Suppr超能文献

微型螺钉压低磨牙后的牙周变化

Periodontal changes following molar intrusion with miniscrews.

作者信息

Bayani Shahin, Heravi Farzin, Radvar Mehrdad, Anbiaee Najmeh, Madani Azam Sadat

机构信息

Department of Orthodontics, Kerman Oral and Dental Diseases Research Center, Kerman University of Medical Sciences, Kerman, Iran.

Department of Orthodontics, Mashad Dental School and Dental Research Center, Mashad University of Medical Sciences, Mashad, Iran.

出版信息

Dent Res J (Isfahan). 2015 Jul-Aug;12(4):379-85. doi: 10.4103/1735-3327.161462.

Abstract

BACKGROUND

With the introduction of skeletal anchorage system, recently it is possible to successfully intrude molar teeth. On the other hand, there have been concerns about periodontal changes associated with intrusion and there are few studies on this topic, especially for posterior teeth.

MATERIALS AND METHODS

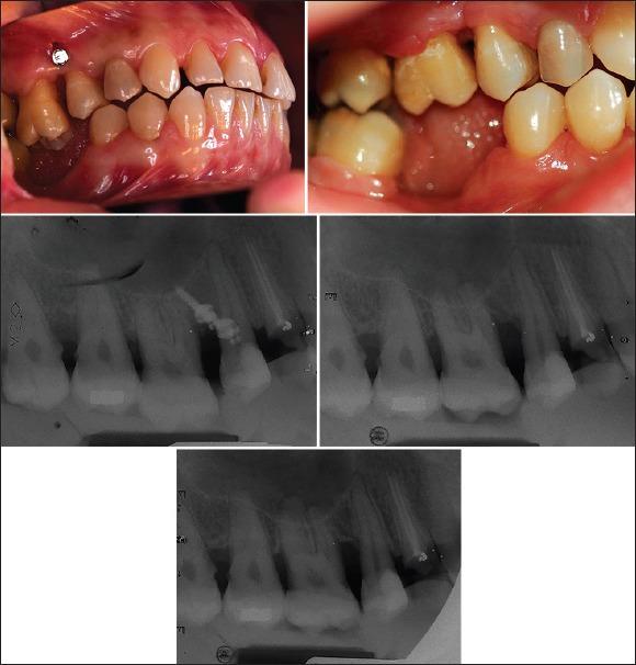
Ten female patients were enrolled in this study. Maxillary molar intrusion was achieved by inserting two miniscrews and a 17 × 25 titanium molybdenum alloy spring. Crestal height changes were evaluated at three intervals including: Baseline (T0), end of active treatment (T1) and 6 months after retention (T2). Other variables including probing depth, gingival recession, attachment level and bleeding on probing were evaluated by clinical measurements in the three above mentioned intervals. One-sample Kolmogrov-Smirnov test ascertained the normality of the data. For all patients, the changes in tooth position and crestal height were evaluated using one-sample t-test. (P < 0.05).

RESULTS

Supra-erupted molars were successfully intruded a mean of 2.1 ± 0.9 mm during active treatment (T0-T1). A mean bone resorption of 0.9 ± 0.9 mm in mesial crest and 1 ± 0.8 mm in distal crest had occurred in total treatment (T0-T2). A mean of 0.6 ± 1.4 mm bone was deposited on mesial crest during the retention period (T1-T2) following tooth relapse. On average, 0.8 ± 0.4 mm attachment gain was obtained. Gingival margin coronalized a mean of 0.8 ± 0.6 mm throughout the entire treatment. Probing depth showed no significant change during treatment.

CONCLUSION

Within the limitations of this study, these results suggest that not only periodontal status was not negatively affected by intrusion, but also there were signs of periodontal improvement including attachment gain and shortening of clinical crown height.

摘要

背景

随着骨锚固系统的引入,近来成功压低磨牙成为可能。另一方面,人们一直担心压低相关的牙周变化,且关于该主题的研究很少,尤其是针对后牙的研究。

材料与方法

本研究纳入了10名女性患者。通过植入两颗微型螺钉和一个17×25钛钼合金弹簧实现上颌磨牙压低。在三个时间点评估牙槽嵴高度变化,包括:基线(T0)、主动治疗结束时(T1)和保持6个月后(T2)。在上述三个时间点通过临床测量评估其他变量,包括探诊深度、牙龈退缩、附着水平和探诊出血。单样本柯尔莫哥洛夫-斯米尔诺夫检验确定数据的正态性。对所有患者,使用单样本t检验评估牙齿位置和牙槽嵴高度的变化。(P<0.05)

结果

在主动治疗期间(T0-T1),伸长的磨牙成功压低,平均压低2.1±0.9毫米。在整个治疗过程中(T0-T2),近中牙槽嵴平均骨吸收0.9±0.9毫米,远中牙槽嵴平均骨吸收1±0.8毫米。在牙齿复发后的保持期(T1-T2),近中牙槽嵴平均有0.6±1.4毫米的骨沉积。平均获得0.8±0.4毫米的附着增加。在整个治疗过程中,牙龈边缘平均向冠方移动0.8±0.6毫米。治疗期间探诊深度无显著变化。

结论

在本研究的局限性内,这些结果表明,压低不仅未对牙周状况产生负面影响,而且有牙周改善的迹象,包括附着增加和临床冠高度缩短。

https://cdn.ncbi.nlm.nih.gov/pmc/blobs/bbd2/4533198/79dab630715c/DRJ-12-379-g001.jpg

文献AI研究员

20分钟写一篇综述,助力文献阅读效率提升50倍。

立即体验

用中文搜PubMed

大模型驱动的PubMed中文搜索引擎

马上搜索

文档翻译

学术文献翻译模型,支持多种主流文档格式。

立即体验