine, Kaohsiung Armed Forces General Hospital, Kaohsiung, Taiwan

Department of Medicine, Kaohsiung Armed Forces General Hospital, Kaohsiung, Taiwan.

出版信息

Gastroenterol Rep (Oxf). 2017 Aug;5(3):244-246. doi: 10.1093/gastro/gov030. Epub 2015 Jul 10.

Abstract

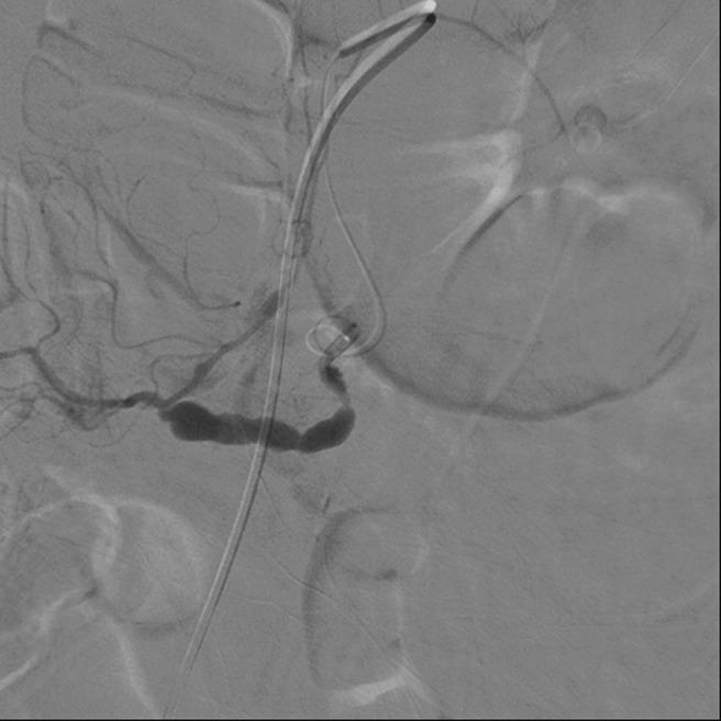
A 65-year-old male was brought to our hospital with right upper abdominal fullness sensation and recent body weight loss of about 3 kg. The patient had developed episodes of melena following progressive abdominal muscular guarding and drop of haemoglobin level to 6.3 g/dL. An abdominal computed tomography scan disclosed a ruptured hepatocellular cell carcinoma. A segmental arterial mediolysis was found on the superior mesenteric artery in the process of repairing the ruptured right hepatic artery with the assistance of angiography. Transarterial embolization was carried out and permanent haemostasis was achieved.

摘要
https://cdn.ncbi.nlm.nih.gov/pmc/blobs/b14f/5554390/00b6cceddde7/gov030f1.jpg

文献AI研究员

20分钟写一篇综述,助力文献阅读效率提升50倍。

立即体验

用中文搜PubMed

大模型驱动的PubMed中文搜索引擎

马上搜索

文档翻译

学术文献翻译模型,支持多种主流文档格式。

立即体验