Suppr超能文献

彼得斯异常患者后弹力层的一种新的组织病理学发现:病例报告及文献综述

A novel histopathologic finding in the Descemet's membrane of a patient with Peters Anomaly: a case-report and literature review.

作者信息

Ni Wei, Wang Wei, Hong Jing, Zhang Pei, Liu Cong

机构信息

Department of Ophthalmology, Peking University Third Hospital, Beijing, 100191, China.

Key Laboratory of Vision Loss and Restoration, Ministry of Education, Beijing, China.

出版信息

BMC Ophthalmol. 2015 Oct 23;15:139. doi: 10.1186/s12886-015-0131-y.

Abstract

BACKGROUND

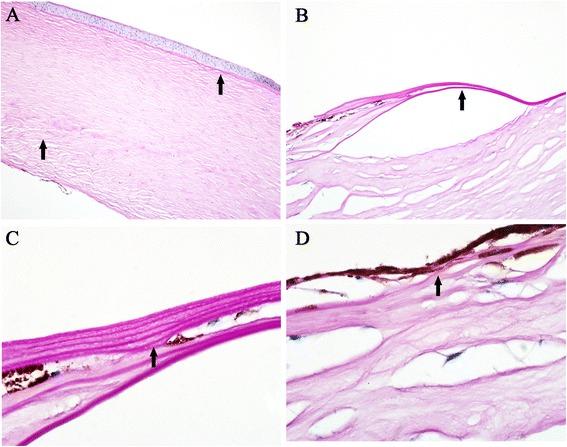
Peters anomaly is a rare developmental abnormality of the anterior segment of the eye and is one of the main causes of congenital corneal opacities. Typically, histopathology of Peters anomaly shows immature or absent Descemet's membrane and attenuated endothelial cells in the area of the corneal opacity, in addition to thinning or absence of Bowman's membrane and defects in the posterior stroma. In this report, we present a novel histopathological finding, which has not been previously reported, in the Descemet's membrane of a patient who is clinically diagnosed with Peters anomaly.

CASE PRESENTATION

A 7-years old female child with developmentally delayed was born of a normal pregnancy, labor, and delivery. Apparent bilateral corneal opacifications were present at birth. On ophthalmologic examination, the child had a visual acuity of FC/20 cm in the right eye and that of FC/10 cm in the left one. Horizontal nystagmus and congenital cataract were found in both eyes. Slit-lamp examination revealed bilateral central corneal opacities which covered the iris and pupils. High-frequency UBM and AS-OCT both showed a shallow anterior chamber with multiple areas of iridocorneal adhesions and no corneal lenticular touch in each eye. A corneal specialist performed a penetrating keratoplasty with extra-capsular cataract extraction and intraocular lens implantation. Histopathologic procedures were conducted on the host corneal button, including Hematoxylin-Eosin stain and Periodic Acid-Schiff stain. All the sections were examined by light microscopy.

CONCLUSION

The "multiple-layer" structure of the Descemet's membrane described in our case has not been reported before as in association with abnormalities of the cornea tissues in Peters anomaly. Such pathological finding need to be reported to enhance further understanding of the special structure of Descemet's membrane as an abnormality during embryogenesis and neural crest cell differentiations.

摘要

背景

彼得斯异常是一种罕见的眼前段发育异常,是先天性角膜混浊的主要原因之一。通常,彼得斯异常的组织病理学表现为角膜混浊区域的Descemet膜不成熟或缺失,内皮细胞变薄,此外还有Bowman膜变薄或缺失以及后基质缺陷。在本报告中,我们展示了一例临床诊断为彼得斯异常患者的Descemet膜中一种以前未报道过的新的组织病理学发现。

病例介绍

一名7岁发育迟缓女童,足月顺产。出生时即出现明显的双侧角膜混浊。眼科检查显示,患儿右眼视力为FC/20 cm,左眼视力为FC/10 cm。双眼均发现水平性眼球震颤和先天性白内障。裂隙灯检查显示双侧中央角膜混浊,覆盖虹膜和瞳孔。高频超声生物显微镜(UBM)和眼前节光学相干断层扫描(AS-OCT)均显示前房浅,有多个虹膜角膜粘连区域,且每只眼均无角膜晶状体接触。一名角膜专科医生进行了穿透性角膜移植术,同时行白内障囊外摘除和人工晶状体植入术。对宿主角膜植片进行了组织病理学检查,包括苏木精-伊红染色和过碘酸-希夫染色。所有切片均通过光学显微镜检查。

结论

我们病例中所描述的Descemet膜的“多层”结构,以前尚未报道与彼得斯异常中的角膜组织异常相关。需要报告这种病理发现,以进一步加深对Descemet膜在胚胎发生和神经嵴细胞分化过程中作为一种异常的特殊结构的理解。

https://cdn.ncbi.nlm.nih.gov/pmc/blobs/8147/4619091/b4dbcb2086f6/12886_2015_131_Fig1_HTML.jpg

