Suppr超能文献

内皮型一氧化氮合酶还原酶结构域产生超氧化物的特征及调控机制

The Characteristics and Regulatory Mechanisms of Superoxide Generation from eNOS Reductase Domain.

作者信息

Peng Hu, Zhuang Yugang, Chen Yuanzhuo, Rizzo Alicia N, Chen Weiguo

机构信息

Department of Emergency Medicine, Shanghai Tenth People's Hospital, Tongji University, Shanghai, China; Division of Pulmonary, Critical Care, Sleep and Allergy, Department of Medicine, University of Illinois College of Medicine, Chicago, Illinois, United States of America.

Department of Emergency Medicine, Shanghai Tenth People's Hospital, Tongji University, Shanghai, China.

出版信息

PLoS One. 2015 Oct 14;10(10):e0140365. doi: 10.1371/journal.pone.0140365. eCollection 2015.

Abstract

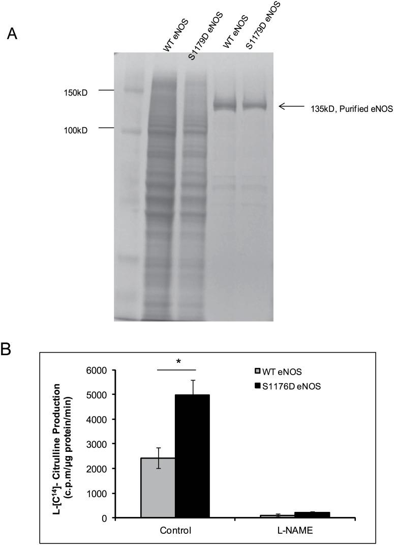
In addition to superoxide (O2.-) generation from nitric oxide synthase (NOS) oxygenase domain, a new O2.- generation site has been identified in the reductase domain of inducible NOS (iNOS) and neuronal NOS (nNOS). Cysteine S-glutathionylation in eNOS reductase domain also induces O2.- generation from eNOS reductase domain. However, the characteristics and regulatory mechanism of the O2.- generation from NOS reductase domain remain unclear. We cloned and purified the wild type bovine eNOS (WT eNOS), a mutant of Serine 1179 replaced with aspartic acid eNOS (S1179D eNOS), which mimics the negative charge caused by phosphorylationand truncated eNOS reductase domain (eNOS RD). Both WT eNOS and S1179D eNOS generated significant amount of O2.- in the absence of BH4 and L-arginine. The capacity of O2.- generation from S1179D eNOS was significantly higher than that of WT eNOS (1.74:1). O2.- generation from both WT eNOS and S1179D eNOS were not completely inhibited by 100nM tetrahydrobiopterin(BH4). This BH4 un-inhibited O2.- generation from eNOS was blocked by 10mM flavoprotein inhibitor, diphenyleneiodonium (DPI). Purified eNOS reductase domain protein confirmed that this BH4 un-inhibited O2.- generation originates at the FMN or FAD/NADPH binding site of eNOS reductase domain. DEPMPO-OOH adduct EPR signals and NADPH consumptions analyses showed that O2.- generation from eNOS reductase domain was regulated by Serine 1179 phosphorylation and DPI, but not by L-arginine, BH4 or calmodulin (CaM). In addition to the heme center of eNOS oxygenase domain, we confirmed another O2.- generation site in the eNOS reductase domain and characterized its regulatory properties.

