Suppr超能文献

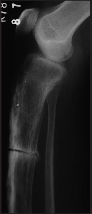
Mimics of bone tumors.

作者信息

Aswani Yashant, Anandpara Karan Manoj, Hira Priya

机构信息

Department of Radiodiagnosis, Seth Gordhandas Sunderdas Medical College and King Edward Memorial Hospital, Mumbai, Maharashtra, India E-mail:

出版信息

Indian J Radiol Imaging. 2015 Jul-Sep;25(3):322-4. doi: 10.4103/0971-3026.161471.

Abstract
摘要
https://cdn.ncbi.nlm.nih.gov/pmc/blobs/06a4/4531461/4370cf1f7ed1/IJRI-25-322-g002.jpg

文献AI研究员

20分钟写一篇综述,助力文献阅读效率提升50倍。

立即体验

用中文搜PubMed

大模型驱动的PubMed中文搜索引擎

马上搜索

文档翻译

学术文献翻译模型,支持多种主流文档格式。

立即体验