相似文献

2
Posterior lamellar keratoplasty (DSAEK) in Peters anomaly.
Cornea. 2012 Oct;31(10):1201-5. doi: 10.1097/ICO.0b013e31825697a4.
3
Surgical approach in type II Peters anomaly - case report.
Rom J Ophthalmol. 2022 Jan-Mar;66(1):101-108. doi: 10.22336/rjo.2022.20.
4
Primary descemetorhexis without graft placement for type 1 Peters anomaly.
Can J Ophthalmol. 2019 Apr;54(2):e52-e54. doi: 10.1016/j.jcjo.2018.05.014. Epub 2018 Aug 23.
5
Optimising keratoplasty for Peters' anomaly in infants using spectral-domain optical coherence tomography.
Br J Ophthalmol. 2017 Jun;101(6):820-827. doi: 10.1136/bjophthalmol-2016-308658. Epub 2016 Sep 22.
6
Type II Peter's anomaly with histopathological proof: a case report.
BMC Ophthalmol. 2017 Jun 29;17(1):110. doi: 10.1186/s12886-017-0502-7.
7
Congenital anterior staphyloma associated with Peters' anomaly and aphakia in a Holstein calf.
J Vet Med Sci. 2017 Jul 7;79(7):1151-1154. doi: 10.1292/jvms.17-0078. Epub 2017 May 22.
8
Correlation between age and corneal edema in pediatric patients with Peters anomaly.
Int Ophthalmol. 2019 Sep;39(9):2083-2088. doi: 10.1007/s10792-018-1048-2. Epub 2018 Dec 8.
9
Anterior segment OCT-based diagnosis and management of retained Descemet's membrane following penetrating keratoplasty.
Cont Lens Anterior Eye. 2008 Jun;31(3):161-3. doi: 10.1016/j.clae.2008.01.002. Epub 2008 Mar 5.
10
Peters Anomaly: Novel Non-Invasive Alternatives to Penetrating Keratoplasty.
Semin Ophthalmol. 2023 Apr;38(3):275-282. doi: 10.1080/08820538.2023.2176238. Epub 2023 Feb 14.

引用本文的文献

1
Novel Genetic Variants and Clinical Profiles in Peters Anomaly Spectrum Disorders.
Int J Mol Sci. 2025 Jul 4;26(13):6454. doi: 10.3390/ijms26136454.
2
Axenfeld-Rieger syndrome: a novel histopathologic finding associated with corneal abnormalities.
BMC Ophthalmol. 2022 Dec 28;22(1):514. doi: 10.1186/s12886-022-02754-8.
3
Selective endothelial removal: A case series of a phase I/II surgical trial with long-term follow up.
Front Med (Lausanne). 2022 Jul 29;9:901187. doi: 10.3389/fmed.2022.901187. eCollection 2022.
4
Surgical approach in type II Peters anomaly - case report.
Rom J Ophthalmol. 2022 Jan-Mar;66(1):101-108. doi: 10.22336/rjo.2022.20.
5
6
Congenital diaphragmatic disease: An unusual presentation in adulthood. Case report.
Int J Surg Case Rep. 2018;48:34-37. doi: 10.1016/j.ijscr.2018.04.032. Epub 2018 May 7.
7
Bilateral anterior segment dysgenesis with the presumed Peters' anomaly in a cat.
J Vet Med Sci. 2018 Feb 20;80(2):297-301. doi: 10.1292/jvms.17-0532. Epub 2017 Dec 15.

本文引用的文献

3
Ocular anterior segment dysgenesis upon ablation of p120 catenin in neural crest cells.
Invest Ophthalmol Vis Sci. 2012 Aug 7;53(9):5139-53. doi: 10.1167/iovs.12-9472.
4
Peters anomaly: review of the literature.
Cornea. 2011 Aug;30(8):939-44. doi: 10.1097/ICO.0b013e31820156a9.
5
Pediatric penetrating keratoplasty: indications and outcomes.
Transplant Proc. 2011 Mar;43(2):649-51. doi: 10.1016/j.transproceed.2011.01.055.
6
Seeing clearly: the dominant and recessive nature of FOXE3 in eye developmental anomalies.
Hum Mutat. 2009 Oct;30(10):1378-86. doi: 10.1002/humu.21079.
7
Anterior segment dysgenesis: Peters anomaly and sclerocornea.
Int Ophthalmol Clin. 2008 Spring;48(2):35-42. doi: 10.1097/IIO.0b013e318169526c.
8
Molecular and developmental mechanisms of anterior segment dysgenesis.
Eye (Lond). 2007 Oct;21(10):1310-8. doi: 10.1038/sj.eye.6702852.
9
Pediatric keratoprosthesis.
Ophthalmology. 2007 May;114(5):989-94. doi: 10.1016/j.ophtha.2007.01.027.
10
Strabismus and amblyopia in bilateral Peters anomaly.
J AAPOS. 2006 Jun;10(3):193-7. doi: 10.1016/j.jaapos.2006.01.006.

文献AI研究员

20分钟写一篇综述,助力文献阅读效率提升50倍。

立即体验

用中文搜PubMed

大模型驱动的PubMed中文搜索引擎

马上搜索

文档翻译

学术文献翻译模型,支持多种主流文档格式。

立即体验