Suppr超能文献

C3H亚系中nob5突变的调查。

Survey of the nob5 mutation in C3H substrains.

作者信息

Chang Bo

机构信息

The Jackson Laboratory, Bar Harbor, ME.

出版信息

Mol Vis. 2015 Sep 19;21:1101-5. eCollection 2015.

Abstract

PURPOSE

A no b-wave (nob) electroretinography (ERG) phenotype arose spontaneously in a colony of C3H mice and was named nob5. A mutation was identified in the Gpr179 gene in homozygous nob5 mice. There is a concern that this mutation is also present in additional C3H sublines and may compromise retinal research performed using these lines. In this report, therefore, we provide a phenotype and genotype survey of nob5 in six C3H substrains present at the Jackson Laboratory.

METHODS

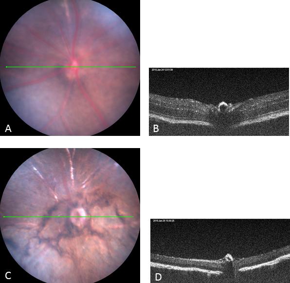
Fundus changes were evaluated in the six C3H substrains with image-guided optical coherence tomography (OCT), and retinal function was assessed with ERG. The substrains were genotyped with PCR using appropriate primers for the nob5 mutation. Additionally, the genomic sequences of C3H/HeJ, available from the Jackson Laboratory, and C3H/HeH, available from the Wellcome Trust Sanger Institute, were examined for the Gpr179(nob5) mutation.

RESULTS

Two C3H congenic strains, C3Sn.BLiA-Pde6b(+) /DnJ and C3A.BLiA-Pde6b(+) /J, wild-type for Pde6b, used as the sighted control strains and had normal fundi, OCT, and ERG responses. Four C3H strains C3H/HeJ, C3HeB/FeJ, C3H/HeOuJ, and C3H/HeSnJ bearing the Pde6b(rd1) allele exhibited a grainy fundus appearance, retinal degeneration on OCT, and no rod and cone ERG responses. The nob5 mutation was not observed in the six C3H strains assessed with PCR genotyping. Further, the genomic sequences of C3H/HeJ and C3H/HeH did not contain the nob5 mutation.

CONCLUSIONS

The Gpr179(nob5) allele is not present in C3H substrains at the Jackson Laboratory. Therefore, the usefulness of these C3H strains as commonly used models to study the effects of photoreceptor degeneration is not compromised.

摘要

目的

在C3H小鼠群体中自发出现了一种无b波(nob)视网膜电图(ERG)表型,并被命名为nob5。在纯合的nob5小鼠中,Gpr179基因被鉴定出存在突变。人们担心这种突变也存在于其他C3H亚系中,可能会影响使用这些品系进行的视网膜研究。因此,在本报告中,我们对杰克逊实验室现存的6个C3H亚系中的nob5进行了表型和基因型调查。

方法

使用图像引导光学相干断层扫描(OCT)评估6个C3H亚系的眼底变化,并用ERG评估视网膜功能。使用针对nob5突变的合适引物通过PCR对亚系进行基因分型。此外,检查了杰克逊实验室提供的C3H/HeJ和惠康信托桑格研究所提供的C3H/HeH的基因组序列中是否存在Gpr179(nob5)突变。

结果

两个C3H同源近交系C3Sn.BLiA-Pde6b(+) /DnJ和C3A.BLiA-Pde6b(+) /J,Pde6b为野生型,用作视力正常对照品系,眼底、OCT和ERG反应均正常。携带Pde6b(rd1)等位基因的4个C3H品系C3H/HeJ、C3HeB/FeJ、C3H/HeOuJ和C3H/HeSnJ表现出眼底颗粒状外观、OCT上的视网膜变性以及无杆体和锥体ERG反应。在通过PCR基因分型评估的6个C3H品系中未观察到nob5突变。此外,C3H/HeJ和C3H/HeH的基因组序列中不包含nob5突变。

结论

杰克逊实验室的C3H亚系中不存在Gpr179(nob5)等位基因。因此,这些C3H品系作为研究光感受器变性影响的常用模型的实用性未受影响。

https://cdn.ncbi.nlm.nih.gov/pmc/blobs/e421/4575902/7e04f06765e8/mv-v21-1101-f1.jpg

文献AI研究员

20分钟写一篇综述,助力文献阅读效率提升50倍。

立即体验

用中文搜PubMed

大模型驱动的PubMed中文搜索引擎

马上搜索

文档翻译

学术文献翻译模型,支持多种主流文档格式。

立即体验