Suppr超能文献

极早产儿脑白质的区域发育:围产期预测因素及早期发育结局

Regional white matter development in very preterm infants: perinatal predictors and early developmental outcomes.

作者信息

Rogers Cynthia E, Smyser Tara, Smyser Christopher D, Shimony Joshua, Inder Terrie E, Neil Jeffrey J

机构信息

Department of Psychiatry, Washington University School of Medicine, St Louis, Missouri.

Department of Pediatrics, Washington University School of Medicine, St Louis, Missouri.

出版信息

Pediatr Res. 2016 Jan;79(1-1):87-95. doi: 10.1038/pr.2015.172. Epub 2015 Sep 15.

Abstract

BACKGROUND

Preterm infants are at risk for white matter (WM) injury and adverse neurodevelopmental outcomes.

METHODS

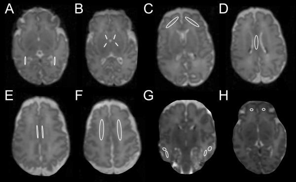
Serial diffusion tensor magnetic resonance imaging data were obtained from very preterm infants (N = 78) born <30 wk gestation imaged up to four times from 26-42 wk postmenstrual age. Slopes were calculated for fractional anisotropy (FA) and mean diffusivity (MD) within regions of interest for infants with ≥2 scans (N = 50). Sixty-five children underwent neurodevelopmental testing at 2 y of age.

RESULTS

FA slope for the posterior limb of the internal capsule was greater than other regions. The anterior limb of the internal capsule (ALIC), corpus callosum, and optic radiations demonstrated greater FA slope with increasing gestational age. Infants with patent ductus arteriosus had lower FA slope in the ALIC. MD slope was lower with prolonged ventilation or lack of antenatal steroids. At 2 y of age, lower motor scores were associated with lower FA in the left but higher FA in the right inferior temporal lobe at term-equivalent age. Better social-emotional competence was related to lower FA in the left cingulum bundle.

CONCLUSION

This study demonstrates regional variability in the susceptibility/sensitivity of WM maturation to perinatal factors and relationships between altered diffusion measures and developmental outcomes in preterm neonates.

摘要

背景

早产儿存在白质损伤及不良神经发育结局的风险。

方法

对孕周小于30周的极早产儿(N = 78例)进行系列扩散张量磁共振成像数据采集,从孕龄26 - 42周进行多达4次成像。对扫描次数≥2次的婴儿(N = 50例)计算感兴趣区域内的分数各向异性(FA)和平均扩散率(MD)的斜率。65名儿童在2岁时接受神经发育测试。

结果

内囊后肢的FA斜率大于其他区域。随着胎龄增加,内囊前肢(ALIC)、胼胝体和视辐射的FA斜率增大。动脉导管未闭的婴儿ALIC的FA斜率较低。通气时间延长或缺乏产前类固醇时MD斜率较低。在2岁时,较低的运动评分与足月等效年龄时左侧较低的FA但右侧颞下回较高的FA相关。较好的社会情感能力与左侧扣带束较低的FA有关。

结论

本研究证明了白质成熟对围产期因素的易感性/敏感性存在区域差异,以及早产儿扩散测量改变与发育结局之间的关系。

https://cdn.ncbi.nlm.nih.gov/pmc/blobs/0b47/4724306/481faeff5371/nihms-706822-f0001.jpg

文献AI研究员

20分钟写一篇综述,助力文献阅读效率提升50倍。

立即体验

用中文搜PubMed

大模型驱动的PubMed中文搜索引擎

马上搜索

文档翻译

学术文献翻译模型,支持多种主流文档格式。

立即体验