Karaca Nilay, Akpak Yasam Kemal, Tatar Zeynep, Batmaz Gonca, Erken Aslihan
Bezmi Alem Vakif University, Medical Faculty, Department of Obstetrics and Gynecology, Istanbul, Turkey.
Glob J Health Sci. 2015 Jun 1;8(2):20-6. doi: 10.5539/gjhs.v8n2p20.
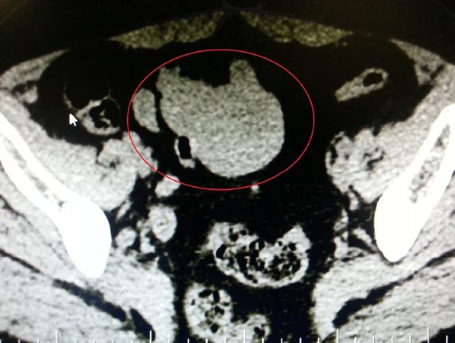
Gastrointestinal stromal tumors (GISTs) are rare tumor of the gastrointestinal tract. GISTs occur in the entire gastrointestinal tract and may also arise from the retroperitoneum, omentum and mesenteries. They are originated from gastrointestinal pacemaker cells (Cajal's interstitial cells) and range from benign tumors to sarcomas at all sites of occurrence. Diagnosis of GIST could be deceptive because of their similarity in appearance to gynecological neoplasms. We would like to present a case of a woman with GIST in the small intestine giving a imprint of an adnexal mass was diagnosed correctly during surgery. The diagnosis and treatment of GIST has been reformed over the past years. It is crucial to separate GISTs from possible misdiagnosis because their prognosis and treatment could be unlike clearly. The purpose of this case is to evaluate this rarely seen clinical entity, and thus, make some contribution to the literature.
胃肠道间质瘤(GISTs)是胃肠道的罕见肿瘤。GISTs可发生于整个胃肠道,也可能起源于腹膜后、网膜和肠系膜。它们起源于胃肠道起搏细胞(卡哈尔间质细胞),在所有发生部位的肿瘤性质从良性到肉瘤不等。由于GISTs外观与妇科肿瘤相似,其诊断可能具有欺骗性。我们在此呈现一例小肠GISTs患者的病例,该患者在手术中被正确诊断,其表现曾被误诊为附件肿物。在过去几年中,GISTs的诊断和治疗方法已经有所革新。将GISTs与可能的误诊区分开来至关重要,因为它们的预后和治疗方法可能有明显不同。本病例的目的是评估这种罕见的临床实体,从而为相关文献做出一些贡献。