摘要

除了一氧化氮合酶(NOS)加氧酶结构域产生超氧阴离子(O2.-)外,在诱导型NOS(iNOS)和神经元型NOS(nNOS)的还原酶结构域中还发现了一个新的O2.-产生位点。内皮型NOS(eNOS)还原酶结构域中的半胱氨酸S-谷胱甘肽化也会诱导eNOS还原酶结构域产生O2.-。然而,NOS还原酶结构域产生O2.-的特性和调节机制仍不清楚。我们克隆并纯化了野生型牛eNOS(WT eNOS)、丝氨酸1179被天冬氨酸取代的eNOS突变体(S1179D eNOS),后者模拟了磷酸化引起的负电荷以及截短的eNOS还原酶结构域(eNOS RD)。在没有四氢生物蝶呤(BH4)和L-精氨酸的情况下,WT eNOS和S1179D eNOS均产生大量O2.-。S1179D eNOS产生O2.-的能力显著高于WT eNOS(1.74:1)。100nM四氢生物蝶呤(BH4)不能完全抑制WT eNOS和S1179D eNOS产生O2.-。这种BH4不能抑制的eNOS产生O2.-的现象被10mM黄素蛋白抑制剂二苯碘鎓(DPI)阻断。纯化的eNOS还原酶结构域蛋白证实,这种BH4不能抑制的O2.-产生起源于eNOS还原酶结构域的黄素单核苷酸(FMN)或黄素腺嘌呤二核苷酸/烟酰胺腺嘌呤二核苷酸磷酸(FAD/NADPH)结合位点。二乙三胺五乙酸甲酯-过氧羟基加合物电子顺磁共振(DEPMPO-OOH adduct EPR)信号和烟酰胺腺嘌呤二核苷酸磷酸(NADPH)消耗分析表明,eNOS还原酶结构域产生O2.-受丝氨酸1179磷酸化和DPI调节,但不受L-精氨酸、BH4或钙调蛋白(CaM)调节。除了eNOS加氧酶结构域的血红素中心外,我们还证实了eNOS还原酶结构域中另一个O2.-产生位点,并对其调节特性进行了表征。

https://cdn.ncbi.nlm.nih.gov/pmc/blobs/6194/4605588/b9b0e3abe2c9/pone.0140365.g001.jpg

相似文献

1
The Characteristics and Regulatory Mechanisms of Superoxide Generation from eNOS Reductase Domain.
PLoS One. 2015 Oct 14;10(10):e0140365. doi: 10.1371/journal.pone.0140365. eCollection 2015.
2
Serine 1179 Phosphorylation of Endothelial Nitric Oxide Synthase Increases Superoxide Generation and Alters Cofactor Regulation.
PLoS One. 2015 Nov 11;10(11):e0142854. doi: 10.1371/journal.pone.0142854. eCollection 2015.
6
Superoxide generation by endothelial nitric oxide synthase: the influence of cofactors.
Proc Natl Acad Sci U S A. 1998 Aug 4;95(16):9220-5. doi: 10.1073/pnas.95.16.9220.
7
The C331A mutant of neuronal nitric-oxide synthase is defective in arginine binding.
J Biol Chem. 1998 Dec 25;273(52):34799-805. doi: 10.1074/jbc.273.52.34799.
10
Site and mechanism of uncoupling of nitric-oxide synthase: Uncoupling by monomerization and other misconceptions.
Nitric Oxide. 2019 Aug 1;89:14-21. doi: 10.1016/j.niox.2019.04.007. Epub 2019 Apr 22.

本文引用的文献

2
S-glutathionylation uncouples eNOS and regulates its cellular and vascular function.
Nature. 2010 Dec 23;468(7327):1115-8. doi: 10.1038/nature09599.
6
Phosphorylation of endothelial nitric-oxide synthase regulates superoxide generation from the enzyme.
J Biol Chem. 2008 Oct 3;283(40):27038-47. doi: 10.1074/jbc.M802269200. Epub 2008 Jul 13.
7
EPR studies on the superoxide-scavenging capacity of the nutraceutical resveratrol.
Mol Cell Biochem. 2008 Jun;313(1-2):187-94. doi: 10.1007/s11010-008-9756-y. Epub 2008 Apr 13.

文献AI研究员

20分钟写一篇综述,助力文献阅读效率提升50倍。

立即体验

用中文搜PubMed

大模型驱动的PubMed中文搜索引擎

马上搜索

文档翻译

学术文献翻译模型,支持多种主流文档格式。

立即体验