Shoen Carolyn M, DeStefano Michelle S, Hager Cynthia C, Tham Kyi-Toe, Braunstein Miriam, Allen Alexandria D, Gates Hiriam O, Cynamon Michael H, Kernodle Douglas S
Veterans Affairs Medical Center, Syracuse, NY 13212, USA.
Department of Medicine, Vanderbilt University Medical Center, Nashville, TN 37232, USA.
Vaccines (Basel). 2013 Jan 11;1(1):34-57. doi: 10.3390/vaccines1010034.
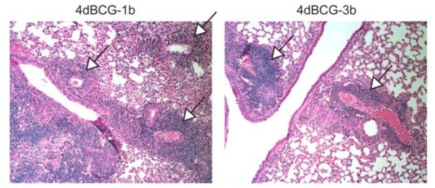
Early attempts to improve BCG have focused on increasing the expression of prominent antigens and adding recombinant toxins or cytokines to influence antigen presentation. One such modified BCG vaccine candidate has been withdrawn from human clinical trials due to adverse effects. BCG was derived from virulent Mycobacterium bovis and retains much of its capacity for suppressing host immune responses. Accordingly, we have used a different strategy for improving BCG based on reducing its immune suppressive capacity. We made four modifications to BCG Tice to produce 4dBCG and compared it to the parent vaccine in C57Bl/6 mice. The modifications included elimination of the oxidative stress sigma factor SigH, elimination of the SecA2 secretion channel, and reductions in the activity of iron co-factored superoxide dismutase and glutamine synthetase. After IV inoculation of 4dBCG, 95% of vaccine bacilli were eradicated from the spleens of mice within 60 days whereas the titer of BCG Tice was not significantly reduced. Subcutaneous vaccination with 4dBCG produced greater protection than vaccination with BCG against dissemination of an aerosolized challenge of M. tuberculosis to the spleen at 8 weeks post-challenge. At this time, 4dBCG-vaccinated mice also exhibited altered lung histopathology compared to BCG-vaccinated mice and control mice with less well-developed lymphohistiocytic nodules in the lung parenchyma. At 26 weeks post-challenge, 4dBCG-vaccinated mice but not BCG-vaccinated mice had significantly fewer challenge bacilli in the lungs than control mice. In conclusion, despite reduced persistence in mice a modified BCG vaccine with diminished antioxidants and glutamine synthetase is superior to the parent vaccine in conferring protection against M. tuberculosis. The targeting of multiple immune suppressive factors produced by BCG is a promising strategy for simultaneously improving vaccine safety and effectiveness.
早期改进卡介苗的尝试主要集中在增加主要抗原的表达以及添加重组毒素或细胞因子以影响抗原呈递。一种这样的改良卡介苗候选疫苗因不良反应已从人体临床试验中撤回。卡介苗源自有毒力的牛分枝杆菌,仍保留其许多抑制宿主免疫反应的能力。因此,我们采用了一种不同的策略来改进卡介苗,即降低其免疫抑制能力。我们对卡介苗Tice进行了四项改造以生产4dBCG,并在C57Bl/6小鼠中将其与亲本疫苗进行比较。这些改造包括消除氧化应激σ因子SigH、消除SecA2分泌通道以及降低铁辅助超氧化物歧化酶和谷氨酰胺合成酶的活性。静脉注射4dBCG后,60天内95%的疫苗杆菌从小鼠脾脏中被清除,而卡介苗Tice的滴度没有显著降低。与接种卡介苗相比,皮下接种4dBCG在攻毒后8周时对结核分枝杆菌气溶胶攻击向脾脏扩散的保护作用更强。此时,与接种卡介苗的小鼠和对照小鼠相比,接种4dBCG的小鼠肺组织病理学也发生了改变,肺实质中淋巴组织细胞结节发育较差。在攻毒后26周,接种4dBCG的小鼠肺部的攻击杆菌数量明显少于对照小鼠,而接种卡介苗的小鼠则没有。总之,尽管在小鼠体内的持久性降低,但一种抗氧化剂和谷氨酰胺合成酶减少的改良卡介苗在提供抗结核分枝杆菌保护方面优于亲本疫苗。针对卡介苗产生的多种免疫抑制因子是同时提高疫苗安全性和有效性的一种有前景的策略。