Suppr超能文献

胰腺导管内乳头状黏液性肿瘤的囊肿特征与恶性风险:影像学与病理学

Cyst Features and Risk of Malignancy in Intraductal Papillary Mucinous Neoplasms of the Pancreas: Imaging and Pathology.

作者信息

Grenacher Lars, Strauß Albert, Bergmann Frank, Birdsey Matthew, Mayerle Julia

机构信息

Diagnostic and Interventional Radiology, University of Heidelberg, Heidelberg, Germany.

Institute of Pathology, University of Heidelberg, Heidelberg, Germany.

出版信息

Viszeralmedizin. 2015 Feb;31(1):31-7. doi: 10.1159/000375254.

Abstract

BACKGROUND

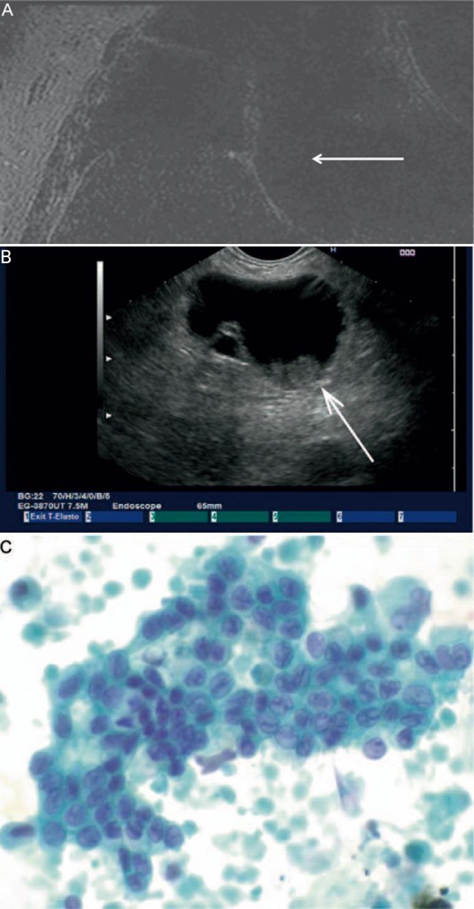
Intraductal papillary mucinous neoplasms (IPMNs) display diverse macroscopic, histological, and immunohistochemical characteristics with typical morphological appearance in magnetic resonance imaging. Depending on those, IPMNs may show progression into invasive carcinomas with variable frequency. Overall, IPMN-associated invasive carcinomas are found in about 30% of all IPMNs, revealing phenotpyes comparable with conventional ductal adenocarcinomas or mucinous (colloid) carcinomas of the pancreas. In Sendai-negative side-branch IPMNs, however, the annual risk of the development of invasive cancer is 2%; thus, risk stratification with regard to imaging and preoperative biomarkers and cytology is mandatory.

METHODS AND RESULTS

The present study addresses the radiological and interventional preoperative measures including histological features to determine the risk of malignancy and the prognosis of IPMNs.

CONCLUSION

While preoperative imaging largely relies on the detection of macroscopic features of IPMNs, which are associated with a divergent risk of malignant behavior, in resected specimens the determination of the grade of dysplasia and the detection of an invasive component are the most important features to estimate the prognosis of IPMNs.

摘要

背景

导管内乳头状黏液性肿瘤(IPMNs)在磁共振成像中具有多样的宏观、组织学和免疫组化特征以及典型的形态学表现。基于这些特征,IPMNs可能以不同频率进展为浸润性癌。总体而言,在所有IPMNs中约30%会发现与IPMN相关的浸润性癌,其表现出与胰腺传统导管腺癌或黏液性(胶样)癌相似的表型。然而,在仙台阴性分支IPMNs中,浸润性癌发生的年风险为2%;因此,必须根据影像学、术前生物标志物和细胞学进行风险分层。

方法与结果

本研究探讨了包括组织学特征在内的放射学和介入性术前措施,以确定IPMNs的恶性风险和预后。

结论

虽然术前影像学主要依赖于对IPMNs宏观特征的检测,这些特征与恶性行为的不同风险相关,但在切除标本中,发育异常的分级测定和浸润成分的检测是评估IPMNs预后的最重要特征。

https://cdn.ncbi.nlm.nih.gov/pmc/blobs/6c99/4433136/7af5ba74a52b/vim-0031-0031-g01.jpg

文献AI研究员

20分钟写一篇综述,助力文献阅读效率提升50倍。

立即体验

用中文搜PubMed

大模型驱动的PubMed中文搜索引擎

马上搜索

文档翻译

学术文献翻译模型,支持多种主流文档格式。

立即体验