Suppr超能文献

锡金邦社区获得性和医院获得性耐甲氧西林及甲氧西林敏感金黄色葡萄球菌分离株的分子特征分析

Molecular characterization of community- & hospital-acquired methicillin-resistant & methicillin-sensitive Staphylococcus aureus isolates in Sikkim.

作者信息

Bhutia Kunsang Ongmoo, Singh Tsk, Adhikari Luna, Biswas Shilpie

机构信息

Department of Microbiology, Sikkim Manipal Institute of Medical Sciences, Tadong, India.

出版信息

Indian J Med Res. 2015 Sep;142(3):330-5. doi: 10.4103/0971-5916.166600.

Abstract

BACKGROUND & OBJECTIVES: The two major genotypic markers that distinguish community acquired (CA) from hospital acquired (HA) methicillin resistant Staphylococcus aureus (MRSA) isolates are the architecture of mobile genetic element (SCCmec type) and presence of panton valentine leukocidin (PVL) toxin. This study was conducted to determine the molecular characteristics of CA- and HA- MRSA and methicillin sensitive S. aureus (MSSA) isolates in Sikkim.

METHODS

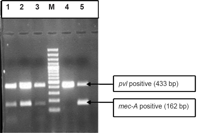
A total of 150 clinical isolates of S. aureus isolated from various clinical specimens were subjected to duplex (mec-A and pvl gene) and multiplex (SCCmec typing) PCR.

RESULTS

Of the 150 isolates, 53 (35.33%) and 66 (44%) were positive for mec-A (MRSA) and pvl genes, respectively. Thirty eight (25.33%) met the definition of CA-MRSA and 15 (10%) of HA-MRSA and the remaining 63 (42%) and 34 (22.66%) as CA- and HA-MSSA, respectively. No significant difference was seen in the distribution of PVL toxin in MRSA and MSSA isolates, but it was significantly (P<0.001) high in overall MRSA isolates than in MSSA. The majority of the MRSA isolates showed a double amplification band of SCCmec type III plus V (54.71%), and only a fewer isolates were amplified by single DNA fragments of type I (1.88%), III (3.77%), IVa (1.88%) and V (11.32%). SCCmec types I, III, IVa, were found only in HA-MRSA isolates, whereas type V in both the CA- and HA-MRSA. AST pattern showed that 18.42 per cent (7/38) and 46.66 per cent (7/15) were multidrug resistant (MDR)-CA-MRSA and MDR-HA-MRSA, respectively.

INTERPRETATION & CONCLUSIONS: The present results show that SCCmec type V MRSA has been on the rise, and genotypic markers such as pvl gene detection used for the differentiation of these clinically distinct isolates of MRSA may not be reliable.

摘要

背景与目的

区分社区获得性(CA)与医院获得性(HA)耐甲氧西林金黄色葡萄球菌(MRSA)菌株的两个主要基因型标记是移动遗传元件的结构(SCCmec类型)和杀白细胞素(PVL)毒素的存在情况。本研究旨在确定锡金邦CA-MRSA、HA-MRSA及甲氧西林敏感金黄色葡萄球菌(MSSA)菌株的分子特征。

方法

对从各种临床标本中分离出的150株金黄色葡萄球菌临床分离株进行双重PCR(mec-A和pvl基因)及多重PCR(SCCmec分型)。

结果

150株分离株中,mec-A(MRSA)基因和pvl基因阳性的分别有53株(35.33%)和66株(44%)。38株(25.33%)符合CA-MRSA的定义,15株(10%)为HA-MRSA,其余63株(42%)和34株(22.66%)分别为CA-MSSA和HA-MSSA。PVL毒素在MRSA和MSSA分离株中的分布无显著差异,但总体MRSA分离株中的PVL毒素显著高于MSSA(P<0.001)。大多数MRSA分离株显示SCCmec III型加V型的双重扩增条带(54.71%),仅少数分离株由I型(1.88%)、III型(3.77%)、IVa型(1.88%)和V型(11.32%)的单个DNA片段扩增。SCCmec I型、III型、IVa型仅在HA-MRSA分离株中发现,而V型在CA-MRSA和HA-MRSA中均有发现。药敏试验结果显示,多重耐药(MDR)-CA-MRSA和MDR-HA-MRSA分别占18.42%(7/38)和46.66%(7/15)。

解读与结论

目前结果表明,SCCmec V型MRSA呈上升趋势,用于区分这些临床特征不同的MRSA分离株的pvl基因检测等基因型标记可能不可靠。

https://cdn.ncbi.nlm.nih.gov/pmc/blobs/7863/4669869/98b972f82d68/IJMR-142-330-g001.jpg

文献AI研究员

20分钟写一篇综述,助力文献阅读效率提升50倍。

立即体验

用中文搜PubMed

大模型驱动的PubMed中文搜索引擎

马上搜索

文档翻译

学术文献翻译模型,支持多种主流文档格式。

立即体验