Chen Dawei, Zhang Yan, Shi Fang, Li Minghuan, Zhu Hui, Kong Li, Yu Jinming
Weifang Medical University, Weifang, People's Republic of China ; Department of Radiation Oncology, Shandong Cancer Hospital and Institute, Jinan, People's Republic of China.
Department of Radiation Oncology, Shandong Cancer Hospital and Institute, Jinan, People's Republic of China.
Onco Targets Ther. 2015 Oct 1;8:2767-70. doi: 10.2147/OTT.S90145. eCollection 2015.
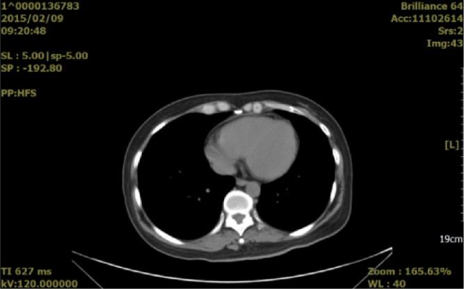
Malignant pericardial effusion (MPCE) is a common complication of advanced malignant tumors, and interferes severely with patient prognosis and quality of life. The standard treatment for this complication is intracavitary perfusion of chemotherapeutic drugs, which is limited by unsatisfactory therapeutic effects and serious adverse events. We report a patient with MPCE who was treated with bevacizumab by pericardial perfusion, resulting in a complete response. This case supports the use of intrapericardial bevacizumab as a potential treatment for MPCE.
恶性心包积液(MPCE)是晚期恶性肿瘤的常见并发症,严重影响患者预后和生活质量。该并发症的标准治疗方法是腔内灌注化疗药物,但存在治疗效果不理想和严重不良事件的限制。我们报告了1例MPCE患者,通过心包灌注贝伐单抗进行治疗,取得了完全缓解。该病例支持心包内注射贝伐单抗作为MPCE的一种潜在治疗方法。