Suppr超能文献

免疫组织化学在胃癌微卫星不稳定性筛查中的应用价值

Usefulness of Immunohistochemistry for Microsatellite Instability Screening in Gastric Cancer.

作者信息

Bae Yoon Sung, Kim Hoguen, Noh Sung Hoon, Kim Hyunki

机构信息

Department of Pathology, Yonsei University College of Medicine, Seoul, Korea.

Department of Surgery, Yonsei University College of Medicine, Seoul, Korea.

出版信息

Gut Liver. 2015 Sep 23;9(5):629-35. doi: 10.5009/gnl15133.

Abstract

BACKGROUND/AIMS: The usefulness of immunohistochemistry to screen for the microsatellite instability (MSI) phenotype in gastric cancer remains unclear. Moreover, the prognostic value of MSI phenotypes in gastric cancer has been debated.

METHODS

The clinicopathologic parameters and survival outcomes of 203 MSI-high (MSI-H) and 261 microsatellite-stable (MSS) advanced gastric cancers (AGCs) were compared. Next, we compared the immunohistochemistry results for hMLH1 and hMSH2 with those of a polymerase chain reaction (PCR)-based method. Kaplan-Meier curves and a Cox proportional hazard regression model were used to conduct survival analyses.

RESULTS

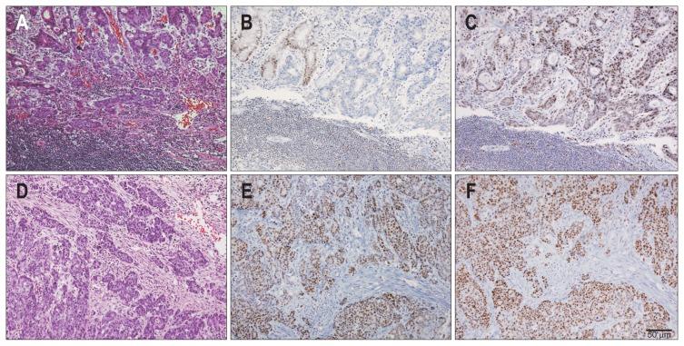
The MSI-H AGCs were correlated with older age (p<0.001), female gender (p=0.018), distal location (p<0.001), larger size (p=0.016), and intestinal type (p<0.001). Multivariate analysis revealed that the MSI-H phenotype was an independent favorable factor that was related to overall survival in patients with AGC (p<0.001). Compared with the PCR-based analysis, immunohistochemistry exhibited high sensitivity (91.1%) and specificity (98.5%) in the detection of MSI phenotypes.

CONCLUSIONS

MSI-H gastric cancers have distinct clinicopathologic features and better prognoses, which suggests the necessity of MSI analysis in gastric cancer. Immunohistochemistry can be a useful and reliable screening method in the assessment of MSI status in gastric cancer.

摘要

背景/目的:免疫组化用于筛查胃癌微卫星不稳定性(MSI)表型的效用仍不明确。此外,MSI表型在胃癌中的预后价值也存在争议。

方法

比较203例微卫星高度不稳定(MSI-H)和261例微卫星稳定(MSS)的晚期胃癌(AGC)的临床病理参数和生存结果。接下来,我们将hMLH1和hMSH2的免疫组化结果与基于聚合酶链反应(PCR)的方法的结果进行比较。采用Kaplan-Meier曲线和Cox比例风险回归模型进行生存分析。

结果

MSI-H的AGC与年龄较大(p<0.001)、女性(p=0.018)、肿瘤位于远端(p<0.001)、肿瘤较大(p=0.016)和肠型(p<0.001)相关。多变量分析显示,MSI-H表型是AGC患者总生存的一个独立有利因素(p<0.001)。与基于PCR的分析相比,免疫组化在检测MSI表型方面表现出高敏感性(91.1%)和特异性(98.5%)。

结论

MSI-H胃癌具有独特的临床病理特征和较好的预后,这表明在胃癌中进行MSI分析的必要性。免疫组化可作为评估胃癌MSI状态的一种有用且可靠的筛查方法。

https://cdn.ncbi.nlm.nih.gov/pmc/blobs/faa6/4562780/024866d24faf/gnl-09-629f1.jpg

文献AI研究员

20分钟写一篇综述,助力文献阅读效率提升50倍。

立即体验

用中文搜PubMed

大模型驱动的PubMed中文搜索引擎

马上搜索

文档翻译

学术文献翻译模型,支持多种主流文档格式。

立即体验