Suppr超能文献

釉珠对牙周病的影响

Enamel Pearls Implications on Periodontal Disease.

作者信息

Zenóbio Elton Gonçalves, Vieira Thaís Ribeiral, Bustamante Roberta Paula Colen, Gomes Hayder Egg, Shibli Jamil Awad, Soares Rodrigo Villamarin

机构信息

Department of Dentistry, PUC Minas Master Program of Implantology and Periodontology, 500 Dom José Gaspar Avenida, 46 Hall, 30535-610 Belo Horizonte, MG, Brazil.

Department of Dentistry, PUC Minas Master Program of Periodontology, Belo Horizonte, MG, Brazil.

出版信息

Case Rep Dent. 2015;2015:236462. doi: 10.1155/2015/236462. Epub 2015 Sep 6.

Abstract

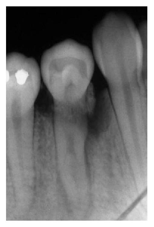
Dental anatomy is quite complex and diverse factors must be taken into account in its analysis. Teeth with anatomical variations present an increase in the rate of severity periodontal tissue destruction and therefore a higher risk of developing periodontal disease. In this context, this paper reviews the literature regarding enamel pearls and their implications in the development of severe localized periodontal disease as well as in the prognosis of periodontal therapy. Radiographic examination of a patient complaining of pain in the right side of the mandible revealed the presence of a radiopaque structure around the cervical region of lower right first premolar. Periodontal examination revealed extensive bone loss since probing depths ranged from 7.0 mm to 9.0 mm and additionally intense bleeding and suppuration. Surgical exploration detected the presence of an enamel pearl, which was removed. Assessment of the remaining supporting tissues led to the extraction of tooth 44. Local factors such as enamel pearls can lead to inadequate removal of the subgingival biofilm, thus favoring the establishment and progression of periodontal diseases.

摘要

牙齿解剖结构相当复杂,在分析时必须考虑多种不同因素。存在解剖变异的牙齿会使牙周组织破坏的严重程度增加,因此患牙周病的风险更高。在此背景下,本文回顾了有关釉珠及其在严重局限性牙周病发展以及牙周治疗预后方面影响的文献。对一名主诉下颌右侧疼痛的患者进行的影像学检查显示,右下第一前磨牙颈部区域周围存在一个不透射线的结构。牙周检查发现广泛的骨质流失,因为探诊深度在7.0毫米至9.0毫米之间,此外还有严重出血和化脓。手术探查发现存在一颗釉珠,并将其取出。对剩余支持组织的评估导致拔除了44号牙。诸如釉珠等局部因素会导致龈下生物膜清除不充分,从而有利于牙周病的形成和进展。

https://cdn.ncbi.nlm.nih.gov/pmc/blobs/1bb3/4600495/161c550ef3ce/CRID2015-236462.001.jpg

文献AI研究员

20分钟写一篇综述,助力文献阅读效率提升50倍。

立即体验

用中文搜PubMed

大模型驱动的PubMed中文搜索引擎

马上搜索

文档翻译

学术文献翻译模型,支持多种主流文档格式。

立即体验