Suppr超能文献

多西他赛治疗转移性前列腺癌后发生急性呼吸窘迫综合征:1例报告及文献复习

Acute Respiratory Distress Syndrome after Treatment of Metastatic Prostate Cancer with Taxotere: A Case Report and Literature Review.

作者信息

Raufi Ali, Dotson Jennifer, Khasawneh Mohamad

机构信息

Division of Hematology-Oncology, Department of Medicine, Joan C. Edwards School of Medicine, Marshall University, Edward Comprehensive Care Center, Huntington, WV 25701, USA.

出版信息

Case Rep Urol. 2015;2015:198381. doi: 10.1155/2015/198381. Epub 2015 Aug 13.

Abstract

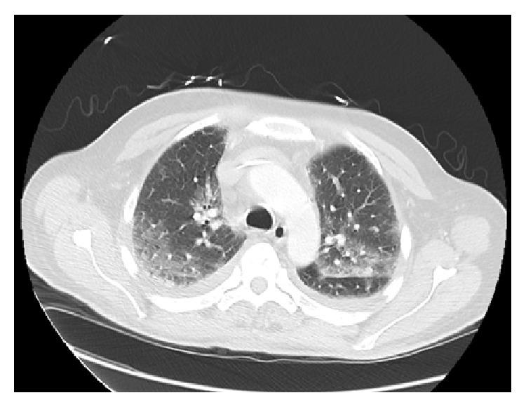
Prostate cancer is the most common cancer in men. Docetaxel is a common chemotherapeutic agent that has proven its efficacy in the treatment of patients with both castration sensitive and resistant metastatic prostate cancer. We report a case of acute respiratory distress syndrome (ARDS) in a patient with metastatic prostate cancer treated with docetaxel (Taxotere). ARDS is very rare but life threatening complication of docetaxel which requires aggressive supportive care and close monitoring. Better awareness and prompt diagnosis of this treatment related ARDS will improve the effectiveness and outcome of its management.

摘要

前列腺癌是男性中最常见的癌症。多西他赛是一种常见的化疗药物,已在去势敏感和耐药的转移性前列腺癌患者的治疗中证明了其疗效。我们报告了一例在用多西他赛(泰索帝)治疗的转移性前列腺癌患者中发生急性呼吸窘迫综合征(ARDS)的病例。ARDS是多西他赛非常罕见但危及生命的并发症,需要积极的支持治疗和密切监测。更好地认识并及时诊断这种与治疗相关的ARDS将提高其管理的有效性和结果。

https://cdn.ncbi.nlm.nih.gov/pmc/blobs/0e7b/4550759/fdaedc682531/CRIU2015-198381.001.jpg

文献AI研究员

20分钟写一篇综述,助力文献阅读效率提升50倍。

立即体验

用中文搜PubMed

大模型驱动的PubMed中文搜索引擎

马上搜索

文档翻译

学术文献翻译模型,支持多种主流文档格式。

立即体验