Suppr超能文献

大豆β-伴大豆球蛋白可预防年龄相关性听力损失。

Soybean β-Conglycinin Prevents Age-Related Hearing Impairment.

作者信息

Tanigawa Tohru, Shibata Rei, Kondo Kazuhisa, Katahira Nobuyuki, Kambara Takahiro, Inoue Yoko, Nonoyama Hiroshi, Horibe Yuichiro, Ueda Hiromi, Murohara Toyoaki

机构信息

Department of Otolaryngology, Aichi Medical University, Aichi, Japan.

Department of Cardiology, Nagoya University Graduate School of Medicine, Nagoya, Japan.

出版信息

PLoS One. 2015 Sep 8;10(9):e0137493. doi: 10.1371/journal.pone.0137493. eCollection 2015.

Abstract

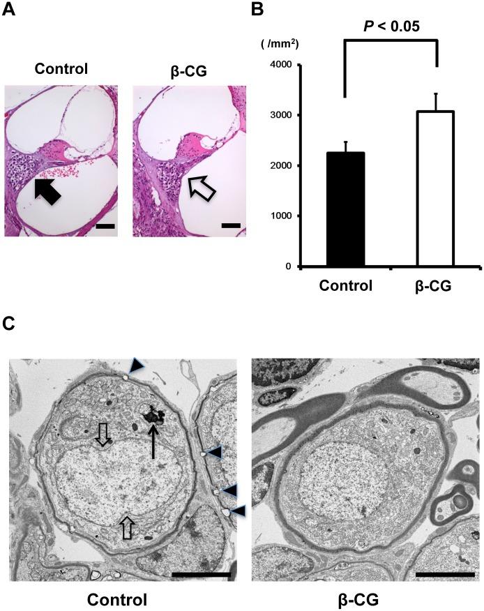
Obesity-related complications are associated with the development of age-related hearing impairment. β-Conglycinin (β-CG), one of the main storage proteins in soy, offers multiple health benefits, including anti-obesity and anti-atherosclerotic effects. Here, to elucidate the potential therapeutic application of β-CG, we investigated the effect of β-CG on age-related hearing impairment. Male wild-type mice (age 6 months) were randomly divided into β-CG-fed and control groups. Six months later, the body weight was significantly lower in β-CG-fed mice than in the controls. Consumption of β-CG rescued the hearing impairment observed in control mice. Cochlear blood flow also increased in β-CG-fed mice, as did the expression of eNOS in the stria vascularis (SV), which protects vasculature. β-CG consumption also ameliorated oxidative status as assessed by 4-HNE staining. In the SV, lipofuscin granules of marginal cells and vacuolar degeneration of microvascular pericytes were decreased in β-CG-fed mice, as shown by transmission electron microscopy. β-CG consumption prevented loss of spiral ganglion cells and reduced the frequencies of lipofuscin granules, nuclear invaginations, and myelin vacuolation. Our observations indicate that β-CG ameliorates age-related hearing impairment by preserving cochlear blood flow and suppressing oxidative stress.

摘要

肥胖相关并发症与年龄相关性听力损失的发生有关。β-伴大豆球蛋白(β-CG)是大豆中的主要储存蛋白之一,具有多种健康益处,包括抗肥胖和抗动脉粥样硬化作用。在此,为了阐明β-CG的潜在治疗应用,我们研究了β-CG对年龄相关性听力损失的影响。将雄性野生型小鼠(6月龄)随机分为β-CG喂养组和对照组。6个月后,β-CG喂养小鼠的体重显著低于对照组。食用β-CG可挽救在对照小鼠中观察到的听力损失。β-CG喂养小鼠的耳蜗血流量也增加,保护血管系统的血管纹(SV)中eNOS的表达也增加。通过4-HNE染色评估,食用β-CG还改善了氧化状态。透射电子显微镜显示,在β-CG喂养小鼠的SV中,边缘细胞的脂褐素颗粒和微血管周细胞的空泡变性减少。食用β-CG可防止螺旋神经节细胞丢失,并减少脂褐素颗粒、核内陷和髓鞘空泡化的频率。我们的观察结果表明,β-CG通过维持耳蜗血流量和抑制氧化应激来改善年龄相关性听力损失。

https://cdn.ncbi.nlm.nih.gov/pmc/blobs/0fe7/4562634/46a185ef6672/pone.0137493.g001.jpg

文献AI研究员

20分钟写一篇综述,助力文献阅读效率提升50倍。

立即体验

用中文搜PubMed

大模型驱动的PubMed中文搜索引擎

马上搜索

文档翻译

学术文献翻译模型,支持多种主流文档格式。

立即体验