Suppr超能文献

1例罕见的伴有孤立性多灶性骨表现的结外Rosai-Dorfman病。

A rare case of extra nodal Rosai-Dorfman disease with isolated multifocal osseous manifestation.

作者信息

Patel Maharshi H, Jambhekar Kedar R, Pandey Tarun, Ram Roopa

机构信息

Department of Radiology, Musculoskeletal and Body MRI Division, University of Arkansas for Medical Sciences, Arkansas, USA.

出版信息

Indian J Radiol Imaging. 2015 Jul-Sep;25(3):284-7. doi: 10.4103/0971-3026.161459.

Abstract

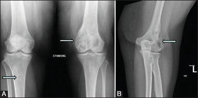
Sinus histiocytosis with massive lymphadenopathy (SHML) or Rosai-Dorfman disease is a non-neoplastic condition which typically presents as massive, bilateral cervical lymphadenopathy and can involve multiple extranodal organ systems such as skin, eyes, and upper respiratory tract in about 28% cases. Bone lesions in association with nodal disease are seen in less than 10% cases. Isolated bone involvement as the only manifestation of SHML is extremely rare, with less than 50 cases reported in the literature. We report a very uncommon case of Rosai-Dorfman disease with isolated multifocal osseous involvement as the only presenting feature, involving about 10 different sites with no lymphadenopathy or other organ system involvement.

摘要

伴巨大淋巴结病的窦性组织细胞增生症(SHML)或罗萨伊-多夫曼病是一种非肿瘤性疾病,通常表现为双侧巨大颈部淋巴结病,约28%的病例可累及多个结外器官系统,如皮肤、眼睛和上呼吸道。与淋巴结疾病相关的骨病变见于不到10%的病例。孤立性骨受累作为SHML的唯一表现极为罕见,文献报道不足50例。我们报告了一例非常罕见的罗萨伊-多夫曼病病例,其唯一的表现为孤立性多灶性骨受累,累及约10个不同部位,无淋巴结病或其他器官系统受累。

https://cdn.ncbi.nlm.nih.gov/pmc/blobs/426d/4531454/9d705c7331c9/IJRI-25-284-g001.jpg

文献AI研究员

20分钟写一篇综述,助力文献阅读效率提升50倍。

立即体验

用中文搜PubMed

大模型驱动的PubMed中文搜索引擎

马上搜索

文档翻译

学术文献翻译模型,支持多种主流文档格式。

立即体验