Suppr超能文献

工业事故后胫前肌创伤性撕脱:一例报告

Traumatic avulsion of tibialis anterior following an industrial accident: A case report.

作者信息

Rajeev Aysha, McDonald Mhiari, Newby Mike, Patterson Paul

机构信息

Department of Trauma and Orthopaedics, Queen Elizabeth Hospital, Gateshead NE9 6SX, UK.

Department of Trauma and Orthopaedics, Queen Elizabeth Hospital, Gateshead NE9 6SX, UK.

出版信息

Int J Surg Case Rep. 2015;14:125-8. doi: 10.1016/j.ijscr.2015.06.043. Epub 2015 Jul 31.

Abstract

INTRODUCTION

Rupture of the tibialis anterior tendon is uncommon and can occur spontaneously or following trauma. If suspected, it should be diagnosed promptly, enabling early surgical management and good restoration of function.

PRESENTATION OF CASE

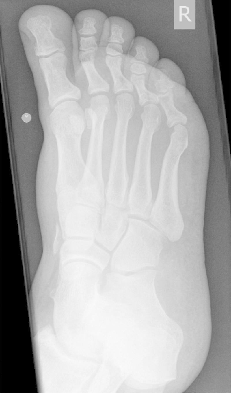
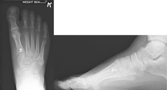
A 48 year old male sustained a crush injury to his right foot when it became stuck in a vertical industrial fan at work. He attended A & E complaining of swelling of the dorsum of foot. On examination, there was tenderness at the base of the first metatarsal. X-ray revealed an avulsion fracture of the first metatarsal, and MRI showed rupture of tibialis anterior. The patient underwent surgical repair 10 days later, with post-operative management in a non-weight bearing, then weight bearing cast. X-ray at 8 weeks showed that the fracture had healed. The patient had a course of physiotherapy and was followed up at 6 months to assess pain and function.

DISCUSSION

Tibialis anterior rupture should be considered if the history is suggestive, and can be diagnosed clinically based on the triad of a 'pseudotumour' of the ruptured tendon, loss of tendon contour, and reduced dorsiflexion of the ankle. In our case, the avulsion fracture prompted further imaging to confirm the diagnosis and plan surgery. There are various operative technique described in the literature. We used a whip stitch with anchors to reattach the tendon to the base of first metatarsal.

CONCLUSION

A prompt and early diagnosis of surgical repair of tibialis anterior tendon avulsion is important to ensure that the patients return to work as an industrial worker.

摘要

引言

胫前肌腱断裂并不常见,可自发发生或继发于创伤后。如果怀疑有断裂,应及时诊断,以便早期进行手术治疗并实现功能的良好恢复。

病例介绍

一名48岁男性在工作时右脚卡在垂直的工业风扇中,导致右脚挤压伤。他前往急诊室就诊,主诉足背肿胀。检查时,第一跖骨基部有压痛。X线显示第一跖骨撕脱骨折,磁共振成像(MRI)显示胫前肌腱断裂。患者10天后接受了手术修复,术后采用非负重,然后是负重石膏固定。8周时的X线显示骨折已愈合。患者接受了一个疗程的物理治疗,并在6个月时进行随访以评估疼痛和功能。

讨论

如果病史提示有胫前肌腱断裂,应予以考虑,并且可根据断裂肌腱的“假肿瘤”、肌腱轮廓消失和踝关节背屈减少这三联征进行临床诊断。在我们的病例中,撕脱骨折促使进一步成像以确诊并规划手术。文献中描述了各种手术技术。我们使用带锚钉的褥式缝合法将肌腱重新附着于第一跖骨基部。

结论

胫前肌腱撕脱伤的手术修复进行及时、早期诊断对于确保患者作为产业工人重返工作岗位很重要。

https://cdn.ncbi.nlm.nih.gov/pmc/blobs/54fb/4573416/e01d80fcda1f/gr1.jpg

文献AI研究员

20分钟写一篇综述,助力文献阅读效率提升50倍。

立即体验

用中文搜PubMed

大模型驱动的PubMed中文搜索引擎

马上搜索

文档翻译

学术文献翻译模型,支持多种主流文档格式。

立即